手机访问:wap.265xx.com病例分享 | 40岁高龄孕妇前置胎盘并胎盘粘连,因信仰拒绝输血
作者:张璐
所在单位:大连医科大学附属第一医院
写在前面的话
这是2011年发表在新英格兰杂志上的一篇病例报道。读过这个病例报道,我收获很大。
其实在我们医院也总上演着前置胎盘、胎盘黏连、胎盘植入的患者的惊险分娩,有保住子宫的,有子宫切除的,偶有髂内血管介入治疗后仍旧子宫切除的。相比这个新英格兰的病例不同处在于,这个病例的患者拒绝输血,尽管她了解了拒绝输血可能产生的后果,但仍旧拒绝。
原文很长的篇幅介绍了他们关于该孕妇拒绝输血的伦理和法律层面的讨论,有兴趣的战友可以下载原文看。
除此以外,这个病例做的非常详细,包括医生对孕妇整个孕期的管理、评估和病情交待,分娩前组织各个科室的演习等等,其实对于这样的危重病例来讲,在处置之前的未雨绸缪更加关键,所有的危险如果我们都能事先考虑到并备以措施,那么患者的风险可能就会很大程度的降低。
患者基本情况
●40岁,女性
●12+1w开始于该院常规产检
●G5P4,第一胎和第二胎足月顺产,第三胎因臀位剖宫产,术中因胎儿娩出困难将子宫下段横切口向上扩大为纵切口,第四胎足月剖宫产
●8年前结核菌实验(+),异烟肼治疗6个月
●有缺铁性贫血,给予补铁,但因肠胃不耐受停药
●风疹病毒抗体(+)
●否认食物、药物过敏史
●从事卫生保健工作,与丈夫及孩子一起居住
●否认吸烟、饮酒及吸毒史
●母亲高血压,父亲高血压、癫痫,70岁病故
●因有宗教信仰所以拒绝输任何血液制品
12+1w产检情况
●Bp 100/58mmHg,体重60.3kg
●HCT 29.1%(非妊娠妇女标注36%-46%)
●Hb 10.1g/dl
●肝肾功等其他检查均正常
●宫颈刮片结果正常
●血型O型,RH阳性
超声检查
13+2w超声提示
单活胎,胎心率正常,胎盘位于后壁,羊水正常,附件未见异常。
20+6w超声提示
完全性前置胎盘
△
测量部分指的是宫颈长度。
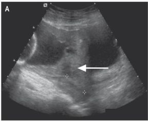
箭头指的是胎盘覆盖了子宫下段及宫颈内口。
△
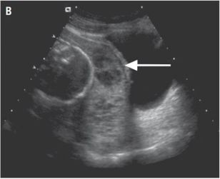
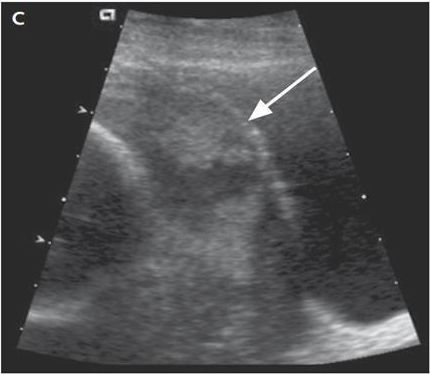
箭头指的不规则的无回声区是胎盘组织。
△
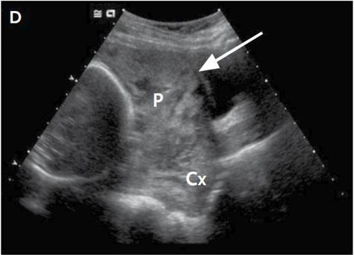
箭头指的正常子宫肌层的回声带缺失,胎盘侵入了子宫肌层。
诊断
1
患者有两次剖宫产
+
此次妊娠为完全型前置胎盘
↓
胎盘粘连可能性约40%
2
以上情况
+
超声表现
(肌层回声带缺失和子宫下段血运增加)
↓
胎盘粘连可能性约60%
处置
基于以上情况,孕期医生与患者及家属进行了充分的沟通,说明了分娩风险,包括:
1、输血
2、子宫切除
3、膀胱受损
4、其他盆腔脏器受损
5、转入ICU
6、辅助通气
7、肺栓塞
8、死亡
因患者的宗教信仰,患者拒绝输血,并提出即使生命受到威胁也不同意输入血液制品。
为了减少分娩时的失血,我们做了如下的措施:
●关注母亲的铁营养状况,预防贫血
●促红细胞生长药物的应用
●自体血液回输、稀释性自体输血等
●剖宫产同时直接切除子宫
●分娩时血管内球囊置入
超声检查
27w超声显示
△
P指不规则低回声区,为胎盘组织;Cx指宫颈;箭头指子宫肌层。
27周超声显示前置胎盘并胎盘粘连明确,故未行MRI。
诊断明确
前置胎盘并胎盘粘连
对患者拒绝输血的伦理和法律思考
Respect for autonomy 尊重患者自主权:是指有能力的病人对自己的健康作出选择的权利。
医生有责任去用我们的专业知识去跟患者解释,让患者明白他们决定的后果。
对于这个患者,我们可以很肯定的说,她完全能够了解拒绝输血对她的风险,甚至包括死亡,但因她的宗教信仰,她仍然选择拒绝输血,我们选择尊重她的决定。
前提是:患者已婚,丈夫可以负责孩子的抚养。
对分娩的计划
●纠正孕妇贫血
●选择36w择期剖宫产,剖宫产前应用倍他米松促胎肺成熟
●剖宫产同时子宫切除
●安排演习
1
纠正贫血
HCT随孕周变化
●27w开始,150mg多糖铁一日两次;
●29w开始应用阿法达贝泊汀300ug每两周一次来促进红细胞生成。
2
对分娩的计划
演习按如下进行:
●大口径静脉通路的建立
●动脉导管检测血压
●硬膜外麻醉
●置入输尿管支架
●髂内动脉置入球囊
●细胞保存期自体输血装置的准备
3
减少出血方式的选择
80%穿透性胎盘植入的患者同时有前置胎盘,估计分娩时出血量达3000ml。
①娩出胎儿前髂内动脉、子宫动脉分支结扎或夹闭——减少胎儿血供、分娩前分离暴露这些血管困难;
②导管髂内动脉置入线圈、泡沫栓塞或暂时动脉球囊阻塞——透视对胎儿的影响及股骨血管的血栓等;
③暂时性动脉球囊阻塞优点是可逆,但同时需要配合子宫切除来减少产后出血的风险。
减少出血方法的可行性
●新的手术室可以完成上述所有的操作,避免患者的转移;
●报道显示动脉球囊阻塞方法失血量减少、输血需求减少并且缩短手术时间;
●选择髂内动脉球囊阻塞同时子宫全切术以最大限度的减少出血;
●患者同意使用血液回收机来回收性自身输血。
分娩
36+1w住院
手术日早晨首台手术
术前HCT 34.3% HB 117g/l
各科室进行术前准备
1
各科室准备
麻醉科准备
建立外周静脉通路和中心静脉置管
桡动脉置管
硬膜外麻醉
泌尿外科准备
膀胱镜下双侧输尿管支架置入
血液回收装置的准备
2
手术
下腹正中纵行切口
避开胎盘,于胎盘上方取纵切口切开子宫
胎儿娩出后髂内动脉球球囊充气阻塞
不剥离胎盘,迅速缝合子宫
探查盆腔:胎盘已经超出子宫范围,向盆壁生长
妇科肿瘤医生上台协助进行子宫全切术
八字缝合出血的血管
球囊放气后继续观察有无出血并止血
靛蓝溶液注入膀胱后发现膀胱完整
关腹
术中出血约3000ml
术中应用血液回收装置进行自体血液回输1100ml
术中生命体征平稳
术后转入ICU,术后第1天复查HCT 26.4%,Hb 93g/l
子宫下段被破坏
被破坏边缘的组织镜下可见胎盘直接长入到了已破坏的子宫肌层
预后
术后第8天出院,Hb 10.3g/l,HCT 31.5%;
产后41天随访,患者恢复良好,母乳喂养。
张璐
大连医科大学附属第一医院,妇产科,主治医师,医学硕士,辽宁省免疫学会妊娠免疫分会委员。参加工作以来一直从事产科临床工作,对妊娠合并症和并发症的诊治积累了丰富的临床经验。声明:文章系本平台授权发布,未经许可禁止转载,当然欢迎您分享到朋友圈!供稿请发送邮箱:diyi_fuchan@ibabygroup.cn
作者 | 张璐 排版| JOJO
最近更新旅游资讯
- 北京IN10018片II期临床试验-IN10018 或安慰剂联合PLD 治疗铂耐
- 重庆西南医院体检中心
- 价值理论论文范文
- 内娱出现第一个“侠女颜”!刚出道4天,小白花们慌了…
- 狗的射速又快又烫
- 震惊!原来我们那些年追过的电视剧三观如此畸形……
- 社区获得性肺炎合并脓毒症患者临床特征及死亡危险因素分析
- 笛安的“北京爱情故事”,满满的欲望和贪婪
- 读《金瓶梅》第13章:李瓶儿为何能看上西门庆?
- 十六岁高二学生没事时看看什么书好?
- 父母中毒而亡,警方问13岁女儿看到凶手没,女孩笑了:我就是凶手
- 别黑陈凯歌了,他有一部神作还不够吗?
- 高三沉沦观后感话题作文800字范文
- 思辨的张力
- 狐文化特辑【十三】狐妖余论:混迹红尘的修仙之狐——「仙狐」
- 喜欢K歌,看电影吗?这些英文一定要掌握!
- 21世纪最佳20部日本动画
- 中西方伦理思想发展比较研究
- 马鞍山人民医院医院历史
- 如何以「我穿越成了一个小妾(或通房丫头)」为题写一篇小说?
- 青海诗选刊 2017年第24期(总第36期)
- 吴军民
- 实用 | 教你如何做好校园景观!
- 无忧传媒三 片
- 《西游记》新解(十套珍稀古画插图)56:神狂诛草寇,道昧放心猿——遇强盗,唐僧软