手机访问:wap.265xx.com门牙磕掉人生就毁了吗?门牙磕掉急救办法和修复方法一定要悉知
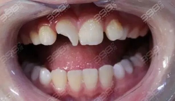
门牙担负着我们的形象的重任,一旦门牙磕掉,说话漏风,一张嘴就有种滑稽的笑点,更重要的是长期的置之不理,会让你的邻牙跟着遭殃。所以本文小编就来和分享门牙磕掉急救办法及修复方法。
①门牙磕掉快速把牙齿捡起来,注意捡起来的时候用手捏住牙冠,千万不要伤及到牙根。
②如果牙齿掉在地上脏了,需要用清水温和的冲洗干净,切记千万不要用肥皂、不要擦洗、不要晾干、更不要用纸巾或者布包裹着。
③然后把牙齿放到牙槽窝中(轻轻用手指将牙齿推进去,这种适合年轻小一点的孩子),或者是放在洞口的位置,牙齿轻轻的咬合,将牙齿缓慢推入(适合年长的孩子)。之后要一直坚持用手扶住,注意一定要温柔,不能太用力,一直坚持到见到医生。
④时刻需要保持牙齿的湿润(如果没有办法将牙齿放到牙龈位置,也可以放到牛奶或者生理盐水中浸泡)。
⑤一定要谨记,在30分钟内去看牙医这样可以增加复位的成功率。如果牙齿离位的时间过长或者保存介质不佳,所以复位的成功率将会降低。
许多人都认为这种方法只针对于小朋友可以,但实际上是针对于成年人也有成功病例,建议大家妥善保管,到医院后让医生判断修复方式。
1、牙根没有受损
如果门牙磕掉的范围比较小,并且没有伤害到牙根的话,我们可以用补牙或者烤瓷牙的方式来修复,这也是比较常见的修复方式。并且这种情况属于轻度的牙齿缺损,所以大家不用过于担心,修复后的牙齿使用感和本身的牙齿是没有太大差别的。
2、牙根受损
一般情况下医生会先让你拍牙片,判断牙根的受损程度,如果牙根受损的话,那么我们需要拔除残牙根,然后进行修复。一般这种情况我们可以选择连桥冠和种植的方式进行修复。两种修复方式的区别在于种植牙是植入人工牙根,咀嚼承受力相对较强,使用年限也久。镶牙是需要磨除两颗健康的邻牙,再套牙冠。至于选择哪一种,我们可以根据自己的实际情况进行选择!
以上就是小编分享的关于“门牙磕掉修复方式”的介绍,希望能对大家有所帮助。
关爱牙齿呵护大家口腔健康,牙疼、老人缺牙种牙、矫正整牙、龋齿蛀牙、宝宝牙齿…牙牙一直都在喔→15639899376 (微信同号)
原文地址:https://www.398.cn/news/5174.html?r=398_wx
最近更新旅游资讯
- 北京IN10018片II期临床试验-IN10018 或安慰剂联合PLD 治疗铂耐
- 重庆西南医院体检中心
- 价值理论论文范文
- 内娱出现第一个“侠女颜”!刚出道4天,小白花们慌了…
- 狗的射速又快又烫
- 震惊!原来我们那些年追过的电视剧三观如此畸形……
- 社区获得性肺炎合并脓毒症患者临床特征及死亡危险因素分析
- 笛安的“北京爱情故事”,满满的欲望和贪婪
- 读《金瓶梅》第13章:李瓶儿为何能看上西门庆?
- 十六岁高二学生没事时看看什么书好?
- 父母中毒而亡,警方问13岁女儿看到凶手没,女孩笑了:我就是凶手
- 别黑陈凯歌了,他有一部神作还不够吗?
- 高三沉沦观后感话题作文800字范文
- 思辨的张力
- 狐文化特辑【十三】狐妖余论:混迹红尘的修仙之狐——「仙狐」
- 喜欢K歌,看电影吗?这些英文一定要掌握!
- 21世纪最佳20部日本动画
- 中西方伦理思想发展比较研究
- 马鞍山人民医院医院历史
- 如何以「我穿越成了一个小妾(或通房丫头)」为题写一篇小说?
- 青海诗选刊 2017年第24期(总第36期)
- 吴军民
- 实用 | 教你如何做好校园景观!
- 无忧传媒三 片
- 《西游记》新解(十套珍稀古画插图)56:神狂诛草寇,道昧放心猿——遇强盗,唐僧软