手机访问:wap.265xx.com【论著】内镜超声引导下聚桂醇消融治疗胰腺囊性肿瘤长期疗效的前瞻性研究
摘要
目的在大样本基础上进一步探讨内镜超声引导下聚桂醇消融术(endoscopic ultrasonography-guided lauromacrogol ablation,EUS-LA)治疗胰腺囊性肿瘤(pancreatic cystic neoplasms,PCNs)的安全性和长期疗效。
方法前瞻性纳入2015年4月—2019年4月解放军总医院第一医学中心255例疑诊PCNs的患者,其中仅使用聚桂醇作为消融剂行EUS-LA治疗的患者共计57例。以消融术后影像学体积变化为疗效评估标准,并观察记录并发症发生情况。
结果纳入的57例行EUS-LA治疗的PCNs患者年龄(52.0±14.6)岁,其中女38例、男19例。33例病变位于胰腺头颈部,24例位于胰腺体尾部。共有50例患者接受影像学随访,EUS-LA治疗后囊肿的中位体积从术前的11 434.1 mm3减小至639.4 mm3 (Z=-5.556,P
结论EUS-LA治疗PCNs安全有效,且长期疗效稳定。
【关键词】胰腺肿瘤;胰腺囊性肿瘤;内镜超声引导下聚桂醇消融术
基金项目:军队科研基金(14BJZ01)
临床试验注册:中国临床试验注册中心,ChiCTR-OOC-15006118
随着影像学的发展和广泛应用,胰腺囊性肿瘤(pancreatic cystic neoplasms, PCNs)的检出率越来越高,近年来愈加引起了人们的广泛关注。PCNs多在偶然中发现,患者往往无明显临床症状,腹部影像学检出率约为20%[1]。由于不同类型PCNs恶性程度不同,准确判断PCNs的具体分类尤为重要。然而即便是目前认为最有效的PCNs诊断方法——内镜超声检查(endoscopic ultrasonography,EUS)及EUS引导下细针抽吸术(EUS-guided fine needle aspiration,EUS-FNA)诊断符合率仍相对有限。外科手术治疗PCNs创伤大,而随访监视病变进展风险大;因此,微创安全的治疗方法对PCNs的治疗尤为重要。
国际上已有EUS引导下消融术治疗PCNs的相关研究,消融剂有乙醇、紫杉醇和吉西他滨[1-5]。2017年解放军总医院第一医学中心率先在国内外发表了聚桂醇消融剂治疗PCNs的临床研究,初步证明了EUS引导下聚桂醇消融术(EUS-guided lauromacrogol ablation,EUS-LA)的有效性及安全性,但研究的样本量较小,随访时间较短[6-8]。本研究旨在大样本进一步确定EUS-LA治疗PCNs的有效性及安全性,并探讨其远期疗效。
资料与方法
一、研究设计
前瞻性纳入2015年4月—2019年4月解放军总医院第一医学中心255例疑诊PCNs的患者,其中女154例、男101例。排除外科手术、影像学随访及采用EUS引导下射频消融(EUS-guided radiofrequency ablation,EUS-RFA)联合或不联合聚桂醇消融者及EUS引导下乙醇消融者,最终纳入使用聚桂醇作为消融剂行EUS-LA的患者57例,如图1。本研究经解放军总医院医学伦理委员会审批通过,批号:S2014-108-01。
纳入标准:(1)影像学疑诊PCNs;(2)年龄大于18岁;(3)病变与胰管之间无连通;(4)签署知情同意书的患者。对于直径<10.0 mm的病变不建议进行消融治疗,但本研究中仍纳入了1例强烈要求行EUS-LA者。排除标准:(1)胰腺炎病史或疑诊假性囊肿或胰腺坏死者;(2)不能排除恶性或发展为恶性可能性大者;(3)无法安全耐受静脉麻醉者;(4)手术风险较高的患者,例如妊娠、凝血功能障碍或严重心血管疾病者。
图1研究流程图
二、内镜手术
1.手术器械:Prosound F75 EUS 主机 (Aloka公司,日本),GF-UCT260 EUS内镜 (Olympus 公司,日本),19/22G穿刺针 (COOK公司,爱尔兰),注射用六氟化硫微泡(Bracco公司,瑞士),聚桂醇注射液(10 mg/mL,陕西天宇制药有限公司)。
2.操作过程:对影像学疑诊PCNs的患者,行EUS-LA前进行EUS及EUS-FNA评估,必要时还可行EUS引导下小活检钳活检术(EUS-guided through-the-needle microforceps biopsy,EUS-TNMB)明确诊断[6]。(1)EUS评估:记录病变大小,位置,形状,有无分隔、乳头及实性物质,囊腔与胰管是否相通;(2)必要时可行EUS造影:将六氟化硫微泡造影剂注入囊肿内,进一步评估病变囊壁、分隔、乳头等有无强化;(3)选择合适穿刺针,经胃或十二指肠壁穿刺进入囊腔,行EUS-FNA;(4)尽可能完全抽吸囊液,仅在穿刺针针尖部保留部分囊液;(5)记录囊液的颜色、黏度和体积等特征后,囊液送细胞学和生化分析,若诊断把握度不高,可追加 EUS-TNMB;(6)综合病史、检验及检查结果做出最终诊断,符合消融者纳入研究,通过穿刺孔道将聚桂醇注入囊腔内,直至囊壁完全浸润,反复灌洗3次保证最终囊腔中聚桂醇纯度;(7)灌洗后,抽出约2/3体积的聚桂醇,保留约1/3的聚桂醇在囊腔内;(8)最后拔出穿刺针,观察胃壁或十二指肠壁穿刺点是否有出血等情况。
3.术后处理:术后密切监测患者情况,警惕是否出现腹痛、发热、恶心、出血、胰腺炎或胰酶水平升高等症状或体征。术后禁食3 d,静脉注射质子泵抑制剂及抗生素3 d,然后口服质子泵抑制剂3~7 d。静脉注射胰酶抑制剂至少1 d,术后次日复查胰酶水平,若升高,延长胰酶抑制剂使用时长,直至胰酶水平恢复正常。腹痛明显伴胰酶水平升高3倍以上者,应考虑急性胰腺炎可能,需行胰腺超声确诊。
三、术后随访
消融术后3个月进行胰腺CT或MRI随访,其后间隔6个月随访,此后每年随访1次。如果随访期间囊肿最大直径
四、定义
使用MITK软件(中国科学院)或按照公式4/3π(a/2)(b/2)(c/2)(a、b、c分别表示病变长、宽、高)计算病变术前原始体积及最终体积。完全缓解定义为病变最终体积25%原始体积。
患者最终诊断以EUS-TNMB为金标准,若结果阴性或未行该检查,则以细胞学检查结果为金标准;若细胞学结果为阴性,则需结合病史、影像学特征、EUS特征、囊液性状及囊液生化综合分析,作出最终诊断。
五、统计分析
采用SPSS 21.0统计软件进行数据录入及分析。计量资料若符合正态分布采用Mean±SD表示,统计学分析采用t检验;若不满足正态分布,则以中位数(范围)表示,统计学分析配对资料采用Wilcoxon符号秩检验,独立样本比较采用Mann-Whitney U检验。计数资料采用率或构成比表示,统计学分析采用χ2检验。P
结果
1.患者基本情况:57例行EUS-LA的患者中女38例、男19例,年龄(52.0±14.6)岁;33例病变位于胰腺头颈部,24例位于胰腺体尾部。病变中位直径33.0 mm(9.0~73.0 mm),中位体积10 434.1 mm3(301.4~195 394.5 mm3),聚桂醇的中位注射量为11.0 mL(0.5~40.0 mL)。13例为单囊病变,44例为多囊病变。最终诊断浆液性囊性肿瘤(serous cystic neoplasms, SCNs)30例,黏液性囊性肿瘤(mucinous cystic neoplasms, MCNs)19例,不确定具体分类8例。50例患者完成随访,中位随访时间16个月(2~39个月)。
2.EUS-LA有效性和安全性:57例患者中50例术后接受影像学随访,患者囊肿中位体积从术前的11 434.1 mm3(301.4~195 394.5 mm3)减小至639.4 mm3(0~122 710.61 mm3)(Z=-5.556,PZ=-6.161,P
图2内镜超声引导下聚桂醇消融术后病变完全缓解2A:消融前MRI显示胰尾部71.0 mm×68.0 mm囊性肿瘤;2B:消融后4个月复查MRI,病变缩小至12.0 mm×7.0 mm
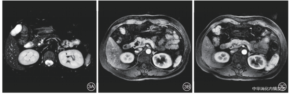
图3内镜超声引导下聚桂醇消融术后病变部分缓解3A:消融前MRI显示胰头部20.0 mm×18.0 mm囊肿;3B:术后2个月复查MRI,囊肿缩小至13.0 mm×12.0 mm,进行第2次消融;3C:第2次消融后13个月随访,MRI显示囊肿缩小到9.0 mm×7.0 mm
3.第2次消融治疗的结果:12例接受第2次消融治疗的患者中,7例完成了第2次消融术后影像学随访,其中6例囊肿体积缩小,分别为第2次消融前的8.94%、9.00%、10.27%、52.60%、64.53%和93.77%,1例囊肿体积稳定。
4.完全缓解组与非完全缓解组对比:采用单因素分析预测完全缓解相关因素,结果显示,完全缓解组与非完全缓解组患者年龄、性别构成、囊肿位置、初始直径、原始体积、形态和类型差异均无统计学意义(P均>0.05),详见表1。
5.EUS-LA长期疗效:完成随访的50例患者中34例随访12个月以上,其中获得完全缓解18例(52.9%),部分缓解 9例(26.5%),稳定7例(20.6%)。
讨论
PCNs分类较为广泛,主要分为SCNs、MCNs、导管内乳头状黏液腺瘤(intraductal papillary mucinous neoplasms, IPMNs)和实性假乳头状肿瘤(solid pseudopapillary neoplasms, SPNs)。不同类型的PCNs恶性程度不一:SCNs一般认为是良性病变,但MCNs和IPMNs被认为具有恶性潜能;SPNs被认为具有低度恶性程度,推荐外科手术切除[9]。虽然外科手术可从根本上切除病变,但手术操作难度大,创伤大,尤其是胰头部病变的切除。外科手术围手术期并发症发生率高达20%~40%,死亡率高达2%[2,10-13],患者术后生活质量差。对于SCNs、MCNs及IPMNs,影像学和(或)EUS随访似乎是一种选择;然而,长期随访不仅增加了患者的经济负担和心理压力,而且并不能阻止病变进展及恶变,存在延误PCNs最佳治疗时机的可能。EUS引导下消融术以其微创、安全、有效的特点成为PCNs治疗的新方式[1-5,14-18]。
乙醇是第1种应用于PCNs治疗的消融剂,具备价格低廉、黏度低、使用广泛、易通过针头注入的优点[4,19]。乙醇灌洗后增加紫杉醇注射可提高治疗效果[1]。既往研究表明,EUS引导下乙醇灌洗联合或不联合紫杉醇消融并发症发生率低,有效率为33.3%~85%[4-5,20]。一项纳入7篇乙醇联合或不联合紫杉醇消融治疗PCNs的Meta分析表明,完全缓解率为56.20%(95%CI:48.16%~64.08%),部分缓解率为23.72%(95%CI:17.24%~30.89%)[21]。然而,部分学者认为乙醇联合或不联合紫杉醇的有效性仍受质疑,建议寻找更加有效的药物[22]。既往部分研究纳入了分支胰管型IPMN患者[2,4,15,23],然而Park等[5]研究显示乙醇消融治疗在IPMNs有效率仅为11%。因此,我们本研究排除了所有IPMNs患者。
疼痛是乙醇消融术后常见的不良反应[2,21]。考虑到聚桂醇在食管胃底静脉曲张破裂出血血管注射治疗的安全性,及其轻微麻醉效果可能的止痛作用,我们率先将其应用在PCNs消融治疗中[6-8],目前尚无EUS-LA大样本研究。
本研究中,所有患者术后未见明显腹痛不适,虽有3例出现并发症,但经保守治疗后均好转。急性胰腺炎被认为是一种常见的消融相关并发症,主要由于消融剂从囊肿外渗到胰腺实质或胰管所致[2]。22G穿刺针较19G穿刺针更细,安全性更高,因此在小囊肿消融时建议使用22G穿刺针。然而,当囊液黏稠时,19G穿刺针更易抽吸。穿刺针的选择需综合考虑囊肿大小和囊液特性,不建议使用25G穿刺针。
本研究中位随访时间为16个月,完全缓解率为48.0%,高于既往研究随访3个月的完全缓解率(37.9%)[6]。Oh等[14]研究显示,57.1%的患者在消融后6~12个月内达到完全缓解,因此消融疗效评估至少需要12个月的随访。然而Park等[5]的一项研究表明,大多数有完全缓解或部分缓解的病变在消融术后6个月获得。本研究中随访12个月以上的患者完全缓解率为52.9%,说明聚桂醇消融长期疗效稳定。我们目前使用聚桂醇治疗有效率高于单独使用乙醇消融,与乙醇联合紫杉醇效果相似[2,4-5,16,23-25]。然而,目前消融效果的评估标准多样,主要有体积变化[6,14,23,26]、表面积变化[2,16]或直径变化[4-5],尚无统一标准,可比性差。
6例患者在随访中病变保持稳定,其中2例患者病变直径<10.0 mm,不建议再次消融;2例患者拒绝再次消融或手术切除;2例行第2次消融,其中1例囊肿体积缩小至第2次消融前的64.53%,但仍未达到部分缓解或完全缓解,另1例二次消融后失访。所有患者中仅1例在随访期间病变增大,但患者由于怀孕拒绝接受继续治疗。
第2次消融术后7例患者接受了影像学随访,其中6例体积缩小,1例保持不变。我们推测囊肿对消融剂的敏感性存在差异。一些囊肿在一次消融治疗后可能无法达到完全缓解,然而多次消融可能获得完全缓解。多次乙醇灌洗可能导致胰腺囊肿大小和表面积减小[14]。然而,重复消融次数的上限尚无定论,在何种情况下应该推荐患者进行手术切除尚无标准。
我们将完全缓解组与非完全缓解组基本资料进行对比,未发现两组之间存在差异,与DeWitt等[2]的研究结果相似。Park等[5]进行了一项大样本长随访的研究,结果显示,在年龄、性别、病变位置和形态方面,完全缓解组与未完全缓解组之间无显著差异;较小PCNs可能很容易达到完全缓解。这与其他两项研究结果相似[14,20]。Gan等[4]结果表明,有分隔囊肿更不易获得完全缓解;然而,DeWitt等[2]报道分隔与消融效果无关。
关于EUS-LA的操作技巧,首先,应最大可能地吸尽囊液,以确保囊内聚桂醇纯度,但针尖部位应留存少量囊液保证安全性;第二,包含多个子囊的病变,保证每一个子囊壁接触聚桂醇;第三,聚桂醇的注射量应以囊壁完全接触聚桂醇为界。
本研究仍然存在一些局限:首先,聚桂醇的最佳浓度、注射量和保留量尚不确定。在我们的研究中,当囊壁完全接触聚桂醇时停止注射。然而,我们无法判断注射更大量聚桂醇是否会提高疗效。体积保留量也是根据操作者的经验确定。其次,我们未行囊液DNA分析来评估消融术后DNA的变化。酒精联合紫杉醇消融囊液分析显示,15.8%的患者囊液中发现了新的突变[23]。再者,获得完全缓解的患者比获得部分缓解或稳定的患者更易失访,可能导致本研究治疗效果的低估。最后,本研究未设立对照组,无法评估聚桂醇与其他消融剂及EUS-RFA的治疗效果和安全性差异。目前我们正在进行EUS-LA和EUS-LA联合EUS-RFA的对比研究[27]。
总之,EUS-LA对PCNs治疗是有效的,长期随访效果稳定,且安全性高。
(本文视频地址:http://www.xhnj.com/video/1008660.htm)
参考文献
[1]Oh HC, Seo DW, Lee TY, et al. New treatment for cystic tumors of the pancreas: EUS-guided ethanol lavage with paclitaxel injection[J]. Gastrointest Endosc, 2008,67(4):636-642. DOI: 10.1016/j.gie.2007.09.038.
[2]DeWitt J, McGreevy K, Schmidt CM, et al. EUS-guided ethanol versus saline solution lavage for pancreatic cysts: a randomized, double-blind study[J]. Gastrointest Endosc, 2009,70(4):710-723. DOI: 10.1016/j.gie.2009.03.1173.
[3]Oh HC, Seo DW, Kim SC, et al. Septated cystic tumors of the pancreas: is it possible to treat them by endoscopic ultrasonography-guided intervention?[J]. Scand J Gastroenterol, 2009,44(2):242-247. DOI: 10.1080/00365520802495537.
[4]Gan SI, Thompson CC, Lauwers GY, et al. Ethanol lavage of pancreatic cystic lesions: initial pilot study[J]. Gastrointest Endosc, 2005,61(6):746-752. DOI: 10.1016/s0016-5107(05)00320-2.
[5]Park JK, Song BJ, Ryu JK, et al. Clinical Outcomes of Endoscopic Ultrasonography-Guided Pancreatic Cyst Ablation[J]. Pancreas, 2016,45(6):889-894. DOI: 10.1097/MPA.0000000000000567.
[6]Linghu E, Du C, Chai N, et al. A prospective study on the safety and effectiveness of using lauromacrogol for ablation of pancreatic cystic neoplasms with the aid of EUS[J]. Gastrointest Endosc, 2017,86(5):872-880. DOI: 10.1016/j.gie.2017.03.1525.
[7]杜晨, 令狐恩强, 柴宁莉,等. 超声内镜引导下聚桂醇消融术治疗胰腺囊性肿瘤安全性及有效性的前瞻性研究[J]. 中华胃肠内镜电子杂志, 2017, 4(1):1-5. DOI:10.3877/cma.j.issn.2095-7157.2017.01.001.
[8]杜晨, 郭旭, 杨晶,等. 胰腺囊性肿瘤内镜超声引导下聚桂醇消融术的前瞻性研究[J]. 中华消化内镜杂志, 2017, 34(9):653-657. DOI: 10.3760/cma.j.issn.1007-5232.2017.09.009.
[9]DeWitt J. Endoscopic ultrasound-guided pancreatic cyst ablation[J]. Gastrointest Endosc Clin N Am, 2012,22(2):291-302, ix-x. DOI: 10.1016/j.giec.2012.04.001.
[10]Goh BK, Tan YM, Cheow PC, et al. Cystic lesions of the pancreas: an appraisal of an aggressive resectional policy adopted at a single institution during 15 years[J]. Am J Surg, 2006,192(2):148-154. DOI: 10.1016/j.amjsurg.2006.02.020.
[13]杜晨, 令狐恩强, 柴宁莉, 等. 超声内镜引导下胰腺囊性肿瘤消融术研究进展[J]. 中华胃肠内镜电子杂志, 2016,3(2):74-78. DOI: 10.3877/cma.j.issn.2095-7157.2016.02.006.
[14]Oh HC, Seo DW, Song TJ, et al. Endoscopic ultrasonography-guided ethanol lavage with paclitaxel injection treats patients with pancreatic cysts[J]. Gastroenterology, 2011,140(1):172-179. DOI: 10.1053/j.gastro.2010.10.001.
[15]DeWitt J, DiMaio CJ, Brugge WR. Long-term follow-up of pancreatic cysts that resolve radiologically after EUS-guided ethanol ablation[J]. Gastrointest Endosc, 2010,72(4):862-866. DOI: 10.1016/j.gie.2010.02.039.
[16]DiMaio CJ, DeWitt JM, Brugge WR. Ablation of pancreatic cystic lesions: the use of multiple endoscopic ultrasound-guided ethanol lavage sessions[J]. Pancreas, 2011,40(5):664-668. DOI: 10.1097/MPA.0b013e3182128d06.
[17]Pai M, Habib N, Senturk H, et al. Endoscopic ultrasound guided radiofrequency ablation, for pancreatic cystic neoplasms and neuroendocrine tumors[J]. World J Gastrointest Surg, 2015,7(4):52-59. DOI: 10.4240/wjgs.v7.i4.52.
[18]Moris M, Atar M, Kadayifci A, et al. Thermal ablation of pancreatic cyst with a prototype endoscopic ultrasound capable radiofrequency needle device: A pilot feasibility study[J]. Endosc Ultrasound, 2017,6(2):123-130. DOI: 10.4103/eus.eus_6_17.
[19]Oh HC, Brugge WR. EUS-guided pancreatic cyst ablation: a critical review (with video)[J]. Gastrointest Endosc, 2013,77(4):526-533. DOI: 10.1016/j.gie.2012.10.033.
[20]Caillol F, Poincloux L, Bories E, et al. Ethanol lavage of 14 mucinous cysts of the pancreas: a retrospective study in two tertiary centers[J]. Endosc Ultrasound, 2012,1(1):48-52. DOI: 10.7178/eus.01.008.
[22]Vazquez-Sequeiros E, Maluf-Filho F. Endosonography-guided ablation of pancreatic cystic tumors: Is it justified?[J]. Gastrointest Endosc, 2016,83(5):921-923. DOI: 10.1016/j.gie.2015.10.032.
[24]Gómez V, Takahashi N, Levy MJ, et al. EUS-guided ethanol lavage does not reliably ablate pancreatic cystic neoplasms (with video)[J]. Gastrointest Endosc, 2016,83(5):914-920. DOI: 10.1016/j.gie.2015.08.069.
[25]Kim KH, McGreevy K, La Fortune K, et al. Sonographic and cyst fluid cytologic changes after EUS-guided pancreatic cyst ablation[J]. Gastrointest Endosc, 2017,85(6):1233-1242. DOI: 10.1016/j.gie.2016.09.011.
[26]Moyer MT, Sharzehi S, Mathew A, et al. The Safety and Efficacy of an Alcohol-Free Pancreatic Cyst Ablation Protocol[J]. Gastroenterology, 2017,153(5):1295-1303. DOI: 10.1053/j.gastro. 2017.08.009.
[27]Feng X, Linghu E, Chai N, et al. New treatment of the pancreatic cystic neoplasm: Endoscopic ultrasonography-guided radiofrequency ablation combined with lauromacrogol ablation[J]. Turk J Gastroenterol, 2018,29(1):101-104. DOI: 10.5152/tjg.2017.17340.
(收稿日期:2020-02-18)
(本文编辑:朱悦)
中华消化内镜杂志
上一篇:原创《好声音》9强诞生,除了赵紫骅程欣,这三位学员的淘汰也很可惜
下一篇:最新监测:山东报告2例确诊!可通过密切接触传播
最近更新人物资讯
- 青年节专题时文精选,1个专题+5篇模板+12篇范文+1个作文合集(角度+金句+精
- 最新质量管理体系基本要求(五篇)
- 赤坂丽颜值巅峰之作,禁忌之爱代表作品-高校教师成熟
- [王仲黎]人茶共生:布朗族茶文化话语中的生态伦理
- 北京文艺日历 06.12~06.18
- 有什么好看的少女漫画推荐?
- 为了孩子陪睡校长,请别拿这电影洗白
- 当贝市场tv版apk下载
- 茉
- BBC评出有史以来美国最伟大的100部电影
- 泰山岱庙古建筑之文化特色初探
- 阴阳五行学说范文
- 2022伦敦大学学院Bartlett建筑学院Part2毕业展
- 观看平凡英雄观后感1000字
- 纽约大都会博物馆(二)古希腊艺术与神话
- 收藏 | 带你穿越500年,看一看这50位著名艺术家
- ab血型女人的性格
- 春节活动策划方案
- 为什么孕妇生产有危险时,部分丈夫和婆婆会选择保小孩?
- 《员工自发管理的儒家修为智慧》
- 菲律宾尺度片的全明星阵容,菲律宾女人质量这么高的吗?
- 文学课 | 韩少功:文学与记忆
- 《人性的污秽》中的伦理道德世界
- 宋惠莲背夫和西门庆幽会后自缢,看透情色表象下的死亡真相
- 秋波多少画(五代词全集)