
两岁幼儿左心室竟与成年人一般大,安贞小儿心脏中心专家手术为患儿治好“心”病
4月4日,经过2个多小时的手术,两岁4个月的先心病患儿楚楚安全返回监护室,开始了自己的“心”生之旅。
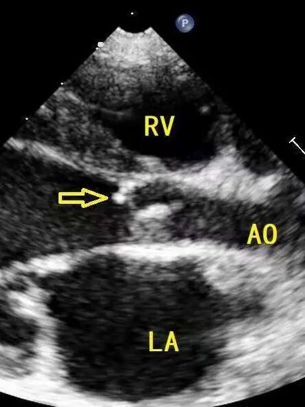
楚楚一岁多的时候,因为呼吸道感染,就诊于当地医院,超声提示动脉导管粗大、主动脉瓣下隔膜、二尖瓣的关闭不全。
粗大的动脉导管,加上主动脉瓣下的隔膜,在两种畸形的共同作用下,同时增加了左心室的后负荷和前负荷,导致楚楚的左心室和正常成年人的左心室一样大。尽管心脏病情严重,但楚楚的总体发育并未受到影响,直到最近,孩子开始持续的胸闷,心功能也越来越差,于是一家人辗转来到北京安贞医院寻找解决办法。
术前超声
“二尖瓣大量反流,最后会导致左心衰,影响孩子生长发育,甚至可能出现生命危险了,所以这个手术还是要早做。”主刀手术医生、小儿心脏中心外科闫军说。
术中,闫军发现楚楚的瓣下膈膜离主动脉瓣的距离非常近,与半交界主动脉瓣的交界有粘连,需要充分地把瓣下长的纤维组织从主要瓣叶根部剥离下来,稍微有一点不注意,就容易把主动脉瓣叶造成穿孔。同时考虑到导管太粗,切断缝合远期效果好,一次性解决能够避免出现再通的可能性。
手术后,楚楚的心脏很快恢复正常。闫军表示,孩子现在做手术是比较及时的,他将来在生长发育等各方面都跟正常孩子是一样的。
很多先心病的患儿,症状的轻重和病情往往相关的,但也经常能碰到症状和病情并不是同步的情况,就容易被漏诊误诊,需要引起医务人员和患儿家长的高度重视。
闫军主任从事小儿心脏工作近20年,擅长肥厚梗阻性心肌病、心内膜垫缺损、法洛四联症等复杂先心病的外科治疗以及动脉导管未闭、室间隔缺损等常见先心病的微创治疗,个人年主刀手术量超600台。
“这次加入安贞医院小儿心脏外科团队,主要是想用我所学的知识,为安贞医院的贡献自己的力量。”闫军说,自己最大的心愿是见证小儿中心团队达到世界先进水平,尤其在新生儿和婴幼儿复杂先心病治疗领域,达到国内和国际领先地位。我会和大家一起,为实现这个共同的目标不断努力。”
小儿心脏中心外科
闫军
首席专家
主任医师 博士生导师
北京安贞医院小儿心脏中心外科首席专家
英国伦敦皇家儿童医院心外科访问学者
中国心胸血管麻醉学会小儿麻醉分会副主任委员
中国医师协会心血管外科医师分会介入治疗学术委员会委员
北京医师协会心血管外科专科医师分会理事
原中国医学医学科学院阜外医院小儿心脏外科二病区主任
《中华胸心血管外科杂志》、《心血管外科杂志》、《中国循环杂志》 编委
参与多部学科教材编著
撰稿|小儿心脏中心外科 李论 李晓锋
宣传中心 白肖寒
摄影|白肖寒
编辑|白肖寒
预约挂号 院内导航
北京安贞医院
公众号
北京安贞医院
小程序
北京安贞医院
APP
最近更新人物资讯
- 青年节专题时文精选,1个专题+5篇模板+12篇范文+1个作文合集(角度+金句+精
- 最新质量管理体系基本要求(五篇)
- 赤坂丽颜值巅峰之作,禁忌之爱代表作品-高校教师成熟
- [王仲黎]人茶共生:布朗族茶文化话语中的生态伦理
- 北京文艺日历 06.12~06.18
- 有什么好看的少女漫画推荐?
- 为了孩子陪睡校长,请别拿这电影洗白
- 当贝市场tv版apk下载
- 茉
- BBC评出有史以来美国最伟大的100部电影
- 泰山岱庙古建筑之文化特色初探
- 阴阳五行学说范文
- 2022伦敦大学学院Bartlett建筑学院Part2毕业展
- 观看平凡英雄观后感1000字
- 纽约大都会博物馆(二)古希腊艺术与神话
- 收藏 | 带你穿越500年,看一看这50位著名艺术家
- ab血型女人的性格
- 春节活动策划方案
- 为什么孕妇生产有危险时,部分丈夫和婆婆会选择保小孩?
- 《员工自发管理的儒家修为智慧》
- 菲律宾尺度片的全明星阵容,菲律宾女人质量这么高的吗?
- 文学课 | 韩少功:文学与记忆
- 《人性的污秽》中的伦理道德世界
- 宋惠莲背夫和西门庆幽会后自缢,看透情色表象下的死亡真相
- 秋波多少画(五代词全集)