手机访问:wap.265xx.com重磅!段钟平教授团队组织多中心研究确定我国北方正常成年人L3-SMI正常值标准
“营养前沿”栏目由北京肝胆相照公益基金会、北京医药科学技术发展协会、全国疑难及重症肝病攻关协作组主办,中华医学会肝病学分会终末期肝病营养与再生学组作为学术指导,肝胆相照?-肝胆病在线公共服务平台提供平台支持,段钟平教授任总编辑,孔明博士任副主编,时红波博士任执行编辑。
栏目聚焦肝病领域的国内外最新营养学进展,对营养学的热点、难点问题,展开多种形式的深入学术交流,以指导临床医生切实做好肝病营养诊疗与管理工作。
目前肌肉减少症在老年、肿瘤、肝病、肾病、心脑血管疾病、糖尿病等很多领域都是一个重要且热门的研究方向。我国肝病患者营养问题突出,但缺乏有效的营养评估手段。第三腰椎骨骼肌指数(L3-SMI)是评估肌肉减少症,进而诊断营养不良的重要指标,具有客观性强、受水钠潴留影响小、可重复性好等优点。但中国尚缺少L3-SMI的正常值研究,因种族差异,欧美等西方国家的标准并不适用于我们国家人群。
为了弥补这一空白,首都医科大学附属北京佑安医院肝病中心四科(原疑难肝病及人工肝中心)段钟平教授牵头了一项多中心研究,参与单位有大连医科大学附属第二医院(PI:李荣宽教授)、兰州大学第一医院(PI:李俊峰教授)、南阳市第一人民医院(PI:史代萌教授),首次建立了中国正常成年人不同性别、不同BMI分层的L3-SMI参考值范围。这为诊断营养不良、评估预后、及时进行营养干预,以及后续研究奠定了基础。
现这一研究论文“Defining Reference Values for Low Skeletal Muscle Index at the L3 Vertebra Level Based on Computed Tomography in Healthy Adults: A Multicentre Study”发表于Clinical Nutrition。我们对其进行分享,以帮助大家提高临床及科研思维能力。
资料与方法
1.1 研究对象
回顾性检索2016年1月至2021年3月首都医科大学附属北京佑安医院、大连医科大学附属第二医院、兰州大学第一医院、南阳市第一人民医院的腹部CT影像学报告。检索关键词为“无明显异常”、“肝囊肿”、“肝血管瘤”、“胆囊结石”、“肾囊肿”和“肾结石”。
纳入标准:(1)年龄≥20岁;(2)有可进行测量的腹部CT检查(包含L3水平);(3)BMI≥18.5 kg/m2。
排除标准:(1)恶性肿瘤;(2)各种慢性疾病,如心脑血管疾病、慢性阻塞性肺疾病、慢性肝炎和慢性肾功能不全;(3)各种重症疾病,如肝衰竭、呼吸和循环衰竭、肾衰竭和重症胰腺炎;(4)内分泌疾病和代谢综合征,如甲状腺功能异常和糖尿病;(5)目前正在使用糖皮质激素治疗的自身免疫性疾病;(6)精神类疾病。
从电子病历系统中获得个人信息,包括性别、年龄、身高、体重和诊断。根据WHO标准,BMI分为正常(18.5-25 kg/m2)、超重(25-30 kg/m2)和肥胖(≥30 kg/m2)组。
图1 中国北方四座代表性城市
1.2 骨骼肌面积的测量
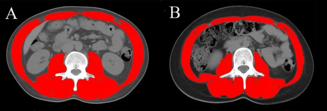
第三腰椎(L3)水平的CT图像由放射科医生从医学影像管理系统中导出,由肝病科医生使用图像分析软件SliceOmatic进行测量。使用HU阈值-29—+150对图像中的全部肌肉进行识别和量化(包括腰大肌、竖脊肌、腰方肌、腹横肌、内外斜肌和腹直肌)。软件自动计算该层肌肉的总面积,用身高的平方校正后,得到第三腰椎骨骼肌指数(SMI,cm2/m2)。所有图像均由两名肝病科医生进行测量,一名肝病科医生测量图像两次以进行一致性检验。
图2 在(A)26岁,BMI 21.6 kg/m2男性和(B)20岁,BMI为20.9 kg/m2女性第三腰椎(L3)腹部CT扫描图片
1.3 统计分析
用均值±标准差和中位数(四分位数间距)表示正态和非正态分布的计量资料。多组间比较采用单因素方差分析或Kruskal–Wallis检验。对于全部研究人群,通过散点图描述L3-SMI与年龄以及L3-SMI与BMI之间的相关性,并计算Pearson相关系数。用均值、标准差和百分位数(p5、p10、p25、p50、p75、p90、p95)描述L3-SMI在总人群、20-59岁人群和20-39岁人群中的分布。将低于研究人群5%或低于平均值两个标准差的临界值用于诊断低肌肉质量。为了使我们的研究数据与其他研究具有可比性,我们选择20-39岁作为年轻人群,并计算20-59岁和20-39岁两个年龄组的低L3-SMI参考值范围。使用SPSS 24.0进行统计分析,p<0.05为差异有统计学意义。
结 果
2.1 研究人群
本研究共纳入1787名正常人,中位年龄为45(25)岁,其中902名(50.5%)为男性,885名(49.5%)为女性。700名正常人(39.1%)年龄在20-39岁之间,其中363人(51.8%)为男性,337人(48.2%)为女性。总研究人群的中位BMI为23.1(4.1)kg/m2,根据WHO标准,正常体重组(18.5-25 kg/m2)、超重组(25-30 kg/m2)和肥胖组(≥30 kg/m2)分别含1284、434和69人。
在男性中,20-39岁人群的L3-SMI高于总研究人群(52.1±7.1 cm2/m2 vs 50.2±7.4 cm2/m2,p<0.001),L3-SMI在20-59岁和20-39岁人群之间无统计学差异(51.4±7.2 cm2/m2 vs 52.1±7.1 cm2/m2,p=0.365)。
在女性中,L3-SMI在总研究人群、20-59岁和20-39岁人群中无统计学差异(38.9±5.3 cm2/m2 vs 39.4±5.3 cm2/m2 vs 39.4±5.4 cm2/m2)。对于骨骼肌面积的测量,测量者内部(ICC=0.997,p<0.001)和测量者之间(ICC=0.994,p<0.001)均有较高的一致性。
2.2 L3-SMI与年龄和BMI的相关性
按性别和年龄分层(20-39、40-59、≥60)我们发现,20-39岁男性的L3-SMI高于40-59岁男性(52.1±7.1 vs 50.7±7.2,p=0.015)和60岁以上男性(52.1±7.1 vs 45.2±6.0,p<0.001)。20-39岁女性和40-59岁女性的L3-SMI无统计学差异(39.5±5.4 vs 39.4±5.3,p=1.00)。然而,两组的L3-SMI均高于60岁以上人群(39.5±5.4 vs 36.8±4.9,p<0.001)(39.4±5.3 vs 36.8±4.9,p<0.001)。
如图3所示,我们分析了L3-SMI与年龄之间的关系。男性和女性的L3-SMI与年龄均呈负线性相关。男性的相关性(r=-0.322,p<0.001)高于女性(r=-0.164,p<0.001)。按性别和BMI分层(18.5-25、25-30、≥30kg/m2),不同BMI组的L3-SMI存在显著差异。
如图4所示,L3-SMI与BMI呈线性正相关,男性的相关性(r=0.472,p<0.001)高于女性(r=0.422,p<0.001)。
图3 散点图描述不同性别L3-SMI与年龄之间的相关性
图4 散点图描述不同性别L3-SMI与BMI之间的相关性
2.3 建立L3-SMI的参考值范围
用均值、标准差、百分位数(p5、p10、p25、p50、p75、p90、p95)描述L3-SMI在总人群、20-59岁人群和20-39岁人群中的分布。
在20-39岁人群中,使用第5百分位数诊断肌肉减少症,L3-SMI的参考值是男性40.2 cm2/m2,女性31.6 cm2/m2。使用低于平均值两个标准差诊断低肌肉质量,L3-SMI的参考值是男性37.9 cm2/m2,女性28.6 cm2/m2。
在20-59岁人群中,使用第5百分位数诊断肌肉减少症,L3-SMI的参考值是男性40.0 cm2/m2,女性31.3 cm2/m2。使用低于平均值两个标准差诊断低肌肉质量,L3-SMI的参考值是男性37.0 cm2/m2,女性28.8 cm2/m2。
基于此方法,表1中也列出了按照BMI分组(<25、≥25kg/m2)诊断肌肉减少症的L3-SMI参考值范围。
讨 论
本研究使用CT测量了1787名中国北方健康成年人在第三腰椎层面的骨骼肌指数。用均值、标准差和百分位数描述了L3-SMI的分布,并使用第5百分位数和低于平均值两个标准差这两种方法得到了L3-SMI诊断肌肉减少症的参考值。男性是40.2和37.9 cm2/m2,女性是31.6和28.6 cm2/m2。除此之外,我们发现年龄与L3-SMI呈负相关,BMI与L3-SMI呈正相关,且男性的相关性高于女性。
在本研究中,我们使用两种广泛应用的方法来定义诊断肌肉减少症的L3-SMI参考值,即低于第5百分位数和低于平均值两个标准差。虽然亚洲肌少症工作组推荐这两种方法用于诊断肌肉减少症,但仍需进一步研究这些临界值是否与不良临床结局密切相关。因此,需要进一步的研究来检验参考值的预后作用,即低于均值两个标准差、第5百分位数、甚至第10或第25百分位数。应用身高、体重或BMI调整骨骼肌面积以获得骨骼肌指数仍存在争议。肌肉减少症的诊断率在不同的校正方法中存在差异。有研究发现,SMA/BMI诊断肌肉减少症的患病率最高,而SMA/身高平方诊断患病率最低。由于L3-SMI与BMI之间存在相关性(男性r=0.472,女性r=0.422),单纯用身高平方校正骨骼肌面积可能会低估大量肥胖人群肌肉减少症的患病率。因此,在制订诊断参考值时应考虑BMI。
骨骼肌衰减不仅在老年人中发病率高,在某些疾病(如恶性肿瘤、慢性肝病、慢性阻塞性肺疾病和慢性肾脏疾病)中也有较高的发病率,并且与不良临床预后密切相关。美国肝病研究学会于2021年9月在Hepatology发布的最新肝硬化营养不良指导意见首次提出:肝硬化患者营养不良通常表现为肌肉质量减少,通过CT图像分析第三腰椎骨骼肌指数被推荐为测量肌肉质量一致性和重复性最好的方法。
综上,这是中国北方第一个大样本、多中心、基于健康年轻人群的研究,研究建立的L3-SMI参考值对营养不良患者的管理具有重要的临床意义,为营养不良的诊断、评估患者预后、及时进行营养干预奠定了基础。接下来,有必要进行进一步研究以确定这些参考值在不同疾病人群对临床结局的预测作用。
误诊漏诊and过度诊断丨双重矛盾下,IgG4相关性疾病如何走向规范诊断
王宇明教授:关注家族史、个人史,对ALT正常慢乙肝患者分层管理,科学诊治
汤善宏教授:影响广泛!CHB低病毒血症亟需关注
点个在看你最好看
最近更新人物资讯
- 青年节专题时文精选,1个专题+5篇模板+12篇范文+1个作文合集(角度+金句+精
- 最新质量管理体系基本要求(五篇)
- 赤坂丽颜值巅峰之作,禁忌之爱代表作品-高校教师成熟
- [王仲黎]人茶共生:布朗族茶文化话语中的生态伦理
- 北京文艺日历 06.12~06.18
- 有什么好看的少女漫画推荐?
- 为了孩子陪睡校长,请别拿这电影洗白
- 当贝市场tv版apk下载
- 茉
- BBC评出有史以来美国最伟大的100部电影
- 泰山岱庙古建筑之文化特色初探
- 阴阳五行学说范文
- 2022伦敦大学学院Bartlett建筑学院Part2毕业展
- 观看平凡英雄观后感1000字
- 纽约大都会博物馆(二)古希腊艺术与神话
- 收藏 | 带你穿越500年,看一看这50位著名艺术家
- ab血型女人的性格
- 春节活动策划方案
- 为什么孕妇生产有危险时,部分丈夫和婆婆会选择保小孩?
- 《员工自发管理的儒家修为智慧》
- 菲律宾尺度片的全明星阵容,菲律宾女人质量这么高的吗?
- 文学课 | 韩少功:文学与记忆
- 《人性的污秽》中的伦理道德世界
- 宋惠莲背夫和西门庆幽会后自缢,看透情色表象下的死亡真相
- 秋波多少画(五代词全集)