手机访问:wap.265xx.com医生是怎么根据 CT 片子诊断的?
比如ct x光拍出来的片子医生是怎么看哪出毛病的?外行看来就是一张有阴影层次的模糊图像,医生是怎么看出正常的影像和患病的影像区别?听到一个神论说现在的医生也没什么技术含量,全靠仪器。ct片子拍出来仪器就已经诊断出病情,医生只是根据片子的诊断结果给病人解释。呵呵?
简单说,从学习实践的角度,是以下三个步骤的渐进和循环:
一,知道什么是正常的。
二,知道什么是异常的、怎么个异常法、为什么异常、提示什么……
三,从「重点」的角度知道敏感区、从「全面」的角度练眼力和耐心。
CT不光是看看片子,还要结合临床。症状、体征、病史、其它辅助检查等。如果只有片子,报告上可以说「符合肝转移瘤」「考虑肺炎」,很有把握的、显而易见的会直接说「肾囊肿」「胸腔积液」,但不会贸然说「确定xxx」。
最终,如果非要钻牛角尖,所有的诊断都是「可能」。就算取了病理,也有看错的不是……没有谁能囊括一切。在不断探索发现中,意外永远会到来,所有的信仰,下一刻也都可能被推翻。
我是临床医学专业,因为个人原因,在某TOP 10 医院放射科轮转过长达一年时间,从完全的门外汉到能够基本完成放射科日常影像诊断工作,也对这种认知转变的过程有所理解。很遗憾,“没什么技术含量,全靠仪器。ct片子拍出来仪器就已经诊断出病情,医生只是根据片子的诊断结果给病人解释”,这个结论不是完全成立。医学确实随着科技的发展有了很大的飞跃,但科技手段只是辅助手段,医学最终还是一门“人”的科学,对患者如是,对医生也亦然。
围绕影像片子的医疗工作涉及放射科诊断医生和临床相关科室医生两类人群。
先说放射科诊断医生的工作。
简单地说,放射科的工作由两部分完成,第一部分是患者在放射科拍摄影像片(X线片、CT、MRI等),这一过程是由放射科技师操作各类机器完成,包括参数设定、扫描、图像处理等,有点类似摄影师拍照,只不过操作的机器更巨大。之后,图片会通过专门的电子系统传输到诊断医生的电脑上,大部分时候,诊断医生在医用竖屏显示器上调阅影像图片,逐幅观察图片(一般普通、常规情况,一名患者的图片在80幅-320幅之间,如果是本院多次就诊患者,还需要调阅既往影像图片,作出对比,图片量倍增),寻找发现问题;然后按照要求进行描述,哪些结构正常,哪些结构异常,如何异常;之后结合检查申请单上的临床症状(有时临床科室没有提供)作出“影像诊断”,通俗的说,就是考虑可能是什么疾病,或者倾向什么疾病。对于经验丰富的高年资医师,经常能够确定地下结论,就是什么疾病,这份自信是在日积月累的学习和工作中沉淀出来。所有的报告由初级医生完成后,必须由上级医师审核才能签发,如果遇到疑难杂症,还需要更高级的医师或多人讨论后签发。

所以,你会发现,很多患者认为的已经诊断出来的报告,其实并不是机器自己给出来的,是由影像诊断医生完成的,只是这部分工作是幕后的,没有被患者看到。就像一部电影,大多时候人们往往说演员如何出彩,但幕后大量工作人员奉献了自己的力量。
医学有一个非常鲜明的特征:异病同征,同病异征。拿最易理解的肿瘤来说,肿瘤生长的一个特点就是毫无规律,一千个患有相同肿瘤的患者,他们的临床症状和影像表现都不会完全一致。这就需要诊断和鉴别诊断。影像诊断这一部分工作,目前还无法由机器完成,还是通过人的劳动完成的。而要完成这一工作,首先需要非常清楚地知道正常的人体解剖结构及断层解剖结构(影像图片大多是断层图片),而且还要了解正常的人体变异(是的,即使正常的人体结构,很多人也有变异,不能误判是异常),之后要清楚地知道异常的组织结构,这就需要时间和经验的积累,所谓见多识广。

由此可以看出,在当下的医学环境,影像诊断工作在整个医疗流程中的关键,虽然有时无法达到病理诊断这种“金标准”,但同样不可或缺。也正是基于此,在欧美国家,放射诊断医生的薪酬是各专业医生中比较顶尖的(当然,他们也具有更大的工作范畴和“权利”,比如参与制定化疗方案等),而在国内,放射科还是“辅助科室”。
再说临床科室医生的工作。
患者摄片后拿到影像片和影像诊断报告,去找医生。有两类医生,一类医生可能直接看报告,不看片子,有很多可能,有可能是他不够专业,“不太会看”(这也是设立放射诊断医生的目的之一,术业有专攻),有可能是他病人太多,没有时间。题主产生疑问,大多可能发生在这一环节,一个现实可能的原因是很多低年资的医生,影像诊断教育和水平还不够,无法直接阅片;还有一类医生,他可能只看片子,不看报告,非常自信,这大多是一些老教授或高年资医师,他们在本专业浸淫多年,资历经验丰富,对本专业的影响诊断手到擒来。
综上,目前的科技水平,仪器不可能自己诊断,所有的影像诊断工作都是有影像诊断医师和临床医师共同完成。
本人医学影像诊断学学生一枚,看了这么多回答,实在忍不住想说两句,不请自来。
——————分割——————
1.首先说说想要上“看片子”这个岗位,需要学些什么。
医学是一门需要归根结底,一步步推导的学科,所以,涉及到“片子”的任何一个环节都必须变成影像诊断学生的科目。除了高数,化学等基础课程之外,除了系统解剖,药理,生理,生化等等医学基础课程之外,除了内科,外科,妇科,神经病学等等等等临床课程之外,再除了伦理学,心理学等等等等等等道德教育课程之外,影像学生还需要掌握:
①电工学。其实关于这门课,同学们真的是吐槽一片。一是因为课业紧,每周抽出额外的时间对付那些物理题目实在麻烦;二是因为大家觉得就凭借这些知识修机器实在太困难…
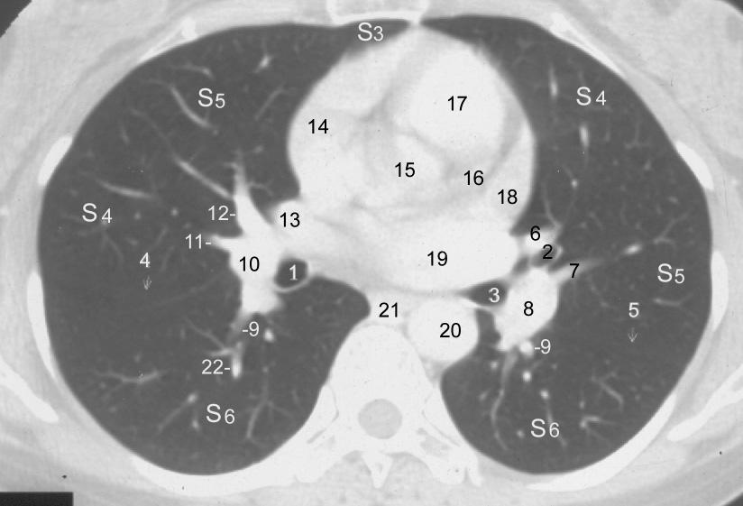
②断层解剖学。上面已经提到了系统解剖,跟这个有什么区别呢?区别大了,简单说,系统解剖就是把人剖开看看里面完整的器官是怎么样的(啊…和谐…),而断层解剖就是把人切成一片一片(啊……一定要和谐……)看看每一片里有什么。难度可想而知。看到这里大家一定明白了,没错,这一片,就是片子上的那一片。
为什么学习这门课?这样,每一层,你才能看出来到底哪里出了问题。一张片子,医生看到的远比你们想象中看到的东西要多的多,这一片灰度相同的的区域,其实医生知道那绝不是一个东西。
③成像原理。这是一个泛指,有X线,CT和MRI三种技术的原理。我以MRI为例。作为医科生,我们活生生搞懂了核磁矩,自旋量子数,拉莫尔进动等物理概念,搞懂了不同的脉冲序列为什么产生了不同结果,搞懂了K空间填充对图像结果的影响,搞懂了脂肪抑制要怎么办,流空效应怎么应对……啊,太多了……
为什么要学这个?知道了成像原理,你才能知道这一片阴影或者亮区意味着什么,是实变还是钙化。
④VB。这就是图像处理。写一些编程的语言,想办法为片子去噪声(就是由于各种原因可能拍的不够清楚,咱给它弄清楚了),或者人为的将你想看的那一片区域的放大(就是比如想看白质区,就把这一片区域的灰度值扩大,这样细节就更加清楚),或者测量肿瘤大小啦什么的。我们制作的这些都很简单,真正专业的软件处理项目更多更复杂。
为什么学这个呢?因为虽然你制作的东西工作用不上,但是你要是明白了它的原理,就不会在线性放大时候诊断出肺纹理增粗来了(呃…这句有可能听不懂是不是…算了…假装大家都明白好了)
⑤接口技术。这个就是74L00什么的,0101开关开关那个,说实话这个我实在也不太明白开设这门课程是为了什么…〒_〒…
⑥…………还有很多的意思………
2.拍片子时病人的动作是统一的吗?
不是。虽然大多数人都用同一种姿势拍片,但如果你的病变非常特殊,需要避开一些器官,将一些器官显示的更加清楚,你就要采取非大众的姿势。这个姿势,就由影像诊断医生特别标注告诉拍片的人。如果你的第一张“大众”片子照出来之后(比如脊柱),影诊医生发现正位片没问题,随后推断峡可能是病变原因,就再来一张斜位的,怎么斜怎么扭,影诊医生说了算。(举例非常不恰当,只是为了说明问题)
3.知识学好之后,就可以上岗了吗?
当然不行。医生是集药理,诊断,实践为一身的多重身份人员,他们是桥梁,是联系的桥梁。影像诊断的医生更是如此。
CT值毕竟只是一个死数,许多病变部位可能测出来都是一个值,所以真的不能单凭片子就确诊病情。这时候就得影诊医生联系患者主诉,临床体征,还有血象等检查来确诊,为临床铺路。
4.我就不说一张片子由于各种随机的原因造成伪影啊乱七八糟的好多影响判断的东西了。那些众所周知。
综上所述,影诊医生看片子真的是个技术活,这项技术在现在只能由人来完成,至于将来,我可能活不到那时候了,交给子孙们去吧~~~
——————分割——————
1.首先因为强迫症患者将分割线改成对称的了。。
2.有人说歪楼…可能因为吐槽心太重一不小心有些歪了…〒_〒
不过写这些的初衷就是想告诉大家,机器要想代替影诊医生,他就得明白上面那些那些,所以机器要想代替人,一时半会还不成。OK?
看到这个问题,刚好我的一篇文章专门写影像学诊断。包括CT,MR,B超等等。
在这里引用一下。
链接:轻轻的揭开你的面纱——医学江湖之影像检查 - 外科医生的日常 - 知乎专栏
种类繁多的影像学检查到底有什么不同?
为什么医生不直接给我开最好的检查?
哪些检查有辐射,又如何防护?
为什么拍片子的地方总是排着那么长的队伍?
影像技术有什么新发展?
有人说医学近几十年都没有什么大的发展和突破了,我们所见到的诊疗技术的提到大都归功于工业技术的发展。其实医学本身也不是一个单一的学科,而是把所有的科学和技术运用到治病救人上来。
影像技术就是一个最好的例子,通过拍片子可以看清患者的五脏六腑,而各种不同的拍片和影像技术利用了不同的原理,目标只有一个,揭开隐藏在疾病身上的面纱。
作为医生,经常有亲戚朋友问到我,我这个情况到底做什么检查最好?
在回答这个问题之前,需要简单普及一下常见检查技术,比如CT,磁共振和B超。这些可能是患者最熟悉的检查,当然还有一些有创检查,比如胃镜肠镜,血管造影等等。他们都是做什么的?各有什么利弊?如何选择?
先说X射线,就是著名的伦琴发明的,影响医学的开端。X线发明的故事大家也都熟悉,伦琴在一个偶然的机会下从X射线现中看见了自己手的骨骼。所以说X射线主要是用来看骨头。此外还有一个最常见的作用是拍胸片,主要是粗略的看一下肺部和心脏的轮廓。一些诸如肺部感染,先天性心脏病导致心脏的大小形态变化,还有肺癌之类的典型的影像表现还是可以一目了然。还有人问什么透视和拍片有什么区别。简单的说透视就是医生在X光下看一眼,拍片就是把片子打印出来。
下面就是CT。X线的扫描等于把人体压成一张薄薄的纸来观察,但是只有一个方向,CT就是把人切成一个个薄片,相当于多层的X线扫描。可以把人切成1cm 的薄片,也可以切成0.5cm。越薄精确度就越大。再举个简单的例子,人体的肿瘤就像在馒头里藏了一颗沙子。X线可以看穿馒头,发现沙子,但是仅仅是平面效果。也就是仅仅在一个平面上,只知道在馒头中间有沙子,并不知道在馒头里面多深的位置。这时候就需要CT,比如说0.5cm的扫描,就相当于把馒头间隔0.5cm切片,把每一片拿出来找这颗沙子。这时候,稍微大点的沙子都可以被发现。而且可以确定在多深的位置。但是如果是更小的沙子就,刚好在0.5cm的两层之间,也可能不会被发现。
这就是我们说检查的敏感性问题。当然扫的层面越多,敏感性就越高,但是事实并没有那么简单。第一,仪器的分辨率要求高,价格也就相对更高;第二,扫描的层面越多,时间越长,患者受到的辐射也就越大。目前CT的分辨率对于一般的疾病都可以检查,适用范围也较广。CT扫描的时间也相对较短,根据扫描位置的不同,几十秒或者几分钟基本上都可以完成。当然X线更快,就是“咔”的一下。
接下来就是磁共振,磁共振的远离简单的说:正常情况下人体内的氢原子核处于无规律的进动状态,当人体进入强大均匀的磁体空间内,在外加静磁场作用下原来杂乱无章的氢原子核一齐按外磁场方向排列并继续进动,当立即停止外加磁场磁力后,人体内的氢原子将在相同组织相同时间下回到原状态;这称为驰豫,而病理状态下的人体组织驰豫时间不同,通过计算机系统采集这些信号经数字重建技术转换成图像就可以给临床和研究提供科学的诊断结果。
磁共振和CT的区别主要在于成像的性质,CT是根据组织的密度,由于人体不同组织的密度不同,来发现病灶;而磁共振是判断不同加权所产生的不同信号。磁共振于对软组织滑膜、血管、神经、肌肉、肌腱、韧带、和透明软骨的分辨率高。由于其特殊的性质,磁共振看骨头不行,而在大脑的检查中则有着不可替代的作用。
在这里还要顺便提一下,磁共振扫描的时间相对CT会更长,但是并没有辐射,相对安全。还要说一句的是磁共振仪器是一个巨大的磁场,进去磁共振室一定要卸下随身携带的金属物品,不然都会被吸到机器上。曾今也有许多案例和教训,比如患者的输液架被仅仅吸住,所有人都拉不开,不得不叫来大型工程设备;还有患者要求将轮椅推入,医生拼命阻止,患者不理解,最后造成严重纠纷。
还有一个常用检查手段是B超。B超的原理是利用人体组织对超声波的回声不同,来判断正常组织和病灶的性质。B超和之前提到的三项检查有着较大的区别,但是因为B超机的探头掌握在B超医生的手上,指哪打哪,因此相对更依赖于检查医生的经验。
B超对于人体管腔的液体流动和腹腔脏器检查的敏感性较高,我们常常遇到的胆囊结石,肾结石,血管狭窄,心脏功能等等检查,都是B超的用武之地。B超有着独特的优势,便携,可以在床边,甚至在手术中使用。此外,B超市利用超声波成像,也没有所谓的辐射。所以孕妇多采用B超检查。
那么什么是PET呢?他的原理又是什么呢?
PET是近年来被广泛提及的名词,现在也在很多中小城市得到普及。很多老百姓都认为虽然花钱多一点,一次把钱到一万,但是扫一下就可以知道全身上下的毛病,还是相当划算。很多有钱人甚至经常进行PET检查,很多患者也主动要求我给其进行PET检查。
PET看的是组织的代谢。也就是说,通过异常的代谢来判断全身上下是否有病变,其中最敏感的要属肿瘤性病变,因为肿瘤的特点就是代谢旺盛。但是PET也存在相当的局限性,首先就是扫描层面的问题,扫描整个人,层面相对比单独扫一个器官要粗略很多,一些细小的问题可能被忽略。然而很多良性疾病,代谢改变不大,在PET扫描的时候也不会被发现。
另外,即使看到病灶,由于扫描的精确度问题,也仅仅可以定位病灶的存在,对于其具体性质还需要进行进一步的专项扫描。
还有许多检查和PET类似,都需要打药。这种药物统称为造影剂。根据造影方法的不同也分为很多检查。这是因为人体组织结构中,有相当一部分,只依靠它们本身的密度与厚度差异不能在普通检查中显示。此时,可以将高于或低于该组织结构的物质引入器官内或周围间隙,使之产生对比以显影,此即造影检查。引入的物质称为造影剂。造影检查的应用,显著扩大了X线检查的范围。
很多患者经常会问,什么是造影,什么又是增强扫描?
增强扫描就是吞下或者血管里注射能够在影像仪器中显影的材料再去拍片子,这样从片子里面就能看到这些物质的分布,根据这个情况可以判断患者的消化、血流和代谢等情况。还有更精确的检查就是造影,医生常常从大腿上的股动脉把导管插入患者的动脉系统。根据检查的情况,要查心脏就把导管伸到心脏的血管附近,要查脑子就伸到脑子的血管,要查肝肾就伸到肝肾的血管旁边,一边打造影剂,一遍观察,这样患者的血流情况一目了然,甚至一旦检查到了问题,通过这样的导管放置治疗器械,比如支架等等,达到治疗的目的。但是这样的操作需要医生的高超经验和技术,同时由于拍片子的时候医生在旁操作,所以医生也不得不承受辐射。虽然有铅衣保护,但是常年累月,这种辐射量还是巨大的。不仅许多介入医生早早白了头,他们罹患多种疾病的概率也大大升高。
还有一些内镜检查,近年来也广泛应用,什么胃镜、肠镜、气管镜、阴道镜、喉镜、鼻内镜,甚至乳管镜,只要有空隙的地方都可以插入各种探头进行检查。这种检查医生可以直观看到病灶,所以也被誉为许多疾病诊治的金标准。其他的检查都是间接的,这个直接从屏幕上看到病灶了,准确性最高。但是把镜子塞到人体的这些孔隙,常常带来巨大痛苦,所以良好的麻醉配合必不可少。甚至慢慢开始推崇全麻进行检查,虽然承担一些费用和风险,但是完全无痛,一觉醒来检查就完成了,患者的主观感受会改善许多。
之前提到医学影像学的发展与其说是医学的发展,不如说是工业技术的发展,计算机三维重建技术就是一个很好的例子。过去医生看病人的CT片,都是一张一张来看的,而当下扫一个病人的图像,就有1000幅图像,一天下来会产生万幅图像,医生根本没法彻底看完这些片子。借助医学影像学,可以先对这些片子进行后处理,使之融合成为一个三维立体,这样医生就可以先看到直观的立体图像,正常组织和病灶之间的结构也一目了然。
说了这么多检查的手段,那么再回到文章开始的问题。
同类的检查医生给你开了这么多,为什么不直接做最好的那一种?
这个问题其实并不等同于吃到一个饥饿的人吃到第三个馒头就饱了,为什么还要吃前两个馒头。需要从检查的特异性、准确性、有创新、经济性等方面综合考量。只要看我上面的内容就会知道,每种检查侧重点不同,常常需要通过多种检查综合考虑;第二、根据患者病情的不同检查的选择也不同,举个例子常规体检一般不会进行头颅的影像学检查,甚至如果患者有些头疼也会告诉患者回家休息观察,如果患者确实有头部疾病的表现,或者强烈要求,一般医生会进行CT检查,如果CT检查有异常的发现,或者说CT检查没有问题,患者依然明显不适,医生才会建议做磁共振检查;根据CT和磁共振的问题,可能还要加做增强或者造影检查。有的患者增强磁共振检查到了问题,就会反问医生,为什么一上来不给我做磁共振?还让我花了那么多冤枉钱和时间?这里我要说,100个患者里面可能只有一个人需要做磁共振,如果每个人都做,岂不是更加过度检查。而且CT和磁共振检查的侧重点不同,原理也不同,有的疾病只要CT检查就完全可以确诊,这仅仅反应了医生的诊疗思路。然而对于根据临床症状就可以提示大脑有重大疾病的患者,医生可能刚开始就建议他把很多检查同时进行。这些检查的开具往往也可以反应医生的水平,但是并没有绝对。有时候选择了准确性,却增加了创伤,加大了辐射量,增加了患者的经济压力,更增加了本来就不充足的医疗资源负担。
还有的患者上了就跟医生说,把所有检查给我做一遍,我要做一个最详细的检查。
在这里,我想告诉他,把我们医院的所有检查做完不仅极其痛苦,而且不画上半年时间都做不完。但是莆田系医生却会把所有检查都给你做一遍,他们是什么目的?挣钱而已,不言自明。
最后,还有很多检查和诊断方法都依赖医生和医院的配置、水平和习惯。比如虽然造影检查好,但是医院没有配备昂贵的造影设备,或者医生经验不足,造影检查的优势可能并不能完全发挥。相反,传统拍片子的医生,通过增强扫描加上经验丰富的三维重建技术,也可以达到最好的检查效果。记得实习的时候,在心血管内科,主任是一位老奶奶,看起来和街边逛菜市场的老人无异。但是她一穿上白大褂,马上透出一种强大的气场。她的一个听诊器甚至超过所有的检查设备。初次见到的患者,只要把听诊器放在患者的胸口听一听,就说出一长串的检查结果,下面的医生翻出患者的病例资料,居然跟那么一大堆检查完全吻合。如果人人都能成为这样的医生,那么也许多先进的诊断技术就都变成了摆设。但是正因为不是所有人都能成为神一样的医生,而这些诊断技术可以帮助我们得出和这位医生一样的诊断结果。
下面我想说一些影响学检查周边的问题。
患者家属陪同进行检查是否需要防辐射?
首先说,答案是肯定的。
在众多的影像学检查中,常见需要家属陪同的检查里面只有X线和CT涉及到这个问题。那么X线和CT的比较呢,CT的辐射应该比X线大上几十倍。
从保护的原则上来说,只要病人可以维持检查的姿势,家属一般都是请出CT室。但是意识不清乱动的,小孩子不配合的,这种一般需要一个家属帮忙扶一下,或者保证患者不从检查床上掉下来。这里也仅仅是稍微扶一下而已,因为反应过大的医生一般都会先用药物控制,因为病人动来动去检查也是无法进行的。
至于穿防辐射服的问题。一般衣服是挂在那里,有些可能有标示让家属穿。但是很多家属缺乏防辐射的知识,大都不会主动穿着。如果进行增强CT检查,检查时间较长辐射较大,一般射片的技师都会提醒让家属穿衣服,并且教家属如何去穿。如有孕妇,更是在CT检查室门口就有巨大的警示标志禁止靠近。
有些检查时间较快的比如普通CT和X线,家属穿衣服的时间甚至都超过了检查时间。因为没穿过防辐射服,第一次穿可能需要很长时间。甚至一听到穿衣服,家属反而紧张起来。决定谁来陪病人检查能商量个半天。且不说病人病情危急,时间就是生命。这种危重病人往往都是插队检查,后面还排队几十个人,排了大半天的队,这家人因为病重就直接插进来了,检查室外面怨声载道。在这种情况下,有时候技师就不会再去反复提醒家属穿衣服了。而且针对放射科的工作人员长年累月接受的辐射来说,这点辐射量可能微乎其微。
接下来又不得不说说影响检查的排队问题。
如果医院能达到一天只拍几个片子,或者说后面没有人排队和催促,工作人员不用加班加点,那么提醒家属穿防护服那只是举手之劳,根本不会成为问题。但是中国的医院,尤其是三甲医院影像科往往也是满负荷工作,很难有仪器专门为急诊准备。也就是说,医院不同于一般的地方,排队不仅看先来后到,更要看轻重缓急。有时候命悬一线的患者也不得不等待。医生向排队等待的患者反复解释,需要加急的患者有气管插管,甚至随时可能停止呼吸。但不理解人的不在少数。一来事不关己,二来每个患者都觉得自己的病情严重,排了很久的队啊,专门请假来的啊,难受一晚上啦,下个就是我啦。
其实对比一下国外的医院动辄几周几个月的预约时间,国内排队的时间可以说是非常人性化了。放射医生宁可加班,都要把所有急诊和慢诊的病人做完。所以这里希望患者也能遵守医院的秩序,理解医院和其他公共机构的区别。
对于做检查的患者家属来说,虽然家人生病心烦意乱,可能没有经验,但是在影像检查的时候最好分工明确,听从医生的安排,为后面患者节约时间。如果急诊的患者,虽然可以优先检查,也尽量自己去跟后面排队的患者解释一下,共同营造和谐的诊疗环境。
每次医疗,说道最后都得说道人文上。因为医疗不是冷冰冰的技术,每一个患者都是有血有肉的生命,那些仪器也不是冷冰冰的存在,医生的心血和热情给他们带来生命!
透过这些仪器和设备,医生揭开了疾病的面纱;也希望通过自己的技术和人格,不仅解除患者的痛苦,更解开隔在中国医患关系之间的心结。
(这篇文章的撰写,正值广东口腔科主任被杀,重庆急诊科主任被砍,湖南五官科医生仅因为同时处理两名患者,让后处理的患者稍微等待,患者家属就将其残忍杀害。心寒心寒!)
目前有两个专栏,很高兴和你一起分享!
医学周边:外科医生的日常 - 知乎专栏,
游学杂记:美利坚游学手册 - 知乎专栏
你以为医生都是水货,看病就靠机器,医学院那么多年白读的?大错特错!
X光、CT、磁共振机器只能做出图像,你可以理解成三种不同类型的带有透视功能的照相机,充当医生的眼睛。
很多人以为这些机器自动会出报告,实际上目前还不会,报告都是人写的,机器也是人操作的。
放射科主要有两类工作人员:
放射科技师主要工作是操作仪器,可以理解成就是摄影师,技师的水平和机器的性能决定图像的诊断价值如何。
放射科医生主要工作是读片写报告,也就是看图说话的人,如何对图像进行正确解读,写出一份有价值的报告,是放射科医生的工作。
一般的临床医生可能只会选择去看报告,不会去看片子,然后拿着报告给病人照本宣科解释一下。
优秀的临床医生,自己会看片子,会解读,会根据患者的症状和体征在影像上寻找蛛丝马迹,报告只是起到一个提示的作用。
就拿膝关节来说,人类的膝关节非常复杂,韧带、软骨、半月板、骨头、血管、神经,好多好多结构拼凑出一个膝关节,磁共振能很准确地显示出这些结构,专业的膝关节外科医生必须会从磁共振上认出这些结构,无论是正常状态还是病理状态。运动医学万医生:绝对干货!自制史上最详细膝关节磁共振应用解剖图谱(轴位+冠状位+矢状位)
上一篇:我为什么说,爱情是成年人的游戏?
下一篇:反对动物实验十大理由
最近更新小说资讯
- 特别推荐 收藏共读|朱永新:新教育实验二十年:回顾、总结与展望(上)
- 网红+直播营销模式存在的问题及建议
- 火星探测、卫星搜寻、星球大战,你有怎样的“天问”?
- 希腊男性雕塑 希腊人的美学,那里越小越好
- 枸杞吃多了会怎么样 成年人一天可以吃多少
- “妈妈和哥哥被枪杀后,我变成地球最后一个幸存者”:热搜这一幕看哭了……
- 节约粮食倡议书400字作文
- 祖孙三代迎娶同一个妻子,本以为是笑话,没想到却是真实故事
- 进击的中东,唯有一声叹息
- 唐山性感老板娘不雅视频曝光,少妇贪心,少男痴情!注定两败俱伤
- 【盘点】5G时代下,相关专业有哪些?
- 毁三观的旧案, 双胞胎兄弟交换身份与女友发生关系, 终酿伦理纠纷
- 腾格尔在当今乐坛的地位如何(腾格尔为什么能)
- 小贝日本游,11岁小七身材发育成熟,穿紧身衣有曲线,瘦了一大圈
- 甩三大男神前任,恋上有家室老男人拿下影后,她人生比电影还精彩
- 女英雄为国为民,先后嫁给3人,却落个精神崩溃服毒自尽
- 墨西哥超大尺度神剧,四对超高颜值情侣一言不合竟开启“换妻游戏”?
- 妈妈对小学孩子的成长寄语
- 面向未来的工程伦理教育
- 用大宝贝帮妈妈通下水道好吗
- 第36章:家庭伦理
- 华东师范大学心理学考研看这一篇就够了
- 李玉《红颜》 电影带来的世界44
- 微改造 精提升⑩ | “渔民画云码头”,探索传统非遗产业化发展新路径
- 清朝皇帝列表及简介 清朝历代皇帝列表