手机访问:wap.265xx.com成年人整牙可以改正口呼吸吗?
近几年感觉自己的口呼吸越来越严重,睡觉都是露出上面突出的牙齿,口呼吸。早上起来喉咙干的要死,口臭。(? ??_??)?想让自己变好。
谁都有颗想变美的心,尤其是成年后的你,对美有了更深层次的了解,比如:整牙也许会让你变得更美。但有部分人认为牙齿矫正是针对儿童和青少年,成年以后就不能再整牙,这到底是为什么呢?

成年后别整牙是谣传吗
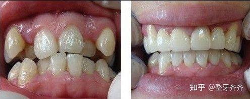
必须是!为啥这样肯定的说呢,是因为小编身边好多朋友都是成年后整牙,矫正完后整个人都充满了自信。不信?你来看看这组矫正前后的对比图。

▲整完牙,你说我能不自信嘛~
其实,成年后不是说不能做矫正,而是矫正的速度没有儿童和青少年的快,儿童矫正大概6个月就能完成;青少年一年左右就能完成;而成人则需要2-3年的时间。

而对于矫正的效果而言,成人矫正难度会更大,如果贪便宜选择了“黑心小作坊”,那么不仅达不到理想的效果,还会对牙齿有伤害。
觉得我夸张?不妨来看看都会导致哪些危害
危害一:牙周炎未得到缓解就矫正
在牙周炎未得到控制前就做矫正,可能会导致炎症进一步恶化,矫正完后就会出现牙齿松动脱落的情况。

危害二:只看牙齿是否整齐未考虑咬合关系
如果只考虑整齐,不考虑咬合就会导致咀嚼功能障碍、容易产生蛀牙、也容易引起牙周病等情况。

所以说,不论是儿童、青少年或者成年人都可以做牙齿矫正,因为影响牙齿矫正的只有自身牙槽骨以及牙齿情况,与年龄无关,只要牙齿条件达到,都可以做!
想了解更多口腔知识或者选择好的口腔医院,可以关注公众号/微博:【整牙齐齐】~
这里有更多的口腔咨询等你来盘哦~
点击下方链接可以免费咨询口腔问题哦~https://t.cn/A6qBKCs1
点击下方链接添加客服微信免费咨询牙齿问题哦~Simple Free Image Hosting
上一篇:整理18、19、20年关于《人工智能》的标准和评估规范
下一篇:2023潍坊东营一模9科+临沂一模9科+菏泽一模11科+威海日照一模试卷+答案(
最近更新小说资讯
- 特别推荐 收藏共读|朱永新:新教育实验二十年:回顾、总结与展望(上)
- 网红+直播营销模式存在的问题及建议
- 火星探测、卫星搜寻、星球大战,你有怎样的“天问”?
- 希腊男性雕塑 希腊人的美学,那里越小越好
- 枸杞吃多了会怎么样 成年人一天可以吃多少
- “妈妈和哥哥被枪杀后,我变成地球最后一个幸存者”:热搜这一幕看哭了……
- 节约粮食倡议书400字作文
- 祖孙三代迎娶同一个妻子,本以为是笑话,没想到却是真实故事
- 进击的中东,唯有一声叹息
- 唐山性感老板娘不雅视频曝光,少妇贪心,少男痴情!注定两败俱伤
- 【盘点】5G时代下,相关专业有哪些?
- 毁三观的旧案, 双胞胎兄弟交换身份与女友发生关系, 终酿伦理纠纷
- 腾格尔在当今乐坛的地位如何(腾格尔为什么能)
- 小贝日本游,11岁小七身材发育成熟,穿紧身衣有曲线,瘦了一大圈
- 甩三大男神前任,恋上有家室老男人拿下影后,她人生比电影还精彩
- 女英雄为国为民,先后嫁给3人,却落个精神崩溃服毒自尽
- 墨西哥超大尺度神剧,四对超高颜值情侣一言不合竟开启“换妻游戏”?
- 妈妈对小学孩子的成长寄语
- 面向未来的工程伦理教育
- 用大宝贝帮妈妈通下水道好吗
- 第36章:家庭伦理
- 华东师范大学心理学考研看这一篇就够了
- 李玉《红颜》 电影带来的世界44
- 微改造 精提升⑩ | “渔民画云码头”,探索传统非遗产业化发展新路径
- 清朝皇帝列表及简介 清朝历代皇帝列表