手机访问:wap.265xx.com小雨+雨夹雪+小雪|石家庄发布最新情况通报|已致4人死亡!邯郸最新警情续报来了
小伙伴们早上好
随着冷空气撤离
气温振奋精神,开始回升
河北中南大部分地区
最高气温陆续回归10℃+
(河北省气象信息中心)
而且一直到24日
气温将一路攀升
到了24日
河北中南大部分地区
最高气温将向20℃线发起冲击!
届时各地一派融融暖意春光
一起迎接春天啦~
来看具体天气预报
今天白天,石家庄、沧州及以南地区多云,其他地区晴间多云。
今天夜间到22日,全省多云转阴,保定、廊坊及以北地区有小雨或雨夹雪,其中张家口北部、承德北部有小雪。
22日夜间到23日,河北北部地区阴有小雨或雨夹雪转晴,其中坝上地区阴有小雪转晴,其他地区多云转晴。
3月21日具体天气预报
石家庄发布最新情况通报
3月20日,石家庄市有2名新冠肺炎确诊病例治愈出院。目前,还有7名确诊病例正在住院治疗,3名无症状感染者正在进行集中隔离医学观察。
廊坊三河通报两起疫情防控相关典型案例
廊坊三河市公安局对新冠肺炎疫情防控典型案例进行收集整理,现通报如下:
案例一:虚构事实扰乱公共秩序
3月16日,居住在三河市燕郊经济技术开发区的赵某(男,46岁,山东省东阿县人),在明知三河市应对新冠肺炎疫情工作领导小组办公室已发布核酸检测公告的情况下,仍编造不实疫情信息在某App上发布,被多人评论回复,造成恶劣的社会影响。其行为构成虚构事实扰乱公共秩序,3月18日被三河市公安局依法行政处罚。
警方提示:对于涉及疫情相关信息,要密切关注官方权威发布,以政府部门、权威媒体的官方平台发布为准。对未经证实和来源不明的消息不转发、不传播,更不要编造、发布不实信息,自觉做到不信谣、不传谣、不造谣。对发布、传播虚假信息,扰乱社会秩序,造成严重后果的,公安机关将依法严肃查处,追究相关法律责任。
案例二:拒不执行紧急状态下的决定、命令
3月17日2时许,师某(女,19岁,河南省汝阳县人)与付某(男,19岁,山东省夏津县人)二人在明知三河市应对新冠肺炎疫情工作领导小组办公室发布三河市全域实施严格封控管理通告的情况下,仍拒不执行小区封闭管理规定,擅自离开自己居住的小区,翻墙进入相邻小区,影响了社会管理秩序,该二人构成拒不执行紧急状态下的决定、命令。3月20日被三河市公安局依法行政处罚。
警方提示:维护疫情防控工作秩序人人有责,希望广大市民群众主动履行防疫责任和社会义务,积极配合开展防疫工作,对拒不履行疫情防控措施、扰乱社会秩序的,公安机关将依法严肃查处。
邢台清河一人擅自从管控区外出被拘留10日
邯郸市主城区交通事故已致4人死亡
3月20日21时许,记者从邯郸市相关部门获悉,3月20日16时40分许发生在邯郸市人民路与滏河大街交叉口的交通肇事事故,14名受伤人员中已有4人经抢救无效死亡。
3月20日16时许,一辆白色福特牌小轿车在非机动车道内撞上多辆非机动车,现场14人受伤。邯郸市交巡警支队事故民警到现场处置后,第一时间将受伤人员送往医院救治,肇事司机当场被控制。事故发生后,邯郸市委、市政府主要领导高度重视,立即研究处置工作,并赶赴医院指导救治工作,要求医院全力以赴救治伤者。目前邯郸市已成立事故调查专班,并做好善后工作。
考核细则来了!石家庄最新公布
为进一步做好对“黑车”和出租汽车违规经营行为的专项整治工作,石家庄市近日出台《石家庄市出租汽车驾驶员服务质量信誉考核细则(试行)》(以下简称《细则》),将对出租车驾驶员在遵守法规、安全生产、经营行为、运营服务等方面进行考核,考核综合得分为0分,且未按照规定参加培训的,将由交通运输管理部门列入不良记录名单。
连日来,石家庄市打击“黑车”暨出租汽车违规经营行为专项整治行动深入推进,有力打击了“黑车”,净化了出租汽车经营环境,对规范石家庄市网约车、出租汽车运输行业发挥了重要作用。“为进一步规范出租汽车经营行为,建立完善出租汽车驾驶员信用体系,提升出租汽车驾驶员服务水平,石家庄市出台了《石家庄市出租汽车驾驶员服务质量信誉考核细则(试行)》,现已经开始执行。”石家庄市交通运输局相关负责人告诉记者,该《细则》适用于石家庄市行政区域内从事巡游出租汽车、网络预约出租汽车经营活动的驾驶员。
《细则》明确,出租汽车驾驶员服务质量信誉考核等级分为优良、合格、基本合格和不合格,分别用AAA级(20分以上)、AA级(11-19分)、A级(4-10分)和B级(0-3分)表示。出租汽车驾驶员服务质量信誉考核内容包括:遵守法规方面,遵守相关法律、法规、规章等情况;安全生产方面,参加教育培训和发生交通责任事故等情况;经营行为方面,发生交通违法行为、经营违法行为等情况;运营服务方面,维护乘客权益、乘客投诉等情况。
出租汽车驾驶员服务质量信誉考核实行基准分值为20分的计分制,另外加分分值为10分。考核周期为每年的1月1日至12月31日。违反服务质量信誉考核指标的,一次扣分分值分别为:1分、3分、5分、10分、20分五种,扣至0分为止。出租汽车驾驶员有见义勇为、救死扶伤、拾金不昧助人为乐等先进事迹的,出租汽车行政主管部门应给予相应的加分奖励。
《细则》指出,出租汽车驾驶员质量信誉考核得分在11-19分的,由出租汽车行政主管部门责令出租汽车驾驶员接受继续教育不少于6学时;考核得分在6-10分的,接受继续教育不少于12学时;考核得分在1-5分的,接受继续教育不少于18学时。
出租汽车驾驶员有下列情形之一的,交通运输管理部门应当将其列入不良记录名单,并向社会公布:在考核周期内服务质量信誉考核综合得分为0分,且未按照规定参加培训的;连续两个考核周期服务质量信誉考核等级均为B级的;在一个考核周期内累计综合得分有两次以上被计至3分及以下的;无正当理由超过规定时间,未签注服务质量信誉考核等级的;发生其他严重违法行为或服务质量事故的。
(▲上下滑动查看更多内容)
石家庄市交通运输综合行政执法支队相关负责人表示,出租汽车驾驶员服务质量信誉考核情况,将纳入出租汽车客运企业、网约车平台公司服务质量信誉考核内容,不断规范行业管理,提高行业服务水平,为石家庄市建设现代化、国际化美丽省会城市作出贡献。
石家庄公开曝光三起非法营运典型案例
默某某违法经营案
车牌号:冀AZQ458
当事人身份证住址:石家庄市裕华区
违法类型:违规拼客
2月27日10时31分,当事人默某某驾驶冀AZQ458出租车在南焦客运站涉嫌违规拼客,被石家庄市出租汽车市场专项整治行动第四组执法人员现场查获。经询问,车上共有2名乘客,一名去火车站,另外一名去桥西区女子学院。
经调查,当事人默某某属于违规拼客经营,执法人员依法暂扣道路运输证。该案事实清楚,证据充分,石家庄市交通运输局依据《石家庄市出租汽车管理条例》依法给予500元行政处罚,其处罚结果将纳入信用记录,依法进行联合惩戒。
范某某违法经营案
车牌号:冀AZG455
当事人身份证住址:邢台市巨鹿县
违法类型:计价器作弊
3月1日14时21分,石家庄市交通运输局执法人员接到12328投诉电话,一名乘客当日1时26分乘坐冀AZG455出租车从青园街塔南路到裕华路时光街,乘客描述平时打车26元左右,本次打车30.4元,乘客怀疑计价器有问题,故来电投诉。执法人员通知冀AZG455出租车所属出租公司,要求当事驾驶员接受调查。
3月13日13时26分,当事驾驶员范某某到执法支队接受调查。经询问,当事驾驶员范某某陈述当日事发经过并承认其“利用计价器作弊乱收费”的违法事实。该案事实清楚,证据充分,石家庄市交通运输局依据《石家庄市出租汽车管理条例》依法给予1000元行政处罚,其处罚结果将纳入信用记录,依法进行联合惩戒。
崔某某违法经营案
车牌号:冀AZR177
当事人身份证住址:石家庄市无极县
违法类型:计价器作弊
3月2日18时56分,石家庄市交通运输局执法人员接到12328投诉电话,一名乘客当日17时38分乘坐冀AZR177出租车从石家庄火车站到和平路谈固东街,乘客描述平时打车34元左右,本次打车49.8元,乘客怀疑计价器有问题,故来电投诉。执法人员通知冀AZR177所属出租公司,要求当事驾驶员接受调查。
3月8日15点10分,当事驾驶员崔某某到执法支队接受调查。经询问,当事驾驶员崔某某陈述当日事发经过并承认其“利用计价器作弊乱收费”的违法事实。该案事实清楚,证据充分,石家庄市交通运输局依据《石家庄市出租汽车管理条例》依法给予1000元行政处罚,其处罚结果将纳入信用记录,依法进行联合惩戒。
石家庄最新曝光非法营运车辆和驾驶员名单
河北一名6岁女孩被手榴弹炸伤
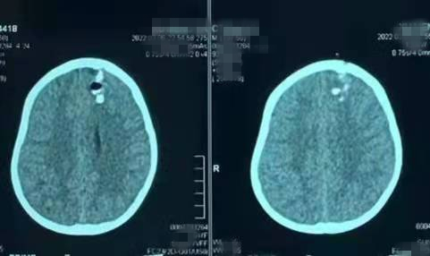
近日,河北一名6岁女孩被手榴弹炸伤,事故发生在保定唐县,爷爷从土坑里挖出一枚据说是抗战时期的手榴弹,懵懂的孩子把它当成玩具把玩,拉响了这枚手榴弹,虽然孩子下意识地扔掉它后试图脱身,但头面部还是被炸飞的弹片击中了。
受伤后,孩子很快昏迷了,还呕吐一次,在当地县医院做了CT,伤后8小时转到河北省儿童医院。
在河北省儿童医院神经外科主任杨志国的带领下,手术团队迅速制定出手术方案。在神经外科与功能科密切合作下,完成一例颅脑火器伤的急救。
在术中B超的引导下,所有创道上嵌入脑组织的骨折碎片都被分辨了出来。术后患儿意识恢复,病情好转。复查CT符合预期。脑内的骨折碎片消失了,根据颅脑火器伤的处理原则,而弹片仍留在松果体区,未取出。如果贸然行事,很可能引发大出血导致患儿死亡。
河北省知名专家、河北省儿童医院神经外科主任杨志国提醒大家,火器伤因高速飞射物导致的颅脑开放伤,要比一般开放性创伤破坏性严重得多,可引起颅内压急剧升高,意识障碍,生命体征紊乱,继而出现原发性休克或脑休克。因飞射物直接破坏脑实质,可导致瘫痪、失语、视野缺失等机能缺损。颅内损伤主要是血肿和脑水肿,后期多为颅内继发感染、脑脓肿、脑积水。
3小时翻遍4万多件快递,20多名快递员连夜为白血病患者找救命药
近日,沧州肃宁某速递转运中心,20多名快递小哥花费3个多小时,在4万件因疫情滞留而堆积如山的快递中,将一名白血病患者急需的救命药翻找了出来。
住建部出手!你的住房,或有这些大变化
近日,住房和城乡建设部就《住宅项目规范》(征求意见稿)向社会公开征求意见。对于新建住宅建筑电梯设置,征求意见稿要求,入户层为二层及二层以上的住宅建筑,每单元应至少设置1台电梯,且轿厢深度不应小于1.40米,宽度不应小于1.10米,呼叫按钮的中心距地面高度应为0.85米至1.10米。
图源:摄图网
征求意见稿提出,对于公共楼梯的设置,楼梯扶手高度不应小于0.90米;楼梯井净宽大于0.11米时,必须采取防止坠落和儿童攀登的措施。对于配套设施,住宅项目应配套建设机动车停车场所;配套车位数量应根据当地机动化发展水平、住宅项目所处的区位、用地及公共交通条件综合确定,并应符合下列规定:应配置新能源汽车充电设施或预留安装条件;应设无障碍停车位。
在场地方面,征求意见稿要求,集中绿地宽度不应小于8米;集中绿地中,在标准的建筑日照阴影线范围之外的绿地面积不应少于三分之一,并应设老年人和儿童活动场地。此外,住宅建筑应配建附属道路,应与住宅单元出入口、老年人和儿童活动场地无障碍联通,并应与城市或镇区道路的人行道联通形成无障碍步行系统。
图源:摄图网
征求意见稿还要求,卫生间不应直接布置在其他住户的卧室、起居室、厨房和餐厅的上层。卫生间地面应采用防滑铺装,地面静摩擦系数(COF)不应小于0.6。厨房、卫生间、封闭阳台与相邻空间地面的高差不应大于0.015米,并应以斜坡过渡。
紧急召回
天津一汽丰田汽车有限公司、广汽丰田汽车有限公司召回部分奕泽及C-HR汽车
日前,天津一汽丰田汽车有限公司、广汽丰田汽车有限公司根据《缺陷汽车产品召回管理条例》和《缺陷汽车产品召回管理条例实施办法》的要求,向国家市场监督管理总局备案了召回计划,自2022年3月21日起召回以下车辆。
一、天津一汽丰田汽车有限公司
召回2020年4月30日至2021年8月19日期间生产的部分奕泽汽车,共计13999辆。
二、广汽丰田汽车有限公司
召回2020年4月29日至2021年7月30日期间生产的部分C-HR汽车,共计9503辆。
本次召回范围内的部分车辆由于毫米波雷达传感器可能存在光轴调整设置未成功的情况,在车辆使用过程中无法识别前方车辆,导致动态雷达巡航控制系统(DRCC)、车道循迹辅助系统(LTA)及预碰撞安全系统(PCS)部分功能不能正常工作,增加发生碰撞事故的风险,存在安全隐患。
天津一汽丰田汽车有限公司、广汽丰田汽车有限公司将为召回范围内的车辆免费检查毫米波雷达传感器光轴调整状态,如果检测到设置未成功的情况,则重新对车辆进行光轴调整设置,以消除安全隐患。
应急处置措施:召回维修前,建议用户暂停使用动态雷达巡航控制系统(DRCC)、车道循迹辅助系统(LTA)及预碰撞安全系统(PCS),并在召回活动开始后及时入店进行检查维修。
天津一汽丰田汽车有限公司、广汽丰田汽车有限公司将通过挂号信等形式,通知有关用户此次召回事宜。一汽丰田、广汽丰田的经销商会主动与召回范围内车辆的用户取得联系,预约安排车辆免费检查及维修等事宜。天津一汽丰田汽车用户可致电一汽丰田顾客服务中心800-810-1210(座机)、400-810-1210(手机);广汽丰田汽车用户可致电广汽丰田顾客服务中心800-830-8888(座机)、400-830-8888(手机),获取此次召回的相关信息。此外,也可登录网站dpac.samr.gov.cn、www.recall.org.cn,关注微信公众号(SAMRDPAC),了解更多信息,反映缺陷线索。
消费者可拨打国家市场监督管理总局缺陷产品管理中心热线电话:010-59799616反映召回活动实施过程中的问题或提交缺陷线索。
送外卖的“花木兰”,火了!
送外卖的她
没有身着披风
却像极了侠客
近日
浙江宁波鄞州
“90后”外卖女骑手沈知音
在送餐途中
遇到一名女子遭人抢包
受害女子突然冲到她面前
带着哭腔慌忙地拦住了她
“姐姐帮帮我,有人抢劫!”
沈知音想也没想
立马掉头追了上去
沈知音载着女生追嫌疑人
很快
沈知音追上了抢包男子
男子慌张地将包里的东西扔了一地
一边嚷嚷,一边快跑
“东西我都丢在这里了,别追了!”
可他没想到
这位外卖骑手会如此较真
为了让他受到法律的制裁
沈知音载着受害人继续追赶着
嫌疑人进入小道后加速奔跑
接下来沈知音的做法
堪称“教科书级别”
沈知音一边追
一边打电话报警
既不让嫌疑人脱离视线
也始终保持一定的安全距离
与此同时
警方第一时间调取
案发路段公共视频
并沿男子逃跑方向进行搜捕
抢包男子被她“拖”得跑不动了
慌不择路地冲进小弄堂里想藏起来
哪曾想
沈知音对这片熟得不得了
她立马就招呼到了“外援”——
两名勇敢的外卖小哥和热心群众
“堵”住了对方的逃跑之路
民警随后赶来把嫌疑人带走
追回了被抢的物品
骑手沈知音
目前
鄞州公安分局
已为沈知音申报
见义勇为先进个人荣誉称号
网友评论:
心怀正义,临危不惧
沈知音,好样的
今天的早新闻就到这里啦
记得转发+点赞+在看哦
来源:河北青年报综合自河北天气、石家庄发布、平安三河、清河警方、河北日报、@邯郸公安网络发言人、石家庄日报、无线石家庄、青豆新闻、新华网、国家市场监管总局官网、新华社、钱江晚报、鄞州公安、人民日报、网友评论等
编辑:樊一帆
校对:赵润泽
责编:贾阳阳
监制:寇拴民
更多热文
分享、点赞与在看都在这儿
点下给小编加鸡腿
上一篇:不要让车辆的底盘受损,这几种伤车的情况可一定要避免
下一篇:为什么不少人选择去天津港买车?便宜是真的,坑也可能是真的
最近更新汽车资讯
- 哲学沙龙
- 高原痛风临床研究
- 快播插件(SPSS无法启动因为应用程序的并行配置不正确)
- 教育部2021年工作要点:加强普通高校毕业生就业工作
- 【陪你母乳喂养】 哎哟喂,没生孩子也能泌乳?
- 重组家庭没有血缘关系的兄妹可以结婚吗
- 非现役人员生活待遇经费保障与管理探析
- 《发展心理学·从生命早期到青春期》基础理论读书笔记--结合教育动画的相关研究
- 2023届河南省郑州市(二模)高中毕业第二次质量预测语文试题及答案.docx
- 《那片星空那片海》全集剧情简介 分集剧情介绍
- 给6-15岁男孩女孩的精选主题书单(分性别,暑假必备)
- 优秀家长家庭教育经验分享5篇
- 郭洪雷:汪曾祺小说“衰年变法”考论
- 章子怡汪峰吵架原因 章子怡与汪峰吵架事件详情
- 情感故事:不回家的女人
- 道德伪善的教育学思考
- 2018级高职医学影像技术专业人才培养方案
- 以国家之名的罪恶——评德国影片《窃听风暴》
- 影视传播范文10篇
- 九天揽月一一敢峰证明四色定理之谜
- 挪威流产或人工流产后妊娠的妊娠间隔和不良妊娠结局(2008-2016 年):一项
- 好看的美剧排行榜(12部高分高质美剧推给你)
- 解放思想大讨论心得体会
- 长谈 | 内蒙古电影新浪潮:现实的结构与质感
- 美国《国家性教育标准》及其启示(下)