
【典型病例】原发性甲状腺癌热消融治疗后再手术2例分析
2017-04-19 中国抗癌协会甲状腺癌专业委员会
近年来,随着微创技术的发展,超声引导下热消融技术如经皮射频消融术(radiofrequency ablation,RFA)、经皮微波消融术(microwave ablation,MWA)及经皮激光消融术(laser ablation,LA)等逐渐应用于甲状腺结节疾病的治疗。韩国甲状腺放射学会(Korean Society of Thyroid Radiology,KSThR)执行委员会专家共识(2012 年)以及意大利甲状腺结节射频消融治疗共识中均反对将此项技术用于可手术的原发性甲状腺癌。目前,相关的临床研究报道很少,本文分析复旦大学附属肿瘤医院头颈外科2015 年10-11 月收治的2 例经超声引导下经皮热消融技术治疗的原发性甲状腺癌病例并复习相关文献,总结经验,为临床医生提供参考。吉林大学第一医院甲状腺外科王培松1资料与方法
1.1 一般资料
例1.病人男性,36 岁。因“双侧甲状腺癌RFA 后1 周”入院。病人于3 周前体检发现双侧甲状腺结节,无其他不适。1 周前超声检查提示右侧甲状腺上极结节,最大径为0.7 cm,左侧甲状腺近峡部结节,最大径为0.6 cm,气管旁见肿大淋巴结。于外院局麻行超声引导下细针穿刺活检,送检后立即行超声引导下经皮双侧甲状腺结节RFA:射频针35 W 消融左侧叶近峡部结节共50 s,射频针35 W 消融右侧结节共46 s。术毕行彩色多普勒血流显像(CDFI)检查,瘤体无明显血流信号。消融术后1 周行穿刺细胞病理学检查提示双侧可疑甲状腺乳头状癌(papillary thyroid cancer,PTC)。病人至本院要求行手术治疗。查体:颈部未触及明显结节,余未见异常。超声检查示:双侧甲状腺RFA 后改变,双侧气管旁及右颈Ⅲ区可见可疑肿大淋巴结。甲状腺功能正常。CT 检查示,右侧甲状腺上极与左侧甲状腺近峡部低密度影。
例2.病人女性,53 岁。因“右侧甲状腺髓样癌(medullary thyroid cancer,MTC)MWA 后1 个月”入院。病人1 个月前于外院行右侧甲状腺结节细针穿刺活检,未获取细胞病理学检查结果,立即局麻行超声引导下经皮右侧甲状腺结节MWA 治疗(具体使用机器、操作方式、时间及剂量未知)。消融术后穿刺细胞病理学检查示右侧MTC 可能。病人至本院要求行手术治疗。查体:右甲状腺中部结节,约2.0 cm×1.0 cm,其余无不适。甲状腺功能正常;癌胚抗原(CEA)为11.5 μg/L(参考值:0~5.2 μg/L),降钙素为3413.8 ng/L(参考值:0~50.0 ng/L)。超声检查示:右甲状腺中部探及低回声,约1.9 cm×1.4 cm×1.7 cm,形态欠规则,边缘毛糙,内部回声不均匀,内部见颗粒状强回声,右侧颈部Ⅳ、Ⅵ区实质结节。颈部CT 检查示,右侧甲状腺见1 枚低密度结节;右侧甲状腺下方及右侧锁骨区见多发肿大淋巴结,明显强化,较大者短径约1.2 cm。口咽、喉咽未见异常。发射型计算机断层成像(ECT)检查示:甲状腺右叶低密度结节(1.8 cm×1.7 cm)放射性摄取异常增高;左叶生理性放射性摄取略增高;甲状腺下方水平右侧气管旁淋巴结肿大,放射性摄取异常增高,双侧锁骨区未见明显肿大淋巴结;所见肺野未见明显放射性异常摄取灶。
1.2 手术方法
均于全麻下行全甲状腺切除术+右侧Ⅱ、Ⅲ、Ⅳ、Ⅴ、Ⅵ区和左侧Ⅵ区淋巴结清扫。
2结果
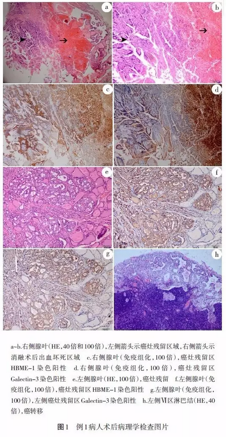
例1 病人消融术后1 周于全麻下行手术治疗,手术操作过程无特殊,术中见右侧腺叶上极1.0 cm 肿块,质地硬,病灶与周围组织粘连,肿块表面带状肌、肩胛舌骨肌表现为烧灼后泛白变性,左侧甲状腺近峡部1.1 cm 质中肿块,表面带状肌泛白变性。术中切除双侧腺叶,切面可见肿块中穿刺针痕迹及烧灼后变性表现,无法辨认原发甲状腺结节。冰冻病理学检查示,右侧腺叶部分区域组织变性、坏死,周围甲状腺滤泡上皮破坏,伴多核巨细胞反应,左侧腺叶微小乳头状癌(PTMC),最大径为0.18 cm,周围见组织变性、坏死,术后无并发症发生,3 d 后顺利出院。术后病理学检查示,右侧甲状腺部分区域见组织变性、坏死、出血,约0.5 cm×0.3 cm(图1a~b),周围可见成片甲状腺滤泡上皮异型增生,约0.5 cm×0.2 cm(图1a~b),结合免疫组化检查结果(图1c~d),符合PTC;左侧PTC,约0.2 cm×0.2 cm(图1e~g),周围见变性坏死,无腺外侵犯,左侧颈部Ⅵ区淋巴结可见PTC 转移(1/6,图1h),右侧颈部Ⅱ-Ⅵ区淋巴结未见癌转移(0/12)。
例2 病人消融术后1 个月于全麻下行手术治疗,手术操作过程无特殊,术中可见右侧甲状腺中部偏上极2 cm 质硬肿块,右侧Ⅲ、Ⅳ、Ⅵ区多发肿大淋巴结,其中最大直径为1 cm,伴淋巴结外侵犯,术中切除腺叶,肉眼可见右侧甲状腺中部偏上极2 cm 肿块内有穿刺针痕迹,烧灼变性范围<肿瘤直径,限于肿瘤内。冰冻病理学检查示,右侧甲状腺癌,MTC 待排除,左侧腺叶结节性甲状腺肿。术后未发生并发症,3 d 后顺利出院。术后病理学检查示:右侧MTC(图2b~c),最大直径为1.8 cm,可见局部癌灶区域热损伤后改变(图2a~b),右颈部Ⅵ区淋巴结见癌转移(2/2,图2d),右颈部Ⅱ~Ⅴ区淋巴结见癌转移(5/13);左侧甲状腺结节性甲状腺肿,左颈部Ⅵ区未见淋巴结癌转移(0/2)。
3讨论
由于热消融技术可以有效地减少甲状腺结节体积、缓解结节相关症状并避免手术创伤,国际上多家临床中心将其应用于良性实性结节的治疗,尤其是在韩国和意大利。然而,2012 年KSThR 专家共识认为,RFA 可用于良性甲状腺结节以及不可手术的复发性甲状腺癌的治疗,但不推荐用于甲状腺滤泡型肿瘤(follicular neoplasm,FN)或原发性甲状腺癌。意大利甲状腺结节RFA 治疗共识中,对于符合一定适应证的良性甲状腺结节以及手术禁忌且131I治疗无效的复发性甲状腺癌可推荐采用射频消融治疗,但FN或原发性甲状腺癌不是RFA治疗的适应证。
目前,我国对甲状腺结节的热消融治疗缺乏统一规范的意见。在未有循证医学证据前,热消融技术可能已被过快、过多地应用于原发性甲状腺癌的治疗。依据现有的研究报道,笔者认为热消融技术用于原发性甲状腺癌尚未成熟,须考虑以下问题。局部消融治疗最早多数是作为姑息性治疗手段用于不能手术及复发恶性肿瘤的治疗,即使在目前也主要用于严格控制指征下部分原发性肝癌及不能手术的原发性肾癌。不同的器官特性及其与周围组织关系决定了此技术的应用不能完全复制到甲状腺癌的治疗中。以目前研究较多的原发性肝癌为例,RFA 能量范围须覆盖整个肿瘤边缘甚至建立一个5~10 mm 的安全边缘,对于周围组织器官、大血管关系密切的病灶也须限制适应证或采用特殊隔离措施。而甲状腺的体积与肝、肾相差巨大,周边气管、喉返神经、动脉、甲状旁腺等重要组织器官严重制约了该安全边缘的建立,对于原发灶靠近这些组织器官的结节,该问题将更突出,如继续执行上述安全边缘操作原则可能导致手术并发症发生率明显增高。其次,PTC 具有多灶性特点,一方面多灶性增加了残留可能;另一方面,在处理多灶性结节时反复消融操作更容易造成并发症发生增多。为减少消融并发症发生,理智的选择是降低单次功率及控制安全边缘。该原则适用于以缩小体积为目的的良性甲状腺结节治疗,但从甲状腺癌根治角度,该操作不可避免地会增加肿瘤残留的风险。本文报道的2 例病人即为消融治疗不完全导致病灶残留。
回顾已发表的热消融技术治疗甲状腺癌相关文献,检索到具有完整记录的文献共7 篇,结合本文病例,共40例43 个病灶行消融治疗,其中1 例穿刺细胞病理学检查结果为FN,6 例穿刺病理学检查结果为滤泡性病变或FN(Bethesda Ⅲ级或Ⅳ级),1 例为MTC,其余32 例为PTC。消融治疗后因病人自行要求或观察期间肿瘤复发、进展继而行手术治疗者共12 例(13 个病灶),均获得组织病理学检查结果。消融治疗后有9 个病灶发生肿瘤残留,其中FN、滤泡性甲状腺癌(follicular thyroid cancer,FTC)、MTC 各1个,其余均为PTC,接受手术者肿瘤残留发生率为69.2%(9/13);30 个未手术病灶在报道的观察期内未出现复发或进展征象,总的肿瘤残留发生率为20.9%(9/43)。肿瘤直径>1 cm 的病灶残留率为55.6%(5/9),而肿瘤直径≤1 cm 的病灶残留率为11.8%(4/34)。可见,肿瘤病灶越大消融越不完全,而微小病灶也可能由于热消融范围、剂量及时间不够导致残留。此外,部分文献对于PTC 的RFA 安全性进行了报道,但文献所列随访病例无伦理学声明,且随访时间仅为3~18 个月,尚不足以判断甲状腺癌是否发生复发或转移。
有研究报道,可通过超声检查发现可疑转移淋巴结并经穿刺病理学检查证实后进行治疗性处理。对此,笔者认为,热消融术在甲状腺癌颈部转移淋巴结治疗上存在严重缺陷。首先,PTC 常见的转移部位为颈部Ⅵ区,其淋巴结分布为喉前、气管前以及气管食管沟,由于气管食管沟位置隐蔽且周围分布喉返神经、血管、气管及食管等重要组织器官,热消融处理此处的淋巴结难度大并可能导致上述组织器官损伤。其次,超声和颈部CT 检查对颈部转移淋巴结的敏感度很低,分别为51.0%和62.0%,而PTC 临床阴性颈部淋巴结转移(clinically negative node,cN0)发生率为11.7%~63.8%,即使是cN0 的PTMC 颈部淋巴结转移发生率亦达25.9%~38.1%,如果这部分病人选择热消融治疗则转移淋巴结很容易发生残留。第三,根据颈部淋巴结分布和引流特点,对颈部转移淋巴结的处理,外科治疗强调区域性淋巴结清扫,即使是鼻咽癌等对放射治疗敏感的头颈部肿瘤也须注重照射野覆盖淋巴结分布和引流区域,而消融技术仅做到了选择性地消除部分转移淋巴结。综合分析本文2 例病例及既往文献报道病例发现,热消融治疗后再手术的12 例病人中有5 例发生颈部淋巴结转移,2例未发生淋巴结转移,其余5 例未提及是否发生淋巴结转移,转移灶遗留发生率高达41.7%(5/12)。
2015 年,美国甲状腺协会(American Thyroid Association,ATA)发布的成人甲状腺结节和分化型甲状腺癌治疗指南指出,FN 或可疑FN 在没有进行分子检测或分子检测也无法判断良恶性时推荐手术切除来确定诊断。这主要是由于细针穿刺细胞病理学检查结果为FN 者恶性率高达15%~30%。热消融技术不适用于该类肿瘤的处理。Dobrinja 等认为RFA 不应作为穿刺病理学检查结果为滤泡性病变或FN(Bethesda Ⅲ级或Ⅳ级)病人的一线治疗方法。该研究中6 例RFA 治疗的滤泡性病变或FN 病人在观察随访期间2 例由于病灶增大进行手术,均被证实为恶性,故认为RFA 不仅没有消除病灶反而延误了病人的手术治疗。Lee 等报道了1 例FN,经RFA 治疗两次,随访2 年后原病灶复发,颈阔肌出现新发肿块,手术切除后复发病灶和颈阔肌肿块均被证实为PTC。肝癌的RFA 治疗研究显示,不完全的RFA 可加快残存肿瘤细胞的演进而导致肿瘤再生长。Park 等报道,不可手术的复发性甲状腺癌病人在RFA 治疗后出现了肿瘤再生长。RFA 是否可能促进FN 转化或者不完全的RFA 治疗是否会导致残留癌细胞加快演进须进一步研究来证实。
综上所述,热消融技术治疗原发性甲状腺肿瘤发生癌灶和淋巴结转移灶遗留风险较高,尚不能作为可手术原发性甲状腺癌或FN 的常规治疗手段,即使对其潜在应用价值研究也需要更多的符合伦理的临床、基础实验研究支持。
文后评论
目前,关于射频消融技术在甲状腺肿瘤(包括良性肿瘤和恶性肿瘤)治疗中应用的争议不断。临床工作中经常可以遇到甲状腺肿瘤经过射频消融治疗后仍须行外科手术治疗的病例。良性肿瘤特别是体积较大的结节性甲状腺肿经过多次射频消融治疗后再次复发,压迫气管而必须行外科手术治疗,但术中甲状腺组织经过多次射频消融治疗后与周围组织粘连致密,难以分离,出血较多,最终只能行姑息切除以缓解气道压迫症状。恶性肿瘤经过射频消融治疗后局部复发或出现淋巴结转移须行外科手术治疗时,甲状腺与周围组织粘连紧密,这无形中增加了手术难度,也增加了血管损伤特别是喉返神经和甲状旁腺损伤的风险。
射频消融技术在肝脏等实质性器官肿瘤治疗中确实取得了较好的疗效,但肝脏等实质性器官体积远远大于甲状腺,而且甲状腺周围紧邻重要组织结构较多,如气管、食管、血管、神经及甲状旁腺,射频消融范围过大则极易造成周围组织的副损伤。因此,严格掌握甲状腺肿瘤的射频消融适应证极为重要。本文病例的射频消融适应证选择存在问题。两例病人在甲状腺穿刺病理学检查未出结果前即行射频消融治疗,而病理学检查结果分别提示为甲状腺乳头状癌和髓样癌,且术前检查已经提示怀疑有颈部淋巴结转移,推荐治疗方式应为甲状腺全切除术+侧颈区淋巴结清扫,并根据病理学检查结果决定是否行131I 治疗。因此,均不应行射频消融治疗。
射频消融技术治疗甲状腺肿瘤虽然可以做到微创,但仍有若干问题亟待解决:
(1)目前尚无射频消融治疗甲状腺肿瘤的循证医学证据,虽然国内已有多家大型医疗机构正在进行这方面的实验研究,但尚未得出结论。
(2)尚未发布甲状腺肿瘤射频消融治疗指南,临床适应证把握比较混乱。
(3)2012 年我国发布的《甲状腺结节和分化型甲状腺癌诊治指南》中明确指出射频消融等治疗不能应用于可行手术治疗的甲状腺肿瘤病人,尤其是甲状腺癌病人。临床工作中容易面临伦理等法律问题。
(4)甲状腺肿瘤射频消融术后接受外科手术治疗肿瘤局部处理困难是临床医生不能忽视的问题。
总之,射频消融技术治疗甲状腺肿瘤虽然可能做到微创,但临床应用缺乏有力的循证医学证据支持,且在出现副损伤时临床医生容易面临法律问题,应谨慎开展或待临床实验数据报道后再开展。
——中国人民解放军总医院普通外科 田文
目前,在热消融技术治疗甲状腺良性结节的适应证尚存争议的情况下,部分医院过于轻率地将其用于甲状腺癌的治疗,甚至在尚未明确诊断的情况下即行消融治疗,这种盲目扩大热消融治疗适应证的做法亟须规范。笔者团队即曾报道过5 例甲状腺乳头状癌射频消融治疗后再手术的病例,呼吁规范甲状腺癌消融治疗的适应证。本文作者通过分析病例并复习相关文献,认为热消融技术尚不能作为可手术的原发性甲状腺癌初始治疗的常规手段,态度明确,代表了目前甲状腺外科医生的主流观点。
热消融治疗前明确甲状腺结节性质至关重要。韩国、意大利及美国发布的专家共识或指南中均对此进行了详细说明和规定。然而,本文所报道的病例在行细针穿刺送检尚未取得细胞学诊断结果的情况下即行消融治疗,违背了治疗的基本原则,违背了对生命认真负责的基本态度,值得警醒。2012 年,我国发布的《甲状腺结节及分化型甲状腺癌诊治指南》中明确指出,分化型甲状腺癌手术方案应遵循“两个至少”的原则,即:至少行患侧腺叶+峡部切除;至少行患侧中央区淋巴结清扫。尽管有文献报道热消融治疗对转移淋巴结有效,但也仅能做到选择性消融部分转移淋巴结,不能达到区域性淋巴结清扫的目的。另外,由于甲状腺及区域淋巴结与周围重要组织结构关系密切,消融治疗的副损伤问题也十分突出。一些医院通过牺牲消融范围来换取治疗安全,这样则无法达到甲状腺癌根治的目的。
目前,国内不同医院甲状腺超声和细针穿刺检查水平参差不齐,对热消融技术的适应证把握不严格,缺乏该治疗方式与手术及其他治疗方案对比的大样本循证医学证据,而现有文献报道的消融治疗后随访时间尚不足以判断甲状腺癌的预后情况。因此,现阶段反对将热消融技术用于甲状腺癌的初始治疗。
——中国医科大学附属第一医院甲状腺外科 张浩
作者:马奔,王宇,嵇庆海,赵志泓,陈彤箴,常彬,卢忠武,杨舒,周力,吴毅
来源:中国实用外科杂志 2016 Vol.36(8) : 875-879
上一篇:员工入职培训情况的个人心得体会范文3篇(新员工入职培训心得体会范文大全1000)
下一篇:孝顺是天生的:人人都有孝心
最近更新游戏资讯
- 秋瓷炫老公什么星座(秋瓷炫血型星座)
- 法国电影中的女性符号和觉醒
- 惊人的秘密:颜色政治背后的渗透与分化
- 让BB接受家庭伦理教育洗礼
- 语言礼仪十篇
- 美军欲打造AI战机部队 面临严重伦理问题
- 医学伦理学:医学伦理学的主要观点和基本理论
- 豆瓣9.0分以上|50本好书推荐
- 达尔文的故事赏析八篇
- 港台国学类学术会议信息(四十)
- 东野圭吾本格推理极致之作《回廊亭杀人事件》开票5折抢
- 辩论赛包含哪些技巧?
- 【铸牢中华民族共同体意识
- 徽州醉春丨水墨画里的徽州-婺源篁岭-江岭- 新安江- 西递- 呈坎丨六天五夜
- 心理治疗总论 【医学心理学与精神医学版】
- 苏德超教授的新论文:道德绑架为何难以避免
- 企业社会责任综述十篇
- 政务礼仪的作用(五篇)
- 韩素希出道最大尺度 泄朴海俊指导秘诀 咬牙拍完《夫妇》只有2感想
- 《封神三部曲》:为什么要重述这个神话?
- 输血和喝血真的能帮助女性和老人保持年轻吗?
- 集齐九部《星球大战》,教你如何把家庭伦理拍成太空歌剧
- 这十部顶级英美剧,是当之无愧的业界巅峰,每一部都值得通宵去看
- 邪王宠妻之金牌医妃
- 【博览】《科奖在线》:“破四唯、立新标”典型案例官宣,项目/人才/成果未来可能这