手机访问:wap.265xx.com通讯:腹腔镜修复腹壁疝 - “我是怎么做的” - 一个看似简单明了的技巧简介
概要
腹壁疝修补术通常在全科手术中进行。关于最佳手术方法仍未达成一致意见。自二十一世纪初以来,微创技术越来越受欢迎,因为它们结合了有限的腹壁解剖,减少术后疼痛和并发症风险以及缩短住院时间的优点。尽管使用复杂的腹腔镜器械所增加的成本可能相当大,但是通过提高的发病率,更快的出院时间和恢复工作的时间来精确抵消。腹腔镜腹壁疝修补术通常具有挑战性,因为它需要良好的解剖学知识,眼手协调和多样化的腹腔镜技术。本文的目的不是提供另一组个人数据,并将其与已发布的关于此问题的结果进行比较,而只是提供有关这种相对较新技术的实际方面的综合指南。其中一些步骤已经讨论过,但大部分时间都是在手术文献中以分散的方式进行,而其他步骤则是多年来掌握的个人专业知识的成果。
正文
腹主动脉腹壁和切口疝的网状修复是普通外科医生在世界范围内进行的常见手术。基于网格的技术的使用已经彻底改变了作者的实践,因为它显著降低了不可接受的长期复发率,之前据报道,通过简单的初级开放手术修复无网状[1,2],高达60%。除了普遍接受使用修复材料进行良好的疝气修复是必不可少的,因此很难找到就治疗特定腹壁缺损的最佳手术方法达成一致的国际共识。这部分是由于新修复材料的不断开发和发布,现有技术的改进以及创新外科技术的描述。自二十一世纪以来,微创腹腔镜治疗方法越来越受欢迎,并且可能成为宽度小于10厘米的疝气缺损的首选方法[3]。与传统的开放式修复方法相比,这种技术的优点是术后疼痛和伤口并发症发生率降低,恢复更快,恢复正常的身体活动,同时识别和修复任何相关的亚临床(隐匿性)疝缺损的可能性[4],包括缺陷,以及改善的美容。与用于修复腹股沟疝的腹腔镜技术不同,需要缓慢且通常费力的学习曲线才能完全熟悉腹股沟的解剖[5,6],这种方法用于腹侧或切口疝修复相对简单且更由于操作者不受限制的手术空间的限制而且整体手术视野通常更好,所以直接获得。已经说过,熟悉解剖学标志仍然非常重要,要掌握良好的眼手协调能力和适当的微创手术技巧,以尽量减少发生小肠损伤等重大并发症的潜在风险,或增加疝气复发率。腹腔镜修复腹侧和切口疝(LRVIH)的概念受到Rives-Stoppa倡导的开放式无后坐张力无网格修复(sublay)技术的启发,其中假体固定在肌肉和肌肉之间。通过固定缝线和腹内压力使其后鞘[7,8]。然而,由于其简单性和需要更少广泛的横向解剖的事实,腹腔镜修复在网状物优选直接固定在腹腔中的意义上显著不同,如所谓的腹膜内覆盖网状物(IPOM)技术,首先描述由LeBlanc和Booth于1993年[9]。换句话说,采用IPOM方法,可以容易地将相当大尺寸的假体网插入并固定到后腹壁,从而提供缺损的较大重叠和较大的网与疝的比例,从而进一步改善长期临床结果(低复发率) )[10]。相比之下,开放式衬垫或子衬垫技术都需要抬高大皮下皮瓣或在双侧直肌后面形成相当大的空间以展开类似的大尺寸网状物,从而导致显著更高的发病率。除了相对较高的成本之外,与标准开放式方法相比,腹腔镜技术的其他缺点是内脏损伤的潜在风险,并且如果筋膜缺损已经留下,则无法恢复完全工程化的腹壁的解剖学和生理学。在将网状物固定到其边缘之前打开[11,12]。腹壁疝气病通常是一个复杂的问题,治疗方案很多,尤其是随着新假体材料或定位装置的不断发展。因此,根据“证据最佳药物”研究和总结最佳治疗选择的“还原论”科学方法是不可行的,超出了本文的范围。因此,“我如何做”这篇论文的目的是为那些有兴趣学习和/或改善其技术以使患者受益的人提供有关LRVIH实践方面的经验丰富的外科意见。事实上,成功进行腹腔镜修复的关键在于重复相同的动作,这些动作遵循非常详细的“逐步”方案。这里的一些基本规则已经在外科文献中以各种形式进行了讨论,而其他规则则是多年来掌握的个人专业知识的成果。我将首先和主要讨论IPOM修复,这是最广泛使用和更简单的技术。我还将讨论另一种方法,这是作者首选腹壁疝修补术的首选方法,即腹股沟疝修补术中更常用的经腹腹膜前(TAPP)技术,以及关于Spigelian全腹膜外(TEP)方法的简要介绍疝气。我不打算谈论腹腔镜造口旁疝修补术,这是一种比标准LRVIH更复杂的手术,应该只由专业的腹腔镜疝气外科医生尝试。作者当地的Bankstown-Lidcombe医院伦理委员会已经批准准备这份手稿。
手术技术
腹腔镜修复腹壁疝的适应症与开腹手术和该方法的绝对禁忌症基本相同,但非常罕见,包括严重心血管,肺和肝功能损害,腹腔内败血症,儿童和怀孕的患者。具体的禁忌症是存在绞窄性疝,或由于密集粘连而无法安全进入腹腔内的患者。相对禁忌症包括不可还原(嵌顿),大尺寸(直径> 10 cm)和域疝的丧失。这当然取决于外科医生的技能。对于抗血小板药物和抗凝剂(如阿司匹林,氯吡格雷或华法林)的患者,术前特定措施至关重要。如果已将阿司匹林作为二级预防治疗处方,则在手术前将停用一周。否则,作为一级预防措施,阿司匹林将不会停止,患者将被警告术后出血的风险较高。如果在先前的冠状动脉支架术后进行双重抗血小板治疗,氯吡格雷将在手术前10天优先停用,除非心脏科医生另有指示,否则维持阿司匹林。最后,对于服用华法林的患者,将根据抗凝指征并与其专科心脏病专家和/或血液学家合作调整决定。抗凝治疗是否只能暂停数小时或几天,优选仍然是腹腔镜IPOM方法,因为与传统的开放式技术相比,手术腹壁切除的水平仍将是最小的。在术中,使用剪毛器对患者进行剃毛以避免皮肤微创伤,这可能会增加感染风险[13]。他/她还被要求在手术前清空他/她的膀胱,以避免尿液导尿和导管相关UTI的潜在风险。作为优选,如果手术可能持续超过两小时,如果男性患者患有前列腺炎,或者如果疝气缺损是耻骨上的,则仅使用留置导管(IDC)。优选使用单次术前低分子量肝素(依诺肝素20mg)和预防性第一代头孢菌素(头孢菌素1gr)注射。该过程在全身麻醉和肌肉松弛下进行。在整个手术过程中使用顺序小腿压缩机。将患者置于仰卧姿势,双臂夹在他的身边。如果认为有必要,插入口胃管以使胃减压,并在手术结束时将其取出。外科医生和摄像机支架位于与TV监视器相对的一侧,该位置将根据腹壁缺损的位置和可疑的下面的粘连的存在而变化。由于大多数腹侧/切口疝出现在穿过白线的中线水平,外科医生和他的助手应该优先站在患者的左侧。实际上,降结肠比升结肠更窄,更背侧;因此,优选的是将工作端口从腹部的左侧定位,因为它代表最侧向的插入部位,意味着远离疝气缺陷。
腹腔镜腹膜内覆盖网(IPOM)技术
用betadine进行皮肤消毒后,使用抗菌3M™Steri-Drape(Ioban™2,North
Ryde,NSW,Australia)进行无菌帷帘和腹腔覆盖,使用插入左上象限的Veress针创建气腹。
在帕尔默的位置,它位于锁骨中线肋缘下方约3厘米处。 这是使用这种方法最安全的进入点图1a,b).b)。 然后将单次使用的无刀片12
mm光学套管针插入左腋前线的水平,在髂嵴和肋缘之间的中间,随后在直视下引入两个钝的5 mm工作端口,或者在每侧
12毫米端口横向或同一侧(图1c,d)。 在气体充入CO2的情况下,气腹保持在12 mm Hg的最大压力,使用10 mm
30°望远镜直至手术完成。图1a)在Palmer位于左肋缘下方的位置插入Veress针; b)12mmHg气腹; c)左前腋线水平的第一个光学套管针; d)直视下插入5mm工作端口在对腹腔进行全面检查之后,该程序的第一步是对腹壁和下面的内脏之间的所有粘连进行仔细和细致的分割,如果不接触,可能会干扰疝气修复。换句话说,释放整个腹壁区域,随后将固定网状物。这还包括解剖在疝囊内形成的粘连,以便完全减少其含量,主要由大网膜组成,但在某些情况下也包括小肠和/或横结肠环(图2a,b)。
b)。粘连松解术的最佳技术是用剪刀进行冷却和锋利的双手解剖,只使用超声刀等能量源作为次要选择,从而最大限度地减少小肠损伤的潜在风险,有时甚至是毁灭性风险。当修复用于复发性腹侧疝修复时,这甚至更重要,因为假体网和下面的内脏之间仍然可以形成致密的粘连(图2c,d).d)。如果缺损向上腹部向头上方延伸,那么肝脏的韧带和镰状韧带的一部分也需要从腹壁切开(图3)。这样,可以获得所有识别的缺陷边缘周围的最佳疝边缘。这个距离在每个方向上应至少为3厘米,但最好通常建议达到5厘米以进行最佳修复[14]。网状物重叠的程度将根据弱点的大小而变化,但是如果疝气缺陷主要是闭合的,则它将显著改变假体与腹壁接触的整个表面区域。因此,最好谈论网格到缺陷率而不是重叠[15]。比率越高,复发风险越小。当缺陷打开时,我建议该比率至少>
1。
图2a)腹膜疝中大网膜的嵌顿部分; b)减少疝囊内容物; c)小肠和腹壁之间的密集粘连; d)假体材料和下面的内脏之间的清晰解剖
图3a)腹腔镜观察减少上腹疝(FL:镰状韧带); b)逐步解剖FL; c)完成FL操作(尺寸箭头4cm); d)FL覆盖网格的头部传统的IPOM技术对应于“桥接”修复,其中腹壁缺陷保持开放(无张力)并被网状物覆盖。在这种情况下,术后血肿形成将不可避免地发生,并且在疝修复部位处残留的腹部凸起,这不是美容上有益​​的并且可以被患者视为疝复发。另一个重要的缺点是没有尝试恢复白线的完整性,这对于实现腹壁的适当解剖学和生理功能是必要的。这就是为什么每当可以实现而不会产生太大的张力时,我建议在执行网格修复之前主要关闭缺陷。当假体和腹壁之间的表面积显著增加时,这也最大化了组织向网内向内生长的量。这种变化称为“增强修复”,或称为IPOM-Plus
[16]。在选择是否进行初次闭合之前,考虑腹壁缺损的形状是很重要的。实际上,开口越椭圆,疝轮廓的最可能的初级近似将在可接受的伤口边缘张力下实现。相反,疝缺损的长宽比越接近1的值,意味着它的形状越圆,如果试图主要关闭它,则伤口边缘的张力最大,然后是'桥接'修复将更合适。腹腔镜双侧成分分离技术最近提出了增加腹直肌初步近似的机会[17],但作者不会扩展这个主题,因为这超出了本文的范围。已经提出了几种闭合方法,包括Orenstein等人描述的经腹“鞋带”技术。 [18]。我赞成类似的方法,但作者倾向于使用钝的Endo
Close™套管针闭合装置(Covidien,Mansfield,MA,USA)放置每根可吸收的缝合线[1
polydioxanone(PDS®II,Ethicon
Endo-Surgery,Inc,)筋膜边缘为松散的八字形(图4)。缝合线的数量取决于缺损的大小。一旦所有缝线定位,它们被拉在一起,直到保持缺损的边缘并置在连续打结的情况下(图5)。在存在“瑞士奶酪”切口疝的情况下,缺陷大部分时间都是小的和多个(图6),我建议使用预先捆绑的简单闭合疝囊PDS的缝合环(Endoloop®Ligature,PDS®II,Ethicon
Endo-Surgery,Cincinnati,OH,USA),如前所述,用于在内窥镜TEP网状修复直肠腹股沟疝缺损时应用松弛横筋膜[19]。
图4经腹'鞋带'技术。 a + b)使用Endoclose装置通过刺伤引入的可吸收PDS缝合线; c)PDS缝线的腹腔镜观察;
d)通过相同的切口切口重新引入Endoclose,但使用不同的通道并抓住PDS缝线的末端; e)PDS环路外露;
f)使用另一个通道通过腹壁重新引入相同的PDS缝合线; g)获得最终松散的八字形; h)第二次PDS缝合
图5a)放置第三条松散的PDS缝合线; b)所有三根缝合线均已充分定位; c)缝合线一起拉开,保持缺损边缘并置; d)打结的缝合线和完全闭合的缺陷
图6a + b)'Swiss-cheese'切口疝(箭头显示以前的缝合材料); c + d)疝囊倒置; e + f)疝囊与PDS的Endoloop结扎的折叠如果指示传统的IPOM技术,可以通过将脊椎针放置在腹壁上,或者使用可以容易地腹膜内放置的小的一次性尺子来精确地测量疝缺损。缺损的大小也可以直接在皮肤上计算,但请记住,由于腹壁的曲率,外部测量值总是被高估。这种差异随着患者的大小而增加,并且由气腹加剧,因此从现在起腹内压力维持在最大8mmHg的原因是为了减少这种放大现象。如前所述,目的是选择一个超出缺损边缘3至5厘米的假体,特别是如果缺陷尚未完全闭合。存在若干“解剖学”情况,其中较小的重叠是可接受的并且有时是必要的。例如,当将网状物固定到耻骨结节,肋缘下或髂嵴上时。这将在后面讨论。网格的选择是个人问题。主要规则是所选产品的内脏侧必须具有抗粘性(钛,胶原蛋白,ePTFE,纤维素),以降低小肠粘连的风险,并可能延迟并发症,如肠瘘形成。抗粘连屏障可以吸收,因为顶叶腹膜最终在一周内再皮肤化[20]。作者倾向于使用大的大孔,三维(3D)支架和双面聚酯网,在内脏侧具有可吸收的胶原屏障[Parietex
TM Optimized
Composite(PCOx)Mesh,Covidien,Mansfield,MA,USA]。这种3D设计促进了快速纤维向内生长而不是封装,从而最大限度地降低了网状物“收缩”的风险。此外,聚酯的柔软性和亲水性使得网状物更容易放置在腹壁上。该假体的另一个特点是可吸收的胶原蛋白屏障比其聚酯组分略宽(图7)。因此,如果网状物的边缘在固定后确实卷曲(这并不罕见),则聚酯材料与下面的内脏之间形成粘连的风险大大降低。
PCOx网的另一个显著优点是聚酯材料提供的柔软性允许非常容易地通过12mm端口插入,具有最小的阻力,特别是与聚丙烯或基于ePTFE的假体相比具有更大的网眼尺寸。可以使用不同的尺寸,并且网的尺寸将适应腹壁缺陷。重要的是要记住,在切口疝修补的情况下,整个切口需要被网状物覆盖,而不仅仅是疝缺损,因为不这样做被认为是复发的重要危险因素[21]。
图7a)亲水性聚酯网易于定位在腹壁上; b)显示可吸收胶原屏障的箭头比其聚酯组分略宽一旦适当选择并定向网眼尺寸,将其构型直接用无菌笔在腹部Steri-Drape上绘制,围绕疝缺损。重要的是网状物必须在插入腹腔之前在无菌盐水溶液中水合。作者首选的技术是使用钉子和透明缝线进行网格固定的双重方法。平均六条可吸收的2/0聚二恶烷酮(PDS®II,Ethicon
Endo-Surgery,Inc.,CA)的缝合线最初沿着假体的周边定位,然后网状物被卷起(胶原蛋白侧面在内侧)并被输送到腹部,通过12
mmHg尺寸的端口。这些缝合线中的每一根的两端应具有相同的长度,以便于随后的网状物固定。一个2/0 PDS足够长以放置两根缝线。无论缝合线附着在网格上的哪个位置,这些位置也会在Steri-Drape上进行测量和标记,但距离轮廓网格的边缘约2厘米,以便在随后打结时减少网格折叠的风险(图8b)。同样,腹腔镜计算的任何距离总是小于腹部外侧。在这些标记位置的部位进行微小的刺伤。然后将PCOx网状物与腹腔镜抓取器一起展开并定向,胶原屏障面向下面的内脏。在Endo
Close™的帮助下,经腹部缝合线的每一端通过不同的通道从腹腔中拉出,但是通过相同的刺穿切口(图8a,c,c,d).d
)。然后用镊子钳将两端保持在张力下,并且在逐个打结之前控制网的位置(图8e)。在这个阶段,网状物应该看起来居中松散(下垂),但仍然在张力下躺在腹壁上(图8f)。结皮在皮下组织中保持紧密,并且任何下面的附着物释放上覆的皮肤,以减少伤口压痕。
图8a)用Endoclose装置分别取出的每对预先绑定的2/0 PDS缝合线; b)放置在(标记)网眼边缘之外的刺穿切口(箭头); c + d)经腹部缝合线通过不同的通道拉出; e)先前闭合的疝缺损的良好网格重叠; F)网状物固定在腹壁后表面目前市场上有几种永久性或可吸收的腹腔镜固定装置。我个人今天倾向于用可吸收的钉子(Sorbafix™,BardDavol®Inc。,Warwick,RI)固定网状物,就我个人的经验而言,它们与永久性的相比,可以降低患上慢性腹壁疼痛的风险。这些定位器沿着假体的边缘(外层)彼此间隔2厘米固定(图9a-d).d)。在传统的IPOM修复的情况下,使用“双冠”技术意味着固定装置的内层也应用于缺陷周围[22]。如果缺陷主要是闭合的(IPOM-Plus技术),那么将更加不均匀地将修复器施加到假体上,以最大化网状物与腹膜腹膜之间的整体“接触”,从而减少假体表面积。否则会从腹壁下垂,同时最可能改善局部组织向内生长(图9e,f).f)。为了获得更好的锚固,每次施加定位器时,腹壁沿相反方向被压下,从而产生反作用。
图9a-d)网眼围绕周边以2厘米的间隔用可吸收的钉子固定; e,f)Tackers应用更不均匀,以最大化网状和腹膜腹膜之间的整体“接触”
腹腔镜经腹腹膜前(TAPP)技术
目前,腹腔镜IPOM是最常用的技术,因为它相对简单并且需要相当短的操作时间。值得关注的是,疝修补术后粘连仍可能在大量患者中发生,而与使用的材料无关[23],尽管Chelala等人。据报道,在LRVIH后的85次重做手术中,使用聚酯基网状物Parietex™Composite(PCOx
Mesh的前体)形成浆膜粘连的发生率仅为11%。然而,理想情况下,假体材料应按照Rives-Stoppa原则[7,8]放置在腹膜外或逆行空间,但腹腔镜TAPP方法在技术上更具挑战性,需要更长的手术时间。在这些情况下,我建议在程序开始时放置IDC。在网状物可以完全固定在腹膜外空间的少数情况下,简单的无涂层网状物就足够(并且更便宜),因为没有潜在的与下面的内脏形成粘连的风险,由腹膜分开。
TAPP技术主要用于下腹部,当疝气在低中线剖腹手术或Pfannenstiel切口妇科手术后延伸至耻骨联合。实际上,在这些情况下,必须进入腹膜外空间,推回膀胱并暴露骨盆中的主要血管和神经结构,否则网状物不能正确且安全地固定。腹膜横向切开钩状透热疗法,解剖在耻骨后(Retzius)空间向尾骨延伸至骨盆(图10a)。在此过程中,上腹血管被识别,保存并保持在腹直肌上方(图10b)。在这些血管结构之后,远端允许作者识别将在两侧逐渐可见的其他解剖学标志,即髂耻管道,髂外静脉和股骨管的内侧面以及胸膜(Cooper's)韧带。暴露髂静脉时,应该极其谨慎地使用透热疗法。此外,在大约三分之一的情况下,可能存在异常的闭孔血管,如果没有正确识别,可能导致意外的出血。该血管从下腹壁或不太常见的髂外血管分支出来;穿过上耻骨支,最后进入闭孔。最后,在男性中,输精管在内侧和下侧运行,当它下降到骨盆中时越过外部髂血管。通过系统地暴露股骨管,可以识别和减少任何相关的股疝(在女性患者中更常见),其位于髂外静脉的内侧(图10c)。图10a)横向切开的顶叶腹膜(箭头)(P:耻骨); b)腹膜外观察腹膜外间隙(EV:上腹血管); c)右髂股静脉内侧疝气(O)减少(EIV);
d)左“危险三角”(VD:输精管,GV:性腺血管); e)纤维蛋白胶固定网的下侧面; f)在网状物的远端部分上封闭顶叶腹膜(箭头)(BL:膀胱)在某些情况下,可能还需要将作者的钝性解剖横向延伸到腹股沟深环,然后暴露部分腰肌和向下流动的生殖 -
股神经。在这些情况下,我建议识别和减少任何相关的腹股沟疝,并在女性患者中划分圆韧带(在胚胎学上与输精管相对应)。一旦分开,如果判断有必要,可以用PDS的Endoloop固定韧带的近端,因为它有时可能会出血。在完成解剖之后,将“暴露三角”和较小程度的“三角疼痛”暴露出来,在考虑放置假体网之前熟悉这两个解剖学危险区域是非常重要的。
“危险三角”由输精管内侧,性腺血管侧向和下方反射的腹膜边界,其顶点对应于深腹股沟环(图10d)。它包含髂外血管,深静脉髂静脉以及生殖 -
股神经的生殖分支。 “疼痛三角”位于其旁边,由性腺血管向内侧界定,上方由髂耻管界定,并由侧向反射的腹膜界定。在这个三角形内有生殖 -
股神经的股骨分支,大腿的外侧皮神经股神经和更深的股神经[20]。在该区域中不能使用缝合线或缝合材料来进行网状固定。在进行腹腔镜TAPP修复时,我也更愿意在可行的情况下主要关闭缺损,选择PCOx网并用缝合线和可吸收的Sorbafix™固定假体的上部,类似于IPOM-Plus技术。小心地,PCOx网状物的内侧部分锚定在耻骨联合处,但网状物的两侧面都必须固定不同,因为在该区域使用缝合或缝合装置是不安全的。在这种情况下,类似于作者之前发表的用于腹股沟疝的TEP技术[25],我用4毫升纤维蛋白胶(TISSEEL
[Fibrin
Sealant],Baxter,Deerfield,Il,USA)均匀喷涂这部分假体网片(图10e)。当网状物充分定位时,网状物应从耻骨后空间伸展开,向下倾斜于上耻骨支的后部,并在腰肌下侧卧位。这样,网状物也将加强Hesselbach三角并覆盖该地区所有潜在的疝气部位;即直接,间接,股骨和闭孔。一旦PCOx网完全固定,先前切开的顶叶腹膜闭合,从而部分地覆盖假体的远端,如图10f所示。虽然非常罕见,但剑突下区切口疝也可能发生在正中胸骨切开术后,在纵隔内插入胸管或仅在腹腔镜手术(如胆囊切除术)后,其中10mm工作端口已放置在上腹部。修复的难度主要是由于肋骨和剑突的紧密接近,以及隔膜,心包和胸膜腔。在这种情况下,优选的是让患者处于截石术和反头低脚高位置,并且从腿部之间进行部分解剖,其中TV监视器位于头部朝向右肩。必须进入剑突后空间以允许筋膜后位置和足够的网格重叠。为此,并充分解剖肝脏和镰状韧带的韧带(图3b,c)c)我更喜欢使用谐波手术刀。实际上,这种装置是安全的,并且如果认为有必要提供清晰的组织解剖,具有更好的止血。此外,小肠损伤的潜在风险几乎不存在,因为肝脏的前表面通常会阻止肠道嵌顿[26]。一旦插入剑突过程后侧的直肌鞘的后椎板被分开,可以通过钝性解剖实现后胸骨间隙的后续发育。与先前描述的腹腔镜技术类似,通过混合使用透明缝合线和钉子来实现适当的网状固定(图11a-c).c)。由于假体的最头侧(近端)部分不能用这些装置安全地固定,作者的偏好再次是用纤维蛋白密封剂将网状物粘在前外侧胸壁上(图11d)。在可能的情况下,在完成网状固定之后,将先前解剖的镰状韧带的一部分重新附接到腹壁上,从而覆盖假体的一部分(图11e,ff)。
图11TIPP网状修复剑突下区域。 a)面部缝合; b,c,e)Tackers固定(RS:胸骨后间隙); d)纤维蛋白胶固定在前外侧胸壁上; f)将Falciform韧带(FL)重新连接到腹壁上
腹腔镜IPOM-plus和完全腹膜外(TEP)技术用于Spigelian疝
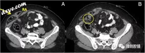
Spigelian疝,或称为“自发性侧腹疝”,出现在半月线(Linea
semilunaris)的水平,位于腹直肌的外侧,几乎完全位于脐下,在对应的弓形线水平或以下到后直肌鞘的远端极限。大多数时候疝是顶骨间的,触诊时没有明显的肿块,腹部CT仍然是最好的诊断工具(图12)。虽然非常罕见,但熟悉修复Spigelian疝的不同程序非常有用。腹腔镜IPOM-Plus技术无疑是更容易和更快速的方法,应用与前面讨论的相同的原理。图13提供了修复的良好概述。图12右侧Spigelian疝的CT成像。 a)包含小肠环的疝囊(箭头)(RA:右腹直肌); b)腹壁缺损(O)
图13a)左侧Spigelian缺陷(箭头; EV:上腹部血管); b,c)Endoclose的主要闭合缺陷; d,e)具有中断的2/0 PDS缝合线的网状悬吊; f)用可吸收的钉子固定聚酯网由于腹壁缺损的尺寸通常相对较小,因此我更喜欢进行TEP修复,从而避免将网状物不必要地放入腹腔。缺点是与IPOM相比,TEP技术难以掌握。类似于腹股沟疝的TEP技术[25],前直肌鞘暴露并通过侧脐旁切口垂直切开,确保不打开白色线。腹直肌的内侧边缘向侧面缩回,允许暴露后直肌鞘。然后将单次使用的钝头10mm润滑解剖球囊套管针(Extra
View
TM,Covidien,Mansfield,MA,USA)以一定角度插入腹膜前空间,并使用扭转运动和轻微抬高而无需向下进入耻骨联合。套管针的尖端与手腕一致,瞄准耻骨的中心,从而避免上腹部血管的潜在撕裂。球囊套管针在直视下用空气充气,因此逐渐形成初步的腹膜外工作空间,并且必须保持充气约3分钟以通过球囊填塞实现止血。然后将球囊放气并移除套管针。然后将单次使用的10mm套管(钝头套管针,Covidien)引入腹膜前空间并按照制造商的说明进行固定。
CO2吹入保持在8mmHg的理想压力下。摄像机通过脐旁端口引入,部分切开的腹膜前空间可视化。另外两个5mm工作端口在Spigelian疝的另一侧的直视下在腹膜前空间内引入,并且针对髂前上棘(ASIS)横向仔细解剖腹膜外空间。除非Spigelian疝已经完全减少,否则疝囊在直肌外侧和弓形线水平处被识别并完全减少(图14a)。下一步是在缺陷周围创建足够大的空间,足以容纳假体。解剖通常向尾部延伸至“三角疼痛”,其中生殖
- 股神经的股骨分支和外侧皮肤股神经(图14b)。这样,也可以保证网格的下边界的适当部署。在该区域中不能使用缝合线或缝合材料来进行网状固定。
图14左侧Spigelian疝的TEP修复。 a)腹壁缺损; b)左侧外侧腹膜外剥离术(LCF:股外侧皮神经; FB:生殖 - 股神经的股骨分支;
PM:腰肌); c,d)使用Endoloop PDS对弱筋膜进行倒置和折叠(箭头); e,f)圆形聚酯网覆盖复制(箭头)Spigelian筋膜通常缺损很小,因此我建议使用PDS的Endoloops(图14c,d)d)或如前所述的可吸收1PDS的八字形(图4)进行初步闭合。使用标准的扁平聚酯或聚丙烯网片进行疝气增强就足够了,因为没有与下层内脏形成粘连的风险,但我仍然喜欢使用圆形9cm直径的PCOx网(有时是12cm的网),因为它是柔软的,倾向于自发地粘在腹腔上,预成形并且已经包含两根留置缝合线(图14e,f).f)。此外,网格与缺陷的比率使得较小的圆形PCOx尺寸足够。最后,网状物优选地用可吸收的钉固定,但是在缺陷非常小的某些情况下,单独的纤维蛋白胶也可能是足够的。无论采用IPOM,IPOM-Plus,TAPP还是TEP的技术,在检查满意的修复止血后,优先使用排水。气腹(或额外)在直视下完全放气,局部麻醉剂注入伤口,皮肤闭合,中断皮下3/0
Caprosyn缝合。
Steristrips和防水敷料保持完整五天。所有患者在拔管前都配有腹部粘合剂,一旦完全清醒,他们可以恢复正常饮食,并且如果舒适则能够自由行走。通常在最初24小时给予静脉内抗生素,并且由操作外科医生决定停用低分子量肝素。在某些情况下,患者可能会在延长VTE预防几周后出院(通常在两天内)。他的处方是简单的镇痛,需要保持轻微的职责,没有紧张或重负,至少3-4周。理想情况下,我喜欢将活页夹保持24/7两周,然后白天保持最少4周。根据作者的经验,这显著降低了术后疼痛的程度,并在愈合过程中提供额外的外部支持。随访通常在术后两周,六周和三个月组织。如果认为有必要,也可以安排随后的术后检查,直到患者无症状,并且在某些情况下,在手术后6个月组织重复的腹部CT扫描。
微信公众号“微创腔镜”ID:dxyewc
微信公众号“丁香叶”ID:dxyeyx(医学科技综合)
微信公众号“妇儿母婴”ID:dxyeen微信公众号“医美五官”ID:dxyent
微信公众号“骨外显微”ID:dxyewx
联系管理员微信/QQ:12087382加入微信/QQ群
所有分享及看法仅限交流及参考,不做为诊疗标准
参考及来源于网络,若侵犯了您的权益,请联系删除
点击最左下角“阅读原文”查看参考资料
微创腔镜分享医学微创的看法长按扫描二维码关注
上一篇:师生园地
下一篇:读者 梵西的专栏(28583457)
最近更新游戏资讯
- 秋瓷炫老公什么星座(秋瓷炫血型星座)
- 法国电影中的女性符号和觉醒
- 惊人的秘密:颜色政治背后的渗透与分化
- 让BB接受家庭伦理教育洗礼
- 语言礼仪十篇
- 美军欲打造AI战机部队 面临严重伦理问题
- 医学伦理学:医学伦理学的主要观点和基本理论
- 豆瓣9.0分以上|50本好书推荐
- 达尔文的故事赏析八篇
- 港台国学类学术会议信息(四十)
- 东野圭吾本格推理极致之作《回廊亭杀人事件》开票5折抢
- 辩论赛包含哪些技巧?
- 【铸牢中华民族共同体意识
- 徽州醉春丨水墨画里的徽州-婺源篁岭-江岭- 新安江- 西递- 呈坎丨六天五夜
- 心理治疗总论 【医学心理学与精神医学版】
- 苏德超教授的新论文:道德绑架为何难以避免
- 企业社会责任综述十篇
- 政务礼仪的作用(五篇)
- 韩素希出道最大尺度 泄朴海俊指导秘诀 咬牙拍完《夫妇》只有2感想
- 《封神三部曲》:为什么要重述这个神话?
- 输血和喝血真的能帮助女性和老人保持年轻吗?
- 集齐九部《星球大战》,教你如何把家庭伦理拍成太空歌剧
- 这十部顶级英美剧,是当之无愧的业界巅峰,每一部都值得通宵去看
- 邪王宠妻之金牌医妃
- 【博览】《科奖在线》:“破四唯、立新标”典型案例官宣,项目/人才/成果未来可能这