手机访问:wap.265xx.com继发性肺结核的病理
为医者减压力
为患者谋福利
合理用药 精准用药
欢迎关注
感染多学科会诊
一附院 周三见 2019年12月24日
继发性肺结核的病理
摘要:
继发性结核通常发生于免疫功能正常的成年人,局限于肺部,占所有临床病例的80%和感染传播病例的近100%。在分子方法用于动物模型的研究全面发展之前的几十年,随着抗生素的使用,继发性结核人体组织的供应大幅下降。
不幸的是,人体组织的缺乏阻碍了模型的验证。因此,干酪样肉芽肿是所有结核的特征性病变,当它们侵蚀到支气管时就会形成空洞,这是当代研究的一个范例。这与前抗生素时代的描述不同,当时许多调查人员接触到数以千计的病例。他们报告说,继发性肺结核开始是渗出反应:泡沫肺泡巨噬细胞的结核性脂质肺炎,经历干酪样坏死和碎片形成空洞。继发性疾病的肉芽肿只在老化的干酪样肺炎时出现,并产生纤维化,而不是空洞。我们通过对104例未经治疗的肺结核病例的研究证实并扩展了这些观察结果。此外,对婴儿和免疫抑制的成年人的肺的研究发现,第二种类型的结核性肺炎很少产生空洞。由于干酪样肉芽肿产生空洞的概念得到了牛分枝杆菌感染动物研究的支持,我们对其病理学进行了研究。我们发现牛分枝杆菌在任何物种中都不会产生继发性结核病。它只产生一种侵袭性的原发性肺结核,通过侵蚀干酪样肉芽肿而产生小的空洞。因此,在结核病的发病机制中,一个尚未解决的关键问题是,如何确定结核分枝杆菌在免疫系统良好的宿主中在肺泡巨噬细胞中建立一个局部安全的避难所,从而为空洞的形成和向新宿主的传播创造条件。
关键词:继发性结核病,肺,病理,空洞,人类
引言
结核分枝杆菌(MTB)是一种专性的人类病原体。虽然它可以感染大多数温血动物,并且对一些动物具有高度的毒性,但是没有动物可以将感染传染给其他动物。因此,耐多药结核病的继续存在取决于人类之间的传播。在过去的几千年里,结核分枝杆菌已经形成了一个复杂的生命周期,这使得它可以无限期地在人类社区中生存,哪怕只有几百人。这个生命周期包括两种不同类型的感染:原发性感染和继发性感染。感染通常始于第一次或原发性感染,随着免疫反应的发展而自行治愈。10到30年后,这些微生物从休眠状态(或人再次感染)中出现,发展为继发性结核,在肺中产生空洞,大量微生物的增殖,这些微生物被咳嗽到环境中,以促进传播到新的宿主。
原发性结核病是免疫能力强的人首次感染MTB时发生的感染。虽然它可能导致脑膜炎或播散性结核,特别是在非常幼小或免疫抑制的个体中,原发性结核通常以干酪样肉芽肿的形式发展和扩散到区域淋巴结,并且在免疫发展前仅系统地扩散几周。虽然病变可以愈合,但它们很少被消灭,病原体仍然存在。我们有许多原发性结核病的动物模型和人体组织的合理获取,因此在了解其特征性病变干酪样肉芽肿的发展和功能方面取得了很大进展。
与此相反,继发性结核病,也称为成人型结核病,发生在对原发性结核病产生了免疫力的人群中。它与原发性结核病的不同之处在于调节宿主易感性的基因、临床表现、并发症和年龄分布。继发性结核通常局限于肺上叶,不涉及淋巴结或其他器官。约90%的病例无需治疗即可自行痊愈。然而,那些患病的占所有临床病例的80%和感染传播的近100%。不能自行缓解的继发性肺结核,不是由于系统免疫不足,因为罹患者除了肺局部,整个身体都有坚实的感染免疫保护。事实上,最可能死于继发性结核的患者是15-40岁免疫能力强的年轻人,他们具有很强的结核菌素特异性细胞免疫反应。那些在急性期存活下来的人很可能会在肺里留下一个空洞,把大量的微生物喷到支气管里,在几十年的时间里被咳嗽到周围环境中,但不会在身体的任何其他部位产生疾病。继发性肺结核不产生免疫。它的作用正好相反。那些自然或通过治疗从继发性结核病恢复的人比其社区的其他人更容易再次发病。复发性疾病通常是由环境的新感染引起的,而不是由第一次感染的重新激活引起的。我们对继发性结核病的发病机制知之甚少。
结核病的病理在19世纪和20世纪早期被描述为两个主要组成部分被称为“增殖性”和“渗出性”。1821年,Laennec通过临床和大体病理观察报告称,原发性和继发性结核病是同一疾病的不同表现。半个世纪后,随着显微镜的引进,Virchow对此提出了异议,并声称它们是完全不同的疾病。他报告说原发性肺结核是一种肿瘤,而继发性肺结核是一种感染。科赫发现的病原体解决了这一争论。然而,科赫观察到,第二次接触MTB会产生与第一次接触完全不同的疾病。从19世纪80年代到20世纪50年代,许多作者使用不同的命名法描述了结核病的两种不同的组织学类型。增殖性病变或结节是肉芽肿,特别是干酪性肉芽肿。渗出性病变为结核性肺炎。每一种都以多种变化形式发生,并通过一系列阶段进行。结核病的许多重要病理特征不可能不被描述。然而,在20世纪50年代,随着抗生素的使用,人们对这种疾病和人类肺组织实用性的兴趣直线下降,对继发性结核病病理学的研究实际上结束了。几十年后,人们意识到结核病还没有被根除,现代免疫学和分子生物学的兴起为研究结核病提供了强有力的新方法,人们对结核病的兴趣又重新燃起。
利用动物模型,大地扩展了对结核病的认识。然而,由于缺乏合适的人体组织进行研究,无法对动物模型进行验证。许多物种在感染了结核分枝杆菌后会发展成干酪样肉芽肿,有些物种,如感染了牛分枝杆菌的兔子,会发展成干酪样肉芽肿,侵蚀到支气管内产生空洞。然而,结核分枝杆菌是一种专性人类病原体,因为它只能在人体内完成其生命周期。然而,结核分枝杆菌是一种专性人类病原体,因为它只能在人体内完成其生命周期。在自然条件下,没有其他物种出现传播感染所必需的病变。在以肉芽肿为中心的快速科学进展的兴奋中,更古老的文献中对人类肺结核更为复杂的病理描述被遗忘了。此外,许多审稿人坚持动物被气溶胶感染少量杆菌产生生理性感染,进一步限制了可用于研究的模型的范围。因此,几乎整个当代文献都将干酪样肉芽肿描述为所有结核的特征性病变。根据模型产生干酪样肉芽肿的能力判断其是否“像人”。当干酪样肉芽肿侵蚀到支气管并将其软化和液化的内容物排入气道时,就会形成空洞,这是当代研究的一个范例。这种忽略渗出反应存在的简化机制,指导了历代研究者对继发性结核的研究。
我们先前报道了对几个患有未经治疗的原发性和继发性结核病人的组织的研究,这些研究推翻了这一范式。我们重新发现了抗生素前的观察结果,即继发性结核病开始是由泡沫肺泡巨噬细胞感染引起的渗出反应。感染进展为干酪样肺炎,发生碎片化和软化,产生空洞。在这些肺中没有任何类型的活动性肉芽肿。干酪样肉芽肿似乎是原发性肺结核的特征,与空洞的发生无关。
在后续研究中,我们检查了100多名未经治疗的肺结核患者和少数未得到充分治疗的肺结核患者的组织,并回顾了前抗生素时代的文献,以改进和扩展以前的观察,结论是,发展为原发性后肺结核不是肉芽肿性疾病。它是一种渗出反应,是一种肺炎,在有足够免疫力的人群中发展,足以治愈所有肉芽肿。肉芽肿确实在原发性肺结核后发展,但只是一种晚期现象,几乎与空洞的发展无关。正如Canettti所报道的,肉芽肿在原发性结核病后并不先于干酪化,而是紧随其后,通常位于干酪的边缘。此外,与肉芽肿有关的干酪总是陈旧的,没有核碎片。“这两个事实证明了成人肺中的干酪先于肉芽肿”。
其他研究寻找继发性肺结核典型病理模式的例外情况。这些研究是通过对婴儿肺部的载玻片进行的,这些婴儿的年龄太小,无法对原发性肺结核形成免疫力,而成年人的艾滋病毒和其他疾病则受到了免疫抑制。我们没有发现任何证据表明肺空洞是起源于干酪样肉芽肿的扩张或其内容物的液化。所有的空洞都是由结核性肺炎坏死引起的,通常发生在全身没有干酪样肉芽肿的人身上。
这篇文章回顾了原发性结核病后每个阶段的病理学:它是如何开始、退变或进展到空化和/或纤维质疾病的。大多数继发性结核会自行消退,只在肺尖部留下小的疤痕。那些没有消退的通常会迅速坏死产生空洞。一旦形成,空洞可以稳定下来,几乎无限期地无症状,也可以产生慢性复发或进展性纤维性疾病,导致广泛的坏死和纤维化。最后,我们探讨了对当代文献的误解是如何产生的。对文献的回顾揭示了另外两点。第一个是未能认识到牛分枝杆菌和结核分枝杆菌感染之间的区别,第二个是对干酪性肉芽肿播种结核性肺炎的假设的误解,从而推断它们直接导致空洞。
随着认识到继发性结核病开始于有足够免疫力治愈干酪样肉芽肿的人肺泡巨噬细胞的感染,成人结核病尚未解决的关键问题不再是干酪样肉芽肿,而是理解MTB如何破坏或逃避原本非常有效的全身免疫,从而在肺的某些区域的泡沫肺泡巨噬细胞中建立一个特殊的位置,而身体的其他部分仍然保持高度免疫。我们希望对继发性肺结核的病理有更准确的认识,可以引导更有针对性的研究,更好地了解并最终控制世界上最致命的细菌感染。
材料和方法
伦理学声明
这项研究是根据《赫尔辛基宣言》所表达的原则进行的。我们研究了肺结核患者组织的显微镜切片。所有材料都是常规外科手术或尸体解剖的产物。我们没有以任何方式收集组织,也没有与任何患者、他们的家人或医生接触。所有标本都被鉴定为研究对象。
12例来自德克萨斯大学休斯顿医学院的尸体解剖或外科手术,这些要么是临床误诊为癌症的原发性肺结核肺部病变,要么是对播散性肺结核患者的尸检。15个病例来自德克萨斯州加尔维斯顿县和哈里斯县的医学检验员,这些是对偶然发现的临床无症状疾病患者或死于急性未诊断和未经治疗的肺结核患者的尸检。这些病例提供了特别多的信息,因为他们有早期的原发性肺结核后发展为空洞,但没有后期的干酪样肉芽肿和纤维化。从俄罗斯联邦圣彼得堡第一传染病医院获得32例死于肺结核的石蜡块,这些标本显示了典型的慢性原发性肺结核的纤维组织病理学特征。最后,在约翰霍普金斯大学病理科使用约翰霍普金斯尸检档案信息系统(JHARIS)对47例病例进行了回顾。本系统检索肺结核病例2854例,经人口统计及尸检诊断。对因患者年龄、免疫抑制或自身免疫性疾病等特殊原因选择的病例进行载玻片检查,并在Rich的《结核病的发病机制》一书中列出。感染牛分枝杆菌的兔组织切片来自约翰霍普金斯大学的免疫学部门。
检查每个病例的载玻片,以确定病理改变的模式和顺序。大多数免疫功能正常的肺结核患者死于慢性纤维干酪样疾病,其病理变化多样。非常严重的疾病和继发性结核病自发消退的罕见标本的存在,以及抗生素前时期的多个阶段的病例,使我们有可能自信地重建病理变化的序列。
结果
原发性结核病
原发结核发生于以前未受感染但免疫反应正常的人。典型的干酪样肉芽肿是一种局限于组织内的病变,包括干酪样坏死的中心区域,周围有上皮样巨噬细胞和淋巴细胞,见图1。干酪样坏死被Virchow称为“脂肪变性”,因为它含有丰富的脂质和泡沫巨噬细胞。干酪样肉芽肿可扩大和进展,但很少直径超过2 - 3厘米。他们的中心可能会钙化,纤维化和瘢痕愈合。病原微生物被限制在干酪样肉芽肿内,但并非全部被杀死。这些病变是首次感染结核病的特征,治愈后在肺和肺门淋巴结内形成冈氏复合钙化肉芽肿。干酪样肉芽肿的组织学表现与原发性肺部感染和继发结核瘤相似,结核瘤可发生于骨、脑、肾、淋巴结或其他器官,粟粒性结核和晚期原发性结核。
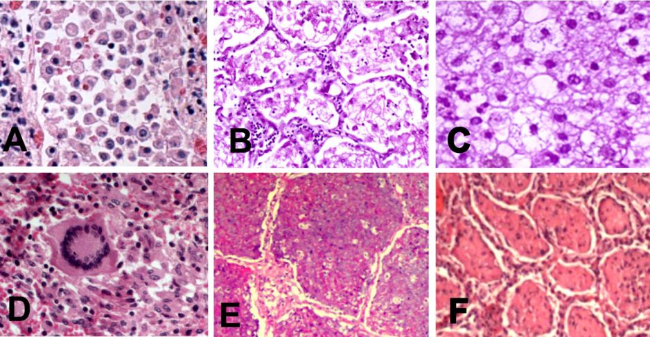
图1. 富含脂质物质的坏死中央核周围有泡沫状巨噬细胞、上皮样巨噬细胞和淋巴细胞。图示3例干酪样肉芽肿:(A)显示粟粒性肺结核患者肺部早期干酪样肉芽肿(H & E染色100×)。(B)一簇干酪样肉芽肿,被误认为是癌症,经手术切除。干酪样坏死物周围的蓝色染色淋巴细胞层特别明显(H & E染色1×)。(C)人肺较老的病变,可见纤维包膜和坏死中心。上皮样细胞和巨细胞(箭头)表明它仍然是活跃的(H & E染色100×)。
继发性结核病
继发(成人型)结核在免疫力足够清除和治愈合原发结核干酪样肉芽肿的人群中优先发生。继发性肺结核通常局限于肺上叶,身体其他部位没有感染的迹象。虽然在前抗生素时代的病理学文献中有许多争论,但自1821年Laennec以来的许多报告一致认为,继发性结核开始于肺炎而不是肉芽肿过程。我们发现Rich的论断没有例外,他说:“所有研究早期人类肺部病变的人都发现,肺部病变是干酪样肺炎的表现,而不是结节性结节。” Canetti写道:“重要的概念是渗出反应是每一个(继发性)结核病灶的开始。” 肉芽肿围绕陈旧性干酪性肺炎发展,有助于愈合和/或纤维化。随后病情加重可能导致肺内干酪样肉芽肿,但它们很少(如果有的话)有助于空洞的形成。
类脂性肺炎期
继发性肺结核开始于肺泡中泡沫状巨噬细胞在肺局部区域的聚集,典型地靠近上肺叶的边缘,图2。抗酸生微生物(~ 1-2 /高倍视野)几乎只存在于肺泡巨噬细胞中。这些病变中没有白细胞或纤维蛋白,几乎没有水肿。早期肺结核的病变有多种途径。大约90%的自行缓解病变会在肺尖部留下小的疤痕。“浸润性肺结核”这一术语被用来描述结核性肺炎可自行治愈。在欧洲和美国,大多数出生在19世纪和20世纪初的人的肺尖上都发现了这种愈合的疤痕。当肺泡内除了巨噬细胞,还充满纤维蛋白、细胞碎片、红细胞和白细胞时,AFB的数量通常下降。在某些区域,泡沫状巨噬细胞积累额外的脂质,这些脂质主要填满肺泡。许多泡沫状巨噬细胞对树突状细胞标志物DEC-205呈阳性反应。
图2.继发性肺结核发展的组织病理学。(A)最初肺泡内充满巨噬细胞,而肺泡壁淋巴细胞数量增加。巨噬细胞由于脂质堆积而呈泡沫状。这种病变可能以多种方式发展。在某些区域(B),以细胞碎片和纤维蛋白为主。在另一些(C)中,巨噬细胞变得越来越富脂。可以发现朗格罕斯巨细胞(D)。最后,肺泡内的许多细胞发生干酪样坏死(E),这一过程可能涉及肺的较大区域或单个肺泡。大多数这样的病变可以用纤维蛋白和纤维组织替代肺泡细胞而自行消退(F)。病变最终在肺尖处形成纤维性瘢痕(100 ~ 400倍放大h&e染色)。
支气管内结核引起支气管阻塞是继发性结核在病理及影像学上的常见表现。最早的放射学特征是CAT扫描上的“树芽”征,如图3所示。感染的细胞和碎片填满小支气管,产生可见的“树状枝成分”。相邻肺泡的病灶充满了泡沫状肺泡巨噬细胞和脂质碎片,形成“树芽成分”。肺泡巨噬细胞逐渐形成泡沫并退化,在肺泡内可见脂质碎片,有时罕见抗酸杆菌。这在x光片上产生磨砂玻璃外观。这些病变可能在一年或更长时间内缓慢进展,很少或没有临床疾病。
图3.继发性肺结核的支气管闭塞。树芽型是早期原发性肺结核的典型CT表现(A)。X光片上的树枝是充满受感染细胞和碎片的支气管,而芽是肺泡中结核性肺炎的区域。切片(B, C)显示支气管被这种碎片阻塞。支气管阻塞已被许多作者报告在100%的继发性肺结核病例中(H & E染色100×放大倍数)。
支气管内结核通常被解释为通过支气管经肺部传播感染的证据。我们倾向于另一种解释,即支气管阻塞是发展为继发性结核的重要组成部分。由癌症或其他机械原因引起的支气管阻塞可引起内源性脂质性肺炎,称为“金色肺炎”,其原因是由于高脂质引起的黄色。组织学上,金黄色肺炎可能与脂质丰富的结核性肺炎相似。它甚至可能发生坏死和产生空洞。此外,据报道,开放阻塞的支气管可导致继发发性肺结核的消退。因此,支气管内结核可能是早期继发性结核发病机制的重要组成部分。
干酪性肺炎
类脂性肺炎病变不能愈合,最终坏死形成干酪性肺炎。干酪样坏死的特征是浑浊的肿胀和均质化,没有任何细胞流入的情况。它开始是一种纤维蛋白失去其纤维状结构的渗出膨胀,变得均匀并充满整个肺泡,如图2E所示。肺泡细胞失去轮廓,细胞质被破坏,细胞核缩小,然后消失。坏死很快涉及肺泡隔膜,失去毛细血管但保留弹性纤维。坏死很快累及肺泡间隔,毛细血管消失但保留弹性纤维。血管和支气管最终会经历同样的过程,坏死块呈现出完全均匀的特征。
干酪样坏死的发生常与AFB数量的爆炸性增加有关,图4. 在肺泡中活的巨噬细胞中发现的AFB通常是单个生物,发现率不到5%。然而,在干酪样坏死区域附近的肺泡中,大多数细胞含有免疫化学鉴定的显著的分枝杆菌抗原。这表明肺泡巨噬细胞内分枝杆菌产物的积累先于干酪样坏死的发生。AFB的数量随着干酪样物质的老化而减少,其方式与干酪样肉芽肿相似。开始时AFB数量的增加并非在所有病例中都发生。在某些情况下,典型的病例发生而无明显的AFB升高。
图4. AFB和分枝杆菌抗原在继发性结核病的分布。在发生继发性肺结核后泡沫肺泡巨噬细胞中很少发现AFB。随着坏死的发展,它们的数量显著增加。(A)肺切片,肺泡内可见AFB团块,伴干酪样坏死,但相邻肺泡未见AFB团块(抗酸性染色40X)。(B)AFB与坏死细胞和碎片的高倍放大(抗酸染色400X)。(C)活巨噬细胞中单个AFB(抗酸染色400X)。(D)在无AFB的活细胞中发现大量分枝杆菌抗原(免疫组化染色MTB 400×)。
空洞形成
干酪样肺炎的区域,特别是较大的区域,最终会软化和碎裂。坏死的肿块出现裂缝,碎裂成大团块,通常没有新的细胞成分的迹象。结核病通常是一种发展缓慢的慢性疾病,但它可以迅速改变。在急性病例中,干酪化、软化和碎裂可以同时发生。在一个典型的例子中,一名先前健康的60岁妇女在两周的发热性胸痛后死亡。她的肺部表现为结核性脂质性肺炎,伴有斑片状的干酪样坏死和空洞的形成,如图5A所示。在她体内没有活跃的肉芽肿。愈合后肉芽肿有瘢痕,但未见上皮样细胞、巨细胞及干酪样坏死。空洞形成是由于肺大断面急性坏死伴结核性脂质性肺炎。坏死也常与血管炎相关,如图5B所示。当肺软化、碎片化并随咳嗽排出即出现空洞。破坏的肺可以导致大量出血,可能是肺结核的首发临床表现。咳嗽过程中,患者的支气管内可见坏死的肺碎片,如图5C。对这些碎片进行痰染色是一种有价值的检查方法,可以区分结核和普通肺炎。开始空洞不规则,但很快因为更多坏死物的排出和补偿机制变得规则。在这种病变中,在空洞形成中和即刻,AFB的数量非常少。这是一种常见的表现,整个过程是一种急性肺炎样疾病,持续1-2周,缓解后在肺部留下空洞。
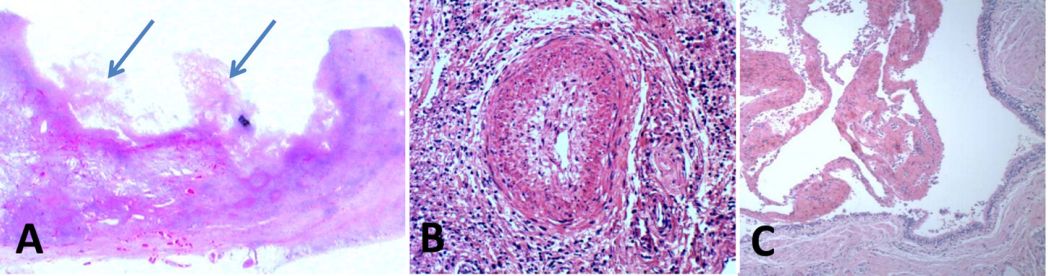
图5.空洞形成。典型的结核性空腔在急性发热性肺炎发作后迅速形成。(A)含有坏死的肺组织的发育中的腔。腔壁由一层覆盖在脂质性肺炎上的坏死层构成。腔内有坏死的肺碎片(箭头)(H & E染色4倍放大)。经PCR和AFB检测,尽管该肺的微生物数量较少,但对MTB呈阳性反应。(B)肺小动脉血管炎。血管壁增厚,空泡化,淋巴细胞浸润。腔内大部分被阻塞(H & E染色100倍放大)。(C)急性空洞型肺结核患者支气管内坏死的肺组织(H & E染色40倍放大)。
在所有有空洞的病例中,均观察到干酪样肺炎的坏死和碎片形成空洞的模式。我们没有发现任何干酪性肉芽肿侵蚀进支气管形成肺空洞的证据。实际上,所有急性空洞中我们都没有发现干酪性肉芽肿。这与19世纪20年代到60年代的大量文献报道一致。
成熟空洞
虽然在形成空洞之前未治疗的继发发性结核的消退是常见的,但在形成空洞之后就少见了。除了在几十年的时间里产生大量细菌的薄壁空洞外,结核病通常在身体的所有部位都可以愈合。这些人是社区感染的主要传播者。即使在今天,仍然有许多表现健康,没有的临床症状的肺结核患者。
新形成的空洞内AFB很少。随着时间推移,坏死层纤维化薄壁形成,空洞内壁生长大量细菌。成熟的空腔被描述为免疫失败的区域,这可能与Foxp3阳性Treg细胞浓度升高有关。在典型的病例中,在腔内表面可见大量的抗酸微生物,而肺内的其他病变均已愈合,留下不活动的疤痕,没有明显的微生物,见图6。感染局限于腔壁,而身体其余部分没有干酪样肉芽肿、结核性肺炎或任何其他活动性疾病的表现。空腔壁由一层薄薄的干酪样坏死组织组成,周围有少量炎症、上皮样细胞和巨细胞。取而代之的是富含毛细血管淋巴细胞和成纤维细胞的肉芽组织。胶原纤维融合成一个环,形成一个囊。这种囊会随着胶原纤维继续变厚。
Laennec特别清楚地描述了这种空洞。“有些病人会出现空洞,上面有一层薄膜,这种情况会持续数年,除了咳嗽,其他症状都很轻微一些患者将他们的咳嗽归因于一种剧烈的肺疾病,认为他们当时的情况是绝望的。”这些空洞的“膜”内衬是不可清洗的,半透明的,灰白色,质地类似软骨,但稍软一些,紧贴肺部组织,形成完整的空洞内衬。膜通常是相当完整的,覆盖整个腔内表面。它容易从痰中分离和排出。有这样的膜的腔是完全空的。Laennec检查的所有这些病例都死于无关的疾病。多年来,他们都生活在一种“非常健康的状态下”,只是长期咳嗽。
Laennec对这些空洞膜的描述是,当在液体介质表面培养毒性强的MTB时,会形成一个膜。这与观察结果一致,即生物体大量生长在空腔的表面,而不是身体的任何其他部位,图6B。这些人是最危险的感染传播者。他们通常健康地生活了几十年,向环境中咳出大量的微生物,但他们的感染仍然局限于体腔的表面,从不扩散到身体的其他部位。
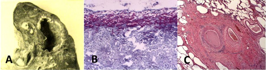
图6.空洞成熟。空洞常发展为薄壁结构,很少有炎症,大量的生物体生长为内表面的膜。(A)肺上叶与支气管相连的腔。该患基本无症状,死于无关疾病。腔壁由纤维组织和一层坏死的碎片组成。(B)表面有大量抗酸微生物(耐酸染色200X)。在身体的其他任何地方都没有发现活动性结核病的细菌或证据。(C)肺其他区域显示愈合的结核疤痕,近期无活动迹象(H & E染色100×放大)。
愈合和慢性纤维干酪结核
在某些情况下,干酪样坏死物质不会分解,但仍保持完整的干酪样块,如图7A-C所示。在这种情况下,上叶的一大部分是死的,颜色为白色。组织学上为坏死性干酪样肺炎。周围可见活的伴有结核性脂质性肺炎的肺。在肺切片中也没有干酪样肉芽肿或上皮样细胞。整个病变包括不同阶段的脂质性肺炎和干酪性肺炎。
虽然干酪样肉芽肿在原发性结核病后的形成阶段不存在,但它们确实在慢性疾病期间出现,似乎是愈合过程的一部分,并与广泛的纤维化有关。小面积的陈旧性非活动性结核性肺炎通常被肉芽肿包围,周围有上皮样细胞、巨细胞和淋巴细胞,见图7D。这种病变愈合后可能只留下纤维性疤痕。在大面积干酪样肺炎的病例中,结节的形成始于干酪样的周围,外观相似,但进展为纤维样结核,图7E-F。常见的是发现多个纤维组织的同心圆,表明病变进展,然后在不同时机愈合。这种干酪样肉芽肿作为原发性肺结核后慢性或治愈过程的一部分发展的模式,在1882年Ewart的《古斯顿人》的讲座中和后来的作者都清楚地描述过。干酪样肉芽肿偶尔可见空洞,但与干酪样肺炎的碎片相比,它们最多是次要的组成部分,图7G。
图7.慢性纤维干酪性结核病。大量干酪样肺炎不能软化和碎片化而产生空洞,可能只是停留在相对不活跃的状态。在本例中,肺上叶坏死伴干酪样肺炎,已干尸化(A)。显微镜下,它由干酪样肺炎构成,邻近富含脂质结核性肺炎(B,C)的生存区(H & E染色100-400倍放大)。老年干酪样肺炎常被肉芽肿组织包围(D)。中央坏死核心保留干酪样肺炎的肺泡结构,周围是活跃的肉芽肿,有上皮样细胞、巨细胞和淋巴细胞,但没有泡沫状巨噬细胞。纤维化围绕着干酪样肺炎的小区域(E),或扩展到肺的大区域并伴有较大的病变,从而产生肺纤维化(F)。多层纤维化显示病变在不同的情况下进展和消退(G)。(三色染色40倍放大)。很少见到干酪样肉芽肿侵蚀入空洞(G)。然而,病变往往很小,很难清楚空洞是否侵蚀成肉芽肿或反之亦然。
大多数原发性肺结核的临床和尸检病例是慢性纤维干酪性疾病。在这些患者中,干酪样肺炎在空洞形成后继续产生,并产生多种类型的复杂混合物,包括脂质性肺炎、干酪样肺炎、新空洞形成、纤维化、干酪样肉芽肿和愈合。在典型的病例中,一些区域显示慢性非活动性干酪样肺炎的干性纤维素渗出物,而邻近区域包含活动性干酪样肺炎,并形成新空洞。随着时间的推移,纤维化趋于恶化。这些病变是导致肺纤维化的主要原因,在世界范围内导致肺萎陷、肺气肿、纤维化、硬化症和肺不张。
一项长期的观察表明,同一器官的结核性病变可能以完全不同的方式发展,并且表现出相互独立的行为。一种病变可能通过纤维化治愈,而另一种病变可能发展为新的脂质性肺炎、干酪样肺炎或新的空洞。几乎所有阶段的继发性结核经常发生在单肺。没有什么比这更清楚地强调了局部因素在发性结核演变中的突出重要性。在原发性肺结核、粟粒性肺结核和免疫抑制肺结核患者中,未发现这种病变的阶段和年龄的异质性。
免疫抑制人群的肺结核
我们在免疫抑制和年幼的受试者中进行了进一步的研究,试图找出由结核性肺炎的坏死和碎片形成空洞这一规律的例外情况。众所周知,年幼、年老或免疫抑制的人更有可能死于播散性结核病,但不太可能发展成空洞。第一例为一名感染艾滋病毒的男子,死于迅速进展性肺结核,图8A-C。他患有粟粒性肺结核,肺和其他器官有干酪样肉芽肿。干酪样肉芽肿的上皮样细胞和淋巴样细胞较少,而AFB较多。此外,他患有结核性肺炎,肺泡巨噬细胞内有大量的微生物。大面积的结核性肺炎发生坏死,形成不充分的空洞,而干酪样肉芽肿的粟粒性病变保持完整。这些病变与免疫能力强的人发生的病变有显著差异。它们含有更多的AFB,更少的淋巴细胞,没有巨细胞。巨噬细胞较小,没有脂质性肺炎的泡沫丰富的细胞质特征。
有报道称,与典型的继发性结核形成所需的时间相比,婴儿死亡的时间要短得多。这个婴儿的切片显示为巨大的干酪样肉芽肿和结核性肺炎。这些空洞是由结核性肺炎坏死造成的,图8D-F。干酪样肉芽肿淋巴细胞少,缺乏典型的上皮样细胞和巨细胞,免疫反应未完全发生。结核性肺炎几乎没有脂质证据。
一名接受类固醇治疗的类风湿性关节炎患者死于播散性肺结核,图8G-H。他患有进展性肺结核和干酪性肺炎。同样,在结核性肺炎区域也观察到发育不良的空洞。无干酪样肉芽肿。
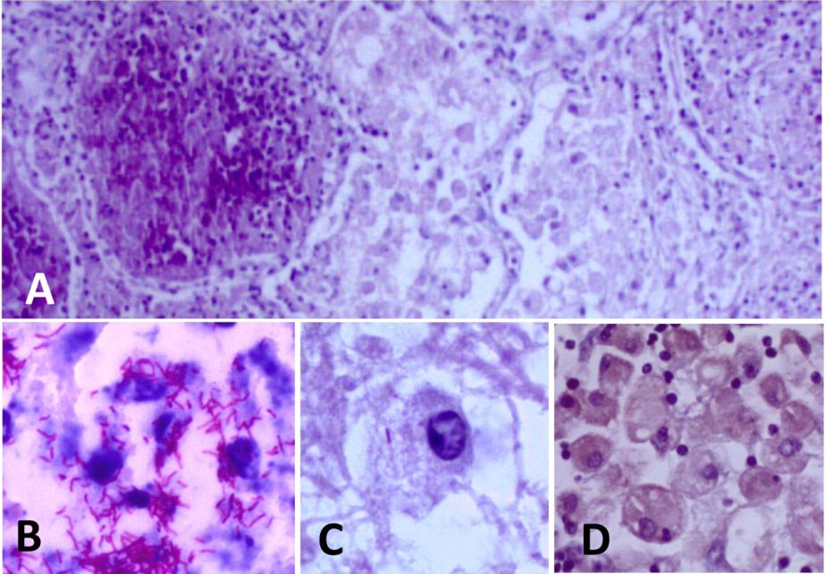
图8.免疫抑制人群的结核。病例1。(A-C)与HIV有关的结核。肺多个区域显示结核性肺炎,肺泡中含有巨噬细胞,有许多AFB(小图),但脂质很少(A)。肺泡壁含有大量的淋巴细胞。大面积的结核性肺炎最近发生了坏死(B)。肺的其他区域也显示出粟粒性肺结核的干酪样肉芽肿(C) (H & E染色100-400倍放大,抗酸染色1000倍放大)。
病例2. 婴儿空洞型肺结核。一名9个月大的婴儿死于迅速恶化的肺结核。肺内有许多干酪样肉芽肿、结核性肺炎的大病灶和空洞(D箭头)。邻近空洞的肺内有坏死性结核性肺炎(E)。活的区域显示有结核性肺炎,细胞中几乎没有脂质(F)。空洞只在结核性肺炎区域发现,而不在干酪性肉芽肿的结节病变中发现。(H & E染色40-200倍放大)。
病例3.(G-H)免疫抑制个体中的结核。一名接受大剂量类固醇治疗的类风湿性关节炎患者死于进展迅速的肺结核。肺部病变为干酪样肺炎,肺泡内有少量巨噬细胞或淋巴细胞,但有大量水肿和纤维素渗出物(G)。急性坏死(H)区出现大量抗酸菌(H & E染色40 - 200×放大,抗酸染色400×放大)。
虽然这些病例中的空洞是由干酪样肺炎坏死形成的,但它们与具有免疫能力的个体形成的空洞有显著差异。抗酸菌在干酪样肺炎中要丰富得多,而且该病通常是全身性的,不局限于上肺叶。部分病灶含有较多的中性粒细胞,而另一些病灶的肺泡含有较多的非细胞纤维素物质和巨噬细胞。巨噬细胞泡沫较少,病变内几乎没有脂质积聚的迹象。在任何情况下,空洞都没有形成纤维壁或支持表面大量AFB的生长,而这是具有免疫能力的个体的典型特征。最后,与具有免疫能力的成年人明显的年龄和病变阶段的异质性相比,病变是相当均匀的。
观察的再现性
这种观察性研究不适于统计分析。然而,观察结果的再现性值得评论。关于结核病病理学的文献既不清楚也不简单。描述随着命名法、理论和技术的发展而变化。每个研究者选择的观察结果似乎与流行的疾病认识相关。这篇论文也是如此。
然而,在大量的出版物和现有的病例中,我们花了很多精力来确定一致的形态学观察。总的来说,Canneti在前抗生素时代末期写的书是最简明扼要的。Rich的长得多的书特别有价值,因为他包括了病例编号和幻灯片,这样人们就可以清楚地看到他所描述的内容。表1列出了本研究每一关键发现的病例数和相关参考文献。
表1.关键检测结果的再现性。
本研究的关键结论是结核性脂质性肺炎引起的空洞,而不是干酪样肉芽肿侵蚀进入支气管。本表列出了病例的数目和来源。
病理学发现
病例数量
病例来源
以脂质性肺炎开始的继发性肺结核
9
1(UT), 5(ME), 3(R)
支气管阻塞是继发性肺结核常见的症状
25
1(ME), 1(UT) 3 (JHU) 20 (R)
结核性肺炎坏死形成空洞
15
4(ME), 5(JHU) 6(R)
结核性肺炎突然坏死可形成空洞
8
4(ME), 3 (JHU), 1 (R)
空洞的形成与咳出肺碎片有关
3
2 (ME) 1 (JHU)
继发性结核病干酪样肉芽肿是对陈旧性结核病肺炎的一种反应
8
1 (JHU) 7 (R)
婴儿和免疫抑制的成人发展成一种不同类型的含少量脂质的结核性肺炎
8
1(UT), 6(JHU) 1(R)
MTB局限于成熟空洞的表面
3
1(JHU), 1(ME), 1(R)
慢性纤维性结核是一个相互独立进展和消退的阶段的混合体
34
2(UT), 25(R) 7 (JHU)
继发性肺结核愈合后肺尖瘢痕
5
UT (4), ME (1)
UK:德克萨斯休斯顿大学;ME:医学尸检;JHU:约翰霍普金斯大学;R:俄罗斯联邦圣彼得堡。
人与动物牛结核病病理
由于目前对原发性后结核病的许多认识是基于对家兔牛分枝杆菌的研究,我们试图研究牛结核病在人和动物身上的病理学。我们发现发表的文章很少。通过巴氏消毒牛奶和动物皮肤试验来预防牛分枝杆菌感染降低了人们对该病的兴趣和研究组织的可获得性,而在抗生素引入半个世纪之前,这两种方法也降低了人们对MTB的兴趣。最近的出版物只描述了最轻微的疾病。然而,Creighton和后来的Francis描述了牛结核病在牛和人类身上的病理。这种病在牛身上被称为珍珠病,因为病变除了在肺、淋巴结和其他器官内外,还在胸膜和隔膜表面形成直径达2cm的不连续结节(珍珠),如图9所示。组织学上为典型的干酪样肉芽肿。这些病变通过软化和侵蚀支气管和其他结构形成小的空洞。多个病变可以合并形成更大的空洞。在感染牛结核病的人和牛身上也观察到类似的病理结果。早在1821年,Laennec就将其描述为一种独特的病理模式。在他1882年的Gulstonian讲座中,Ewart发现了一组结核病例与他描述的“色素性纤维瘤结节的束状肿块”相似。空洞较小,在葡萄状结节内形成。有时,多个结节融合产生较大的空洞。最近在野生动物身上对牛结核病的研究显示,多个小结节类似珍珠或葡萄串,中央坏死产生空洞。牛分枝杆菌确实会引起支气管内感染和结核性肺炎,但这些不会对空洞的形成产生实质性的影响。这些描述与目前牛分枝杆菌感染兔空洞形成概念下的的病理非常相似,图9。所有可获得的信息都与下述概念一致:干酪样肉芽肿的侵蚀形成空洞是对牛分枝杆菌形成空洞的准确描述,而不是对结核分枝杆菌形成空洞的准确描述。
图9. 牛分枝杆菌在人类和动物身上的病理学。牛分枝杆菌的典型病变是直径达2厘米的结节,生长在浆膜表面,包括隔膜、肺和腹膜,以及器官深处。最上面的两个图显示了一个人(a)和一个野牛(B)的胸膜表面的病变。下图为人类(C)和兔(D)肺腔病变切面。空腔是干酪化的肉芽肿,它经历了中心软化和侵蚀到邻近结构中产生空洞。
牛分枝杆菌在人(E)兔(F)和野猪(G)体内引起的蛀牙具有相似的特征。干酪样肉芽肿已侵蚀入支气管。兔和野猪病变图像显示中央软化和液化。唯一可用的人类病变图像显示相似的形态。(H & E染色40倍放大)。
讨论
人们会认为结核病的病理在很久以前就被准确地描述了,而21世纪的科学将远远超出形态学的描述。事实并非如此。部分问题是,自从抗生素的使用,很少有病理学家见过未经治疗的肺结核。他们仍然熟悉原发性肺结核的淋巴结、骨髓和肝脏活检。他们还在免疫抑制患者或晚期原发性结核病患者中发现了播散性结核病的尸检,但几乎从未发现早期原发性结核病。在世界上一些地方进行了切除空洞型肺结核的手术,但对这些组织的研究尚未发现早期原发性肺结核的变化。有几个因素可以解释这一现象。首先,病人几乎总是在手术前用抗生素治疗。抗生素迅速清除肺炎,消除疾病的关键特征。Rich和Canetti在早期的抗生素治疗中报道了这一点,并在病理和放射学文献中多次得到证实。其次,接受手术的病人通常比死于手术的病人病情更轻。人们期望尸检研究显示出比外科标本更严重的疾病。最后,最具参考价值的标本来自于死于急性结核性肺炎的病人,这些病人本来不适合做外科手术。
另一个问题是病理文献的性质。病理变化的描述几乎总是与机制的解释混杂在一起。早在1881年,Creighton就写道:“人类结核病的病理一直被许多困难所包围。对病态现象及其相互关系的解释,在很大程度上依赖于一种不断变化的疾病理论。” 在一个科学飞速发展的时代,命名法和研究重点都在迅速变化,这使得人们很难阅读更古老的文献。结核病尤其如此,因为抗生素的引入导致了研究的长期空白。一代人之后,当人们对疫苗的兴趣重新燃起时,较老的研究人员已经离开了这个领域,他们的注意力转向了免疫学和分子生物学的新领域。在缺乏人体组织的情况下,研究人员对动物模型进行研究,并逐渐使自己相信,它们复制了人类疾病。
接受牛分枝杆菌产生的兔肺空洞作为继发发性结核的模型几乎没有耐药性。许多研究人员提出,肉芽肿被侵蚀到支气管会释放出播下结核性肺炎种子的微生物。后来,研究人员错误地认为这是空洞直接来自于侵蚀干酪样肉芽肿的证据。此外,人们认为MTB和牛分枝杆菌产生的病理是相同的。然而,在约翰霍普金斯医院收集的3万多份尸检中,没有发现一例牛分枝杆菌感染病例。这是可以理解的,因为在分子技术出现之前,需要接种多种动物来识别牛分枝杆菌。很少人会这样做。此外,牛奶巴氏灭菌法的引入大大减少了人牛分枝杆菌的感染,屠宰皮肤试验阳性牛的做法也同样抑制了牲畜的感染。因此,Rich的调查是在美国东部牛分枝杆菌感染已经不再是一个重大的人类或兽医健康问题的40多年后进行的。在缺乏合适的组织检查时,他接受了牛分枝杆菌病理学的流行概念,就像现代研究者接受了干酪性肉芽肿导致空洞的概念一样。
随着谷歌书籍的介绍,牛分枝杆菌感染病理的文献比以往任何时候都更容易获得。牛分枝杆菌在包括人类在内的所有物种中产生的空洞,如Lurie所述,是由于干酪样肉芽肿侵蚀到支气管或其他表面而产生的。它们很少大于2-3厘米,除非多颗融合在一起形成一串葡萄的模式。这是原发性肺结核最具侵袭性的表现。没有证据表明在临床或病理文献中牛分枝杆菌能产生继发性结核。然而,基于牛分枝杆菌的概念主导了关于人类结核病的文献。
牛结核病和牛分枝杆菌的病理差异可以用牛结核病和人结核病的自然历史来解释。MTB和牛分枝杆菌都是专性病原体。它们都不能在宿主体外存活。在典型的流行地区,结核分枝杆菌感染儿童,休眠10至30年,然后重新激活,产生原发后结核,并将感染传播到新的宿主。虽然牛分枝杆菌感染一些长寿的动物,但它是牛和鹿的特有种。牛分枝杆菌必须在牛的2-8年寿命内找到新的寄主。虽然病变之间存在异质性,而且可能是慢性的,牛分枝杆菌不会进入休眠状态。一条皮肤试验阳性的母牛将在几个月内感染整个牛栏。感染了牛分枝杆菌的牛可能会从每一个孔口流出病菌。肺、咽和食道通过唾液和咳嗽,肠道通过粪便,肾脏和膀胱通过尿液,乳腺通过牛奶。这些微生物在体内广泛传播,并形成干酪样肉芽肿,这些肉芽肿侵蚀到任何可用的表面,促进微生物逃逸到环境中。相比之下,结核分枝杆菌有一种非常不同的方式来离开它的宿主感染新的人。在大多数研究中,MTB的毒性比牛分枝杆菌小,对人类的毒性也比许多其他物种小。结核分枝杆菌最成功的情况是,它感染儿童,潜伏数十年,然后在一个有足够免疫力的人的肺部形成一个空洞,以防止身体其他部位感染。这样的人可能活了几十年,把传染性微生物排出到社区内,却从未患过重病。在几项研究中,从空洞型结核病中呼出剧毒MTB的人中有一半没有疾病症状,甚至否认自己有咳嗽。继发性结核是结核分枝杆菌对其宿主人类的寿命和生活方式的一种非常有效的适应。它是一种专性的人类微生物,并不是因为它对人类的毒性特别强,而是因为没有其他物种能够支持它在宿主之间传播。
结核病的复发长期困扰着研究人员。它通常归因于免疫抑制。虽然免疫抑制可以产生播散性感染,但它在继发性肺结核中的作用是不确定的。继发性结核多发生于免疫能力强、具有较强结核菌素特异性免疫反应的青年。免疫抑制和衰老的人会发展成弥散性疾病,但不太可能仅在肺部感染并产生可传播感染给他人的空洞。我们现在知道,继发性肺结核可能是由休眠有机体的复活或环境的再感染引起的。由于创伤、其他感染或营养不良引起的短暂免疫抑制可能导致休眠菌的复活,导致再感染。然而,一旦细菌在继发性疾病找到自己的位置,它们就会逃避,然后破坏强烈的宿主反应。结核分枝杆菌需要强有力的宿主反应以确保其生存。免疫抑制对机体诱导空洞形成和逸出感染新对象的能力是不利的。
这些观察结果与North的假设一致,即继发性结核依赖于肺泡巨噬细胞的局部缺陷。它们积累脂肪形成泡沫,为免疫宿主中的细菌提供了一个安全的避难所。研究的关键问题是,MTB如何在免疫宿主的肺泡巨噬细胞内建立避难所,从而为干酪样肺炎和产生空洞创造条件? 尽管仍有许多未知之处,但仍有一些线索。首先,包括癌症在内的任何方式引起的支气管阻塞都足以引起脂质性肺炎。这种病被称为金色肺炎,因为组织中脂肪含量高,使其呈黄色。这种阻塞性肺炎可发生坏死,空洞和纤维化,与肺结核有些相似。经手术打开阻塞的支气管可使人的肺结核得到解决,而支气管阻塞则与结核性肺炎的发生有关。其次,MTB的菌酸会导致肺泡巨噬细胞积聚脂质,形成泡沫,降低它们杀死被摄入的细菌的能力。最后,最近的研究表明,巨噬细胞和淋巴细胞标记物在原发性和继发性结核病中存在差异。
另一个问题是为什么空洞会突然形成,而不能愈合。我们发表的数据表明,脂质海藻糖6,6 '二菌酸盐(TDM)在两组生物活性之间转换的能力可能是这些过程的关键。TDM位于MTB表面,保护菌体不被巨噬细胞杀死,限制免疫应答。如果它脱离菌体并与足够大的脂质表面结合,TDM就成为对巨噬细胞具有高度毒性的T细胞免疫原。我们认为,分枝杆菌产物和宿主脂质在肺泡中缓慢积累,直到达到临界浓度,激活TDM毒性,导致快速坏死和空洞形成。
动物模型与继发性结核病的相关性值得评论。在大多数出版物中,动物模型的相关性是基于作者对人类疾病的理解,我们认为这种理解存在明显的缺陷。动物模型提供了有用的假设和某些人类无法观察到的事实,但在任何情况下,它们都不能取代人类的观察,从而最终了解人类的疾病。结核分枝杆菌是一种专性的人类寄生细菌,因为在自然条件下,人类是唯一能够将感染传染给他人的物种。这种传播最有效的媒介是成熟的肺空洞。据了解,没有动物会产生这样的空洞。然而,动物确实会出现与大多数感染早期相似的病变。干酪样肉芽肿的动物模型很多。我们报道了小鼠早期继发性肺结核慢性进展的一个模型。泡沫巨噬细胞中分枝杆菌抗原的发现进一步证明了该模型的有效性。在包括小鼠、大鼠和猴子在内的几种动物中都发现了这种带有泡沫状巨噬细胞的渗出病变,但这些病变通常被认为是非特异性的,而不是继发性疾病发展阶段的模型。灵长类动物的慢性病变包含多种病变,可能是慢性纤维结核的模型。我们正在迅速开发用于对固定的人体组织进行精确和定量的免疫学和分子研究的工具。希望在更好地理解病理学的指导下,这些工具可以用于识别疾病特定阶段的动物模型,并最终用于理解和控制结核病。
END
温馨提示
欢迎省内外其他专家积极参与、指导、交流,如有病人需要会诊可按照下面流程预约办理。
会诊时间:每周三下午 3:00-5:30
会诊地点:郑州大学第一附属医院东院区 门诊大楼3楼 感染多学科会诊会议室
预约电话:
13673392121 0371-66278310
主任联系电话:
13526625048
预约流程:门诊和住院患者,提前至郑州大学第一附属医院东院区门诊楼3楼门诊办公室(门诊3层 门诊办窗口),预约挂号“感染多学科会诊”,并登记排号。会诊费:240元/人·次。
备注:会诊病人请准备好所有资料(检验及检查结果,如既往曾住院,建议复印完整病例资料以供参考比较)
感染诊治,你我共同参与!
微信公众号:感染多学科会诊
关注我们,关注感染!
版权声明
本微信平台属公益性医学类学术平台,不涉及任何商业利益,转载系出于传递更多学习信息之目的,如有图片内容等不想转载传播可与我们联系删除。
上一篇:保护未成年人权益 关注下一代成长
下一篇:成年人的漫画
最近更新游戏资讯
- 秋瓷炫老公什么星座(秋瓷炫血型星座)
- 法国电影中的女性符号和觉醒
- 惊人的秘密:颜色政治背后的渗透与分化
- 让BB接受家庭伦理教育洗礼
- 语言礼仪十篇
- 美军欲打造AI战机部队 面临严重伦理问题
- 医学伦理学:医学伦理学的主要观点和基本理论
- 豆瓣9.0分以上|50本好书推荐
- 达尔文的故事赏析八篇
- 港台国学类学术会议信息(四十)
- 东野圭吾本格推理极致之作《回廊亭杀人事件》开票5折抢
- 辩论赛包含哪些技巧?
- 【铸牢中华民族共同体意识
- 徽州醉春丨水墨画里的徽州-婺源篁岭-江岭- 新安江- 西递- 呈坎丨六天五夜
- 心理治疗总论 【医学心理学与精神医学版】
- 苏德超教授的新论文:道德绑架为何难以避免
- 企业社会责任综述十篇
- 政务礼仪的作用(五篇)
- 韩素希出道最大尺度 泄朴海俊指导秘诀 咬牙拍完《夫妇》只有2感想
- 《封神三部曲》:为什么要重述这个神话?
- 输血和喝血真的能帮助女性和老人保持年轻吗?
- 集齐九部《星球大战》,教你如何把家庭伦理拍成太空歌剧
- 这十部顶级英美剧,是当之无愧的业界巅峰,每一部都值得通宵去看
- 邪王宠妻之金牌医妃
- 【博览】《科奖在线》:“破四唯、立新标”典型案例官宣,项目/人才/成果未来可能这