手机访问:wap.265xx.com人到中年,矫正牙齿,是对还是错?
提纲:
1、人到中年,啥是中年?
2、是否需要矫正牙齿?
3、目前的就诊患者中,事实上中年人的比例有多少?
4、成年人矫正的风险有哪些?
5、举几个中老年正畸的案例
1、经常有自称“80/90后老阿姨”的患者会问我,我这个年纪还可以正畸吗?我总是一副黑人问号脸,明明满脸的胶原蛋白就自称老阿姨……郝医生每次都会义正词严地说:你不是老阿姨,你当然可以做正畸。即使你真的是老阿姨,也可以来做正畸!
正畸曾经主要面向的对象是青少年,所以正畸的治疗对象只区分青少年以及成年人,而不区分成年人里的青年、中年、老年,因为本质上只要不是青少年,他们的差别都不大。有的青年也有很严重的牙周疾病,和七老八十的牙齿状况类似;而有的老年人牙齿钢钢的,就像青年人一样。
顺带辟个谣:老掉牙,并不是老了一定掉牙坏牙用假牙,是因为得了某些“口腔疾病”才会导致牙齿的缺损和丧失,如果你一直都没有就诊的话,所有问题一直积累最终导致掉牙。但是如果经常口腔检查,早发现早诊断早治疗,老年人一样牙齿棒棒的。
2、我到底是否需要正畸治疗呢?说到需求,英文里面有两个类似的单词,一个是demand,一个是need。这两个词是有区别的,区别在于demand表示患者自己认为自己有必要做正畸,need表示医生从专业角度讲需要做正畸。1.什么是demand我们发现有很多日本女明星都牙不齐,为什么呢?首先因为人家很自信,觉得那是美。觉得有小虎牙,中线不齐等等是每个人特殊的标志,是独一无二的,会觉得那个人更真实,更可爱。人家觉得整齐划一的齐牙齿并不一定美,有自己的小特色大家才会记住他。所以他们笑得很灿烂,不怕露出自己不齐的牙齿。相对来说,国内的演员大多仍然追求的是齐牙齿的美,对牙齿不齐的自信程度都会降低。比如说徐静蕾,演电影的时候会看出来,对机位有要求,尽量不暴露牙齿不齐的缺陷,同时笑的时候具有一种希望掩盖牙齿不齐的做作感。老一辈的演员们相对中规中矩,希望牙齿齐才会显得美;新生代演员伴随着社会的发展,正变得越来越有自己的个性。你所看到的有很多牙齿不齐的那都是年轻人。正畸的demand来自于自己对美的理解。有些人觉得有颗虎牙挺可爱的,有些人还喜欢微龅牙,有些人觉得还是牙齿齐最美。如果你觉得牙齿突,并且愿望那么强烈,觉得一直丑一辈子会绝望,那就去正畸,不需要听别人的建议,甚至不要听男朋友女朋友的建议。别人再说你已经很美了不需要矫正也是别人对美的态度,不是你自己的态度。成年人了,有选择和把握自己的权利,有自己追求美丽的权利。自己的审美与别人无关。正畸之后,更自信的笑容也会增加你的自信,从而增加你的魅力。话说整牙和不整牙,同一个人散发出来的气质是不一样的。牙齿不齐会显得很可爱很萌,牙齿齐了以后相对更显得成熟稳重。萌萌的是小美女,但能登上国际大舞台的女神还是需要整齐的牙齿的吧。还有社会文化,牙齿矫正观念也对个人对美的理解有关系。在美国,白人小孩都戴着牙套做矫正,那是身份和家境的象征,随着社会的发展,黑人小孩也有很多戴牙套的。看美国的动画片中也可以发现动画片里的孩子也戴着牙套,这就是一种经济实力展现的文化。如果大家都认为孩子该整牙了和该理发了一样,那么全社会对美的需求就基本一致——牙齿整齐是美。国内的大城市已经形成了整牙的大趋势,以前整牙的孩子会被笑话被取外号牙套妹,现在不整牙的孩子反而成为了异类呢,社会变化真是快!2.什么是need正畸治疗是一种治疗方式,针对的适应证是牙颌面畸形。虽然绝大多数人都是因为牙齿不齐不美观的主诉进行正畸治疗的,但是不可否认的是,正畸治疗可以治疗因为牙齿、颌骨、面部畸形引起的功能不调的疾病——正畸治疗可以治病。如果医生认为你的错合畸形已经影响到你的功能,以至于影响到未来牙齿的健康,那么你需要进行正畸治疗,这就是need。这里的功能并不是指能不能吃饭,几乎任何错合畸形都不影响吃饭。这里的功能指的是医生检查的静态和动态咬合功能问题。整牙齿不能只看牙齿这一个结构,牙齿属于口颌系统的一部分。口颌系统是一个复杂的系统,由骨骼、肌肉、关节、牙齿等各种结构组成,很多结构都是彼此处于平衡状态的。比如开口肌群和闭口肌群的力量应当是平衡的,比如为了保持头部前后的平衡,脖子前方的肌肉应当和颈部后部的肌肉力量平衡,比如为了保持头部左右的平衡,面部左侧和右侧的肌肉力量应当是平衡的……如果个别牙位置有问题,骨骼发育有问题,肌肉力量不平衡,那么会牵一发而动全身,导致口颌系统的稳定性降低,长期累及最终导致颈部疼痛,导致驼背,导致关节不适等等症状。何况人的口颌系统并不是为了保持平衡静止不动的,人还需要咀嚼运动这种“重体力活”,我们的最大咬合力可能会达到30-50kg的力量,如此大的力量,如果口颌系统中存在微小的创伤,经过成年累月的积累,就是很大的创伤。错合畸形真的有这么大的危害?是的。口颌系统总会有薄弱环节,长期累积的微小创伤总会损伤口颌系统中最薄弱的部分。有的人薄弱在牙齿咬合面,久而久之就会出现牙齿重度磨耗;有的人薄弱在牙齿颈部,久而久之就会出现牙齿颈部楔状缺损、牙龈退缩和牙齿敏感;有的人薄弱在牙周,久而久之就会出现牙齿的牙龈退缩、牙齿松动甚至牙齿移位;有的人薄弱在关节,久而久之就会出现关节磨损、弹响和疼痛不适。牙齿排列的形态应当和牙齿的功能相适应,虎牙牙根最粗最长,是我们的面部支柱,我们的下巴在左右运动的过程中,虎牙应当起到引导的作用。我们很常见的一种情况,由于牙齿拥挤虎牙突在外面,导致别的牙根瘦弱的牙齿承担起这样超过它常规承受的力量,久而久之这些牙就会出现磨耗过重、牙齿敏感、楔状缺损甚至牙齿松动等状况。有些才四五十岁但已经全口重度磨耗的患者,个别牙齿已经磨耗过多露了神经,关节不适情况也比较严重。这样的患者可能需要接受全口牙齿做烤瓷牙的咬合重建,这样的咬合重建不仅花费巨大至二十万,治疗疗程也长达一年多,经受的痛苦也很多。如果这样的患者在年轻时候接受正畸治疗,也许就可以避免这样复杂的后期治疗。但是有些患者有轻微的错合畸形,但是并没有相应的功能损害。这样的病例就没有正畸的必要(need)。但是如果患者有主观改善需求(demand),那也是可以做正畸的。
以上内容取自我写的口腔科普书《一口好牙 把口腔医生带回家》
3、我在公立医院口腔科,我目前的成人患者的比例大概在60%甚至还要多。这和我7、8年前在北大口腔读正畸研究生的时候完全不一样,在北口的时候,我接的几乎80-90%都是青少年病例。所以我和我们医院的研究生说,你们接的青少年太少,根本体会不到你能塑造孩子们面型的成就感有多大。没做青少年,就不理解生长发育有多强大,很为研究生们感到遗憾。但是前几天听上海九院的隐适美讲师说,现在上海九院的正畸患者成年人也是这个比例了,不仅成年患者比例升高,中年甚至再往上的比例也升高了。
4、正畸的风险是客观存在的,但是成年人和青少年的风险都是类似的,并没有说成年人矫正牙齿就一定会面临未来牙齿早脱落的问题。成人口颌系统的咀嚼器官已经建立了一个平衡,不管这个平衡是好的还是不好的,肌肉、咬合、关节已经适应了这样的平衡。打个比方是成人的口颌系统已经建立完全了,是个完全的房子,虽然这个房子可能窗户不正门是歪的,但是好歹五脏俱全。正畸治疗要先把原有的房子拆掉,再建立新的大厦。正畸治疗一定会打破原先已经适应了的平衡,建立一个新的平衡。打破旧平衡和建立新平衡之间就会有风险——你能不能适应这个新的平衡。大部分人可以适应,但是少部分人适应能力差,就出现关节不适,甚至关节病。正畸治疗后都会面临复发的风险。青少年正畸治疗建立了一个良好的框架让牙齿相互磨合自我调整,直到建立一个完美咬合。而成年人靠短时间内建立的新框架会面临更大的复发风险。我们面对的是想尽量降低复发风险,希望牙齿不要动。同时我们又希望牙齿尽快调整,逐渐磨合获得一个完美精确的咬合。这两件事根本就是矛盾的嘛,哪有又希望动又希望不动的。所以成人正畸,究竟要戴多久保持器,一直是一个有争议的话题,有的人主张要终身佩戴,他们是站在复发风险大的那一面;有的人主张仍然和青少年一样佩戴一段时间就可以了,他们是站在希望牙齿尽快磨合建立更完美的咬合的那一面。
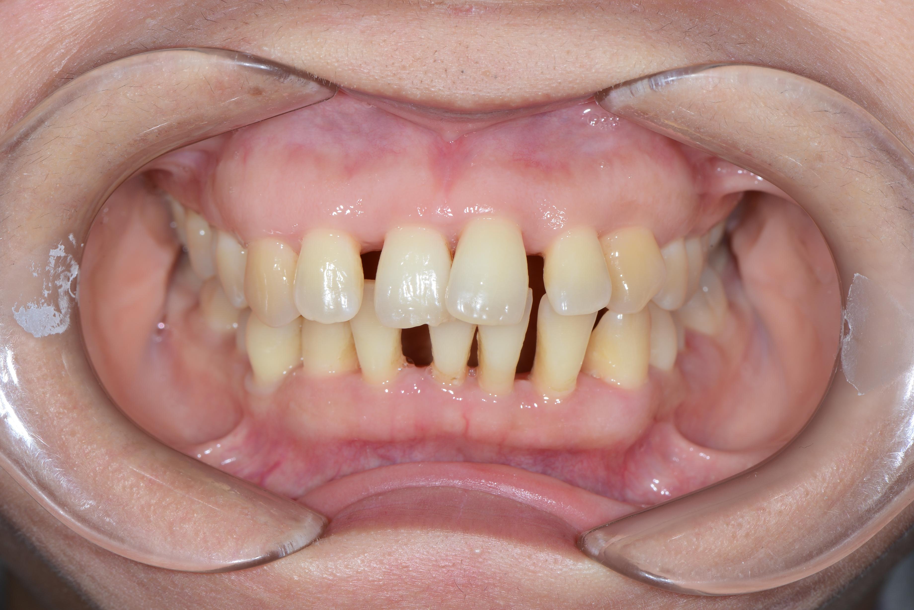
5、38岁女性患者,重度牙周病导致牙齿全部移位,之前无论如何就是不愿意做正畸。牙周医生苦口婆心劝她做正畸,对牙周的维护有好处,好说歹说终于答应了。



简直就变了一个人好吗。你看治疗前,你觉得她年纪多大?治疗后,你再看?
正畸改变人的气质,这种改变,你品,你细品。
还有一个例子,就是正畸界泰斗北大口腔傅民魁教授,在70岁的时候,由他的弟子给他上了正畸固定矫治器(钢丝托槽),身体力行告诉大家,70岁也可以做正畸。
哦,最后再说一句。
如果矫正是你心心念念想做的,迟早都要做的,那么早做一定比晚做要好。
不希望过了几年,看到一个问题:
“人到中老年,矫正牙齿,是对还是错?”


如果医生技术好,有正常审美那还可以考虑,
否则,
不是成了洪尧的凸嘴,

就是成了扑哧君闪瞎路人的白,



分分钟让那几万甚至十多万打水漂;
医生没水平,自己都不长点儿心? 做之前都不去看看他的案例?
某友的视频,看得我心惊胆战
有个别轻微不齐的牙齿,做烤瓷牙可能是雪中送炭,省钱省时省力;
(我更建议做瓷贴面,看后面解释)
但对多颗不齐,甚至整口不齐的牙齿,简直是一口坏牙爆发的催化剂;
除了要磨掉健康的牙齿组织之外,

金属内冠几年后多半会出现牙龈黑线,牙龈萎缩,而全瓷牙虽然有一定硬度,但咋也比不上真牙,不能咬太硬的东西,不然就会嘎嘣脆;做一两颗可以避免参与咀嚼,但,做一口牙,忌口的就比较多了;
再加上遇到庸医技术不够,牙冠和真牙之间没有粘合好,里面的真牙还会发生龋坏,借着就是治疗治疗再治疗........

要是本身就有凸嘴的情况,做完烤瓷牙可能就更凸;
我是不建议烤瓷牙用来修复本来就非常健康的牙齿,完全没必要;一般更适合牙周问题很多,本身缺损,龋坏的牙齿,那时烤瓷牙才可能成为救命稻草;

最直接的,可以看看这篇回答下的评论,几乎都是中年矫正者,
三十几岁还有必要矫正牙齿吗?
未成年和成年人的矫正,最大的区别是,成年人的恢复时间要长一些,看看脸上逐渐起来的皱纹,逐渐消失的胶原蛋白,就应该能理解 ,
成年人的骨生长发育已经停止,骨代谢和牙槽骨改建会变得缓慢,牙齿移动也相对变慢;时间自然会变长;
另外,对于骨性的错颌畸形来说,成年人(中年人)的颌骨已经发育完成,只做矫正,对颌面的改变基本没有;但对快速发育期(6-12岁)的小孩子来说,颌骨的形状位置都在变化,效果就会很明显;
这也是为啥,一直说越早矫正越好的原因;未成年人在颌面发育的时候,做干预矫正,效果好且稳定;

错过青少年的最佳矫正时期也不要紧;成年人矫正对年龄没有特别的要求,最好的时机就是现在;
另外,如果龅牙、凸嘴选择用贴面、烤瓷牙来掩饰的话,效果真的不明显,多此一举,让嘴更突,更龅;通过矫正把牙齿纠正排齐才是根本;
——————————假装分割一下———————
总结大部分粉丝反馈以及之前看的案例,年纪稍大一些在矫正可能会出现的问题;
1、牙套脸 这个讲了很多次,一是和咀嚼肌的萎缩有关,多锻炼锻炼可以恢复得不错,也不是人人都会出现的;二是、面部脂肪的减少,正常衰老等,这个是正常现象;不多说;
江七七:牙套脸是什么?
2、黑三角 这个和年龄没有多大关系,主要和口腔卫生、医生技术或身体疾病、矫正方式等有关;
前两天有一个戴钢牙套的粉丝问,为什么牙龈萎缩得这么厉害,医生算是专家水平的;了解一番才知道,矫正一年蛀牙三颗,这口腔卫生得有多差,牙龈不萎缩才怪;
如果矫正前有牙周炎没有治疗,牙龈只会萎缩得更严重(一般正规医院的医生都会提醒);
如果医生方案设计错误或加力过大也会出现牙龈萎缩的情况;一般戴金属牙套的不容易清洁口腔,出现牙周炎的情况还是多;不过也可以避免;

3、反弹 原因很多,自己不健康的口腔习惯没有改变; 牙周组织重建慢,牙齿固定需要一定时间;成年人多有不同程度的牙周炎,矫正期间牙周健康不稳定,也会容易反弹.......
除了形成健康的口腔习惯以外,保持器是必须戴的;
一般我是建议终身戴,当然也不是终身戴上24小时,不现实;
前一两年可以根据医生要求戴;后面可以隔几天戴一次,或者晚上戴;
不戴的结果毋庸置疑的反弹,失败!

总之,
【文章出自患者自述】
我决定正畸的时候,已经32岁了,是个七岁半小男孩的妈妈。
为什么要正畸呢?都一大把年龄了,并且还结婚生子了,需要费这么大的劲来捯饬自己吗?其实我的初衷不是为了变美,而是为了解决困扰了我多年的牙齿问题。

我原本的牙齿,不止有一点点问题,而是有很多的问题,首先是不整齐,严重的深覆合,上牙有些外凸,导致我有点嘴凸;
其次我的右上二号牙牙根在多年前就已经坏死,虽然我做了烤瓷牙套遮住了它已经变色的底色,但是因为牙根也坏死了,那颗牙牙龈的颜色也是偏黑的,我只要一笑就会露出来,这导致我都不敢开心大笑,每次一下我就用手捂着嘴,特别别扭;
再次是我的下牙经过两颗智齿的摧残已经惨不忍睹,因为我的脸窄,两颗智齿都是阻生齿,在长达几年的时间里,它们一直想长出来,但是又没有空间,只好一直反反复复的发炎,我中途求医数次,但每次给予的治疗都是上药消炎,后来是我自己久病成医,去医院果断让医生动手术将我的两颗阻生齿挖了出来,其中痛楚不可为外人道,虽然去掉了让我牙齿反反复复发炎的罪魁祸首,但是我其它的牙早已经被挤得歪七倒八了,并且因为牙齿不齐我又开始出现了牙周问题,
再有,我的一颗磨牙因为以前补牙的材料不好,并且填充面积过大,将我自己的牙体崩掉了,就是只剩牙根没有牙体了,后来牙根也慢慢坏掉,只能拔掉了做种植牙,这一口先天牙质不好的牙齿,竟将我折磨至此!

原本我以为只能慢慢一点一点的治疗我这一口坏牙,无意中我从朋友处得知正畸可以将牙齿排列整齐,并且还会拔牙,我就想,可不可以正好将我坏掉的牙都拔掉了再重新排整齐呢?
我通过朋友的介绍找到了周绍楠博士,见面的时候,周博问我为什么想要正畸,我猜他是被我的外表蒙骗了,因为我不说话的时候就是一名安静的中年美少女呀,我张开嘴向他展示我复杂的牙齿状况,他果然意外了,我向他确认了确实可以只拔坏牙齿再将牙齿排列整齐的方案,然后我当场就决定了我要正畸,之后的事实证明我的决定是那么的明智和正确。

我记得那是2015年3月的一天,我决定了在别人觉得不适合戴牙套的年龄用隐适美来矫正牙齿,中途我为了不缺着门牙去日本旅行,迟迟拖延着拔牙的时间,还被周博骂了,在我从日本回来的8月,我正式戴上了隐适美,我的牙套第一次做了82副,精调的时候,第一次做了36副,第二次做了24副,从牙套的数量上就可以看出我牙齿的复杂状况。

现在到了2019年的3月,历经三年半,从北京口腔医院正畸科的诊室,到北京赛德阳光口腔门诊,再到深圳赛德阳光口腔门诊,哈哈!
好像周博去哪我就跟到哪,我的牙齿矫正在3月27日这天正式结束了,我当年所有的牙齿问题,在矫正的途中一点一点全都消失不见了,一口不敢示人的坏牙变成了一口整齐漂亮的小贝齿,以前一刷牙就牙龈出血的状况在戴隐适美的第二年就已经彻底的被改善,现在的我,怎么笑都不害怕,怎么笑都很美!
真的特别感谢周博,他不仅仅帮我解决了我所有的牙齿问题,还给了我完美的笑容,让我更加自信和美丽!







矫正完成了,一起看看牙齿矫正给我带来的变化吧~





1、 不要怀疑,正畸不仅能解决你所有的牙齿问题,还顺带能调整面部,相当于整容了。
2、 正畸没有年龄限制,牙齿还要伴随我们大半辈子,一口好牙真的很重要,隐适美虽然贵,但真的很值得。
3、 牙医的选择很重要,遇到一位负责任的好牙医,就一定不要犹豫,放心的将你的牙齿交给他,他会给你超出预期的效果。
别说到中年了。24岁开始矫正的我,矫正三年,拆牙套快一年了。从牙齿矫正快结束,就发现各种后遗症,黑三角,牙龈萎缩,牙周炎,牙齿松动,只要是牙齿矫正的危害,无一例外的发生在我身上。碰巧很倒霉,遇到无良牙医,还不是可以独立行医的医师给我开始矫正,矫正期间获取医师资格证。危害产生,矫正过程中不良操作太多,却因为没有留证据,记录的习惯而没办法维权。牙齿矫正,过程漫长,出了问题,会让患者举证证明。这些维权不仅不能有出头之路。矫正的后遗症后,你会发现,行业潜规则有多可怕。你就只想去治疗后遗症的症状,你去到的每一个牙医,都不会告诉你真实的治疗方法,只能告诉你,等到最严重的时候,再来解决,否则,只能观察,等待……而每天每时每刻,每一顿饭,每一次咀嚼,总是会有疼痛提醒你,提醒你矫正是个错误!提醒你,所有的疼痛,你只能承受!你永远,没有办法摆脱!如今二十七八岁的我,牙口不如有一些中年人……今天,从我发现牙齿有后遗症起,刚刚好一年,像一个可恶的循环。2021年2月3日我第一次发现牙齿有了后遗症……2022年2月3日在我努力过好生活,享受生活,去迎接阳光的时候,大牙的疼痛和松动又在提醒我这份疼痛。过分的是,牙齿的治疗费用和风险,都将是我不能承受的。单身一个人的我,在这个年纪,是该全心全意工作,还要寻找家庭的归宿……还要是不顾一切,扑在维护权益,跟恶势力牙医行业斗争?事实是,牙齿的痛,在摧毁我活泼乐观的性格,在改变我积极面对人生的态度,一个在别人眼里的开心果,因为牙齿,变得时刻会突然抑郁,会痛苦……在这偌大的世上,一想到我的牙医还把良心抛下,继续在大赚钱财。一个接受过高等教育的我,都只能哑巴吃黄连……这世上还有虚无数的被埋没的黑暗经历……抱歉碎碎念了,因为此刻我的心很难受,牙齿松动,疼痛,在摧残我的意志……综上,中年人,不要矫正了。不要找苦吃,就算比较幸运,没有特别大的后遗症,牙齿也会松动,没有自己的好。矫正,真的是有黄金年龄的,我就是当初牙医告诉我,矫正,任何年龄都可以,而事实证明,没有牙医会放过送上门的钱财。
作为一个在北大口腔医院工作10年的医生,对于这个问题我来说下自己的看法:
为了越来越突的嘴?
为了一天刷5遍依然刷不干净的错落有致的牙?
为了某一颗越来越偏离正常轨道的小淘气?
为了实现从年少时就想执行但一直因故蹉跎了N年的夙愿?
从某种意义上说,矫正牙齿是一项容易实现、且着眼于远方的投资。
也许治疗之初,有人拔掉了4颗、6颗或者8颗牙齿,有人为此生平第一次进了手术室,有人在牙龈上打了若干颗钉子,有人每个月都需要顶着上司的压力请假来找牙医复诊,有人会花半年的工资支付治疗的费用。但请你想象一下2-3年后可以收获一口整齐的牙齿,可以收获完美的侧颜,可以收获放肆、放松的笑,可以收获超级丝滑的亲密体验,大多数人都觉得当初的决定是对的。因为这是人到中年后,健康和美观的双重改善,身体和心灵的精准抚慰。
下面和大家分享一个正畸正颌联合治疗的案例:她来找邓医生的时候就目标很明确,就是可以希望自己收获完美侧颜,当然结果也非常的好,做完之后,她还很高兴的和邓医生分享了自己的婚纱照,整个人都洋溢着幸福。



对于她的决定即使是在这么成功的情况下,我相信还有很多网友不理解,但对她自身而言,这次的决定非常的正确。





1. 错在以偏盖全,看了一篇对比帖就以为所有的正畸就能达到整容的效果。事实上只有面型突并且采用拔牙矫治大量内收的患者才会有显著的面型的改变,如果本身就是直面型,也没有采用拔牙的方法,仅仅排齐牙齿或改善咬合是不会对面型产生明显改变的。
下面这个案例很好的说明了这一点,正畸可以改善我们的面型,但正畸的作用可远不止如此。正畸之后咬合的改善,对于这个叔叔而言更为重要。正畸之后,生活质量也提高了很多,现在的他可以开心的享受美食,而且这一口整齐的牙齿,是不是也更加的年轻了呢?











2. 错在盲目逐利趋弊,对风险没有认知。事实上正畸作为一项治疗,在正畸过程中会有一些风险,对于过程中风险的认知也尤为重要。所有的中年矫正都会伴随牙龈退缩,不同程度的牙套脸,飘忽不定的轻微疼痛和不知道什么时候造访的咬合不适。











下面和大家分享的就是一个牙周炎的案例:经过正畸--全科的联合治疗,让牙齿安全稳定地在牙槽骨中移动,并没有导致牙周炎的加重。











希望这个案例可以给牙周健康较差的朋友一些正畸的信心~
写在最后:在我从业的这十几年中,我劝退过很多患者,也强烈安利过周边的朋友去做正畸。对于正畸治疗,不分年纪,只看利弊。全面认知,理性正畸,明确主诉,匹配结果。
希望大家都能做出正确的决定!

如果大家对于正畸还有所犹豫,可以点击下面链接添加我微信好友,在工作之余,我很乐意给大家答疑解惑。https://xg.zhihu.com/plugin/75ada3283405b4c2f006b93735496048?BIZ=ECOMMERCE
我是小身材大能量的邓医生,北大正畸专业博士毕业,北大口腔工作十年,案例3000+
希望大家都
上一篇:日本俳句选:夏卷
下一篇:电影《代孕之造人日记》将上映 挑战伦理极限
最近更新游戏资讯
- 秋瓷炫老公什么星座(秋瓷炫血型星座)
- 法国电影中的女性符号和觉醒
- 惊人的秘密:颜色政治背后的渗透与分化
- 让BB接受家庭伦理教育洗礼
- 语言礼仪十篇
- 美军欲打造AI战机部队 面临严重伦理问题
- 医学伦理学:医学伦理学的主要观点和基本理论
- 豆瓣9.0分以上|50本好书推荐
- 达尔文的故事赏析八篇
- 港台国学类学术会议信息(四十)
- 东野圭吾本格推理极致之作《回廊亭杀人事件》开票5折抢
- 辩论赛包含哪些技巧?
- 【铸牢中华民族共同体意识
- 徽州醉春丨水墨画里的徽州-婺源篁岭-江岭- 新安江- 西递- 呈坎丨六天五夜
- 心理治疗总论 【医学心理学与精神医学版】
- 苏德超教授的新论文:道德绑架为何难以避免
- 企业社会责任综述十篇
- 政务礼仪的作用(五篇)
- 韩素希出道最大尺度 泄朴海俊指导秘诀 咬牙拍完《夫妇》只有2感想
- 《封神三部曲》:为什么要重述这个神话?
- 输血和喝血真的能帮助女性和老人保持年轻吗?
- 集齐九部《星球大战》,教你如何把家庭伦理拍成太空歌剧
- 这十部顶级英美剧,是当之无愧的业界巅峰,每一部都值得通宵去看
- 邪王宠妻之金牌医妃
- 【博览】《科奖在线》:“破四唯、立新标”典型案例官宣,项目/人才/成果未来可能这