手机访问:wap.265xx.com不同胰腺肿瘤的鉴别诊断
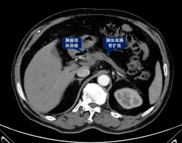
胰腺癌,一般指胰腺导管上皮腺癌(PDAC),好发于中老年人,临床上可以有新发糖尿病、背痛、黄疸等表现,影像学特点是乏血供肿块伴有胰管扩张、胰腺实质萎缩,容易侵犯胰腺周围血管,恶性程度高、预后差,有特异性肿瘤标记物Ca199。病理特点可以胰腺组织内基本结构被破坏,异型腺体浸润性生长,侵犯神经,间质纤维组织增生。尽可能早发现早手术(但是太难了),如不能手术,则应通过辅助化疗或放化疗结合降期,以达到手术时机。?
胰腺神经内分泌肿瘤(pNET),大部分为实性,但也有发生囊性变,形态学表现多样,需要与其它类型的胰腺肿瘤进行鉴别,在没有病理,没有68Ga和18FDG PET双扫描的情况下,如果贸然放弃或手术都不适合。影像学上,富血供是最具特征的,表现为增强后整体或周边明显强化、或囊实性病灶伴强化结节。病理主要靠免疫组化,AE1/3,CgA,CD56,SYN,E-cad阳性,β-catenin膜阳性。当G3级NET与NEC难以鉴别时,可进行基因突变检测,一般而言,NEC 往往具有 P53 基因突变和(或)RB 基因缺失,胰腺 NET 可能存在 MEN1、ATRX、DAXX基因突变。(下图为一例典型的pNET G2,左上为增强CT表现,右上为68Ga-DOTATATE PETCT表现,下方为病理免疫组化结果)
胰腺实性假乳头状肿瘤(英文名简称SPN或SPT),可能是最容易和神经内分泌肿瘤混淆的肿瘤,好发于年轻女性或男童,常体检发现,和神经内分泌肿瘤一样,长得很慢,很多会出现囊内出血,患者一过性腹痛来查,出血后病灶也会短时间增大,影像学特点是“浮云”征:囊性成份中漂浮着实性成份,实性部分中等度进行性强化。SPN是低度恶性上皮源性肿瘤。病理形态下肿瘤富于血管,肿瘤细胞分布成假乳头状,免疫组化特征是β-catenin核浆阳性,CgA阴性,E-cad阴性。手术即可治愈,复发转移风险极低。
腺泡细胞癌(ACC),是比较少见的胰腺恶性肿瘤,也很容易和神经内分泌肿瘤混淆。好发于中老年人,没有特殊的临床症状,少数可伴有AFP升高,表现为多结节状或分叶状,体积大者中央可以发生囊变坏死,增强后中低度强化、一般低于正常胰腺组织,与周围组织分界较清,此点不同于胰腺导管癌。腺泡细胞癌高度恶性、但预后比胰腺导管上皮腺癌好。病理特点是具有多种结构模式的致密细胞肿瘤,肿瘤细胞巢周围有许多小血管,间质缺乏纤维反应,常见血管侵犯。肿瘤细胞核呈泡状,核仁明显,免疫组化通常Trypsin阳性。腺泡细胞癌通常生长抑素受体显像为阴性。(下图为一例胰头腺泡细胞癌临床资料,本例可见肿瘤代谢不高,肿瘤中心DOTATATE未摄取,边缘局灶摄取增高),该肿瘤很讨厌,能做的就是手术,化疗没什么好的方案。
粘液性囊腺瘤(MCN),女性多见,影像特点:单房多见,囊壁可能有钙化(蛋壳样),体尾部多见;病理特点:MCN肿瘤多为囊性,囊壁内衬单层粘液柱状上皮,上皮下方为卵巢样间质。潜在恶性,建议手术。(下图为一例典型的MCN的CT表现,囊壁会有轻度强化)
浆液性囊腺瘤(SCN),多发微囊,中央可有瘢痕,CT增强后表现为轻度强化,中心钙化,“石榴”,这个良性肿瘤,一般不需要手术,只有在出现压迫症状(腹痛,呕吐,黄疸等)或不能排除恶性肿瘤时候可考虑手术。病理特点:SCN肿瘤由大小不一的囊腔构成,内衬透明立方上皮,上皮下方为毛细血管网。(下图为一例典型的SCN的MRI表现)
胰腺导管内乳头状黏液性肿瘤(IPMN),是一种具有一定恶变潜能的胰腺囊性肿瘤,分为主胰管型,分支胰管型和混合型。
主胰管型IPMN的主要特征为主胰管呈节段性或弥漫性扩张,扩张的胰管直径往往大于5 mm;分支型IPMN,MRCP可显示病灶与胰管相通,像“提子”一样。主胰管型IPMN的恶变风险大于分支型,反复胰腺炎,主胰管扩张大于10mm,胰管内有附壁结节,胰液细胞学有高度异型细胞,Ca19-9升高等都是高危因素,会建议手术。
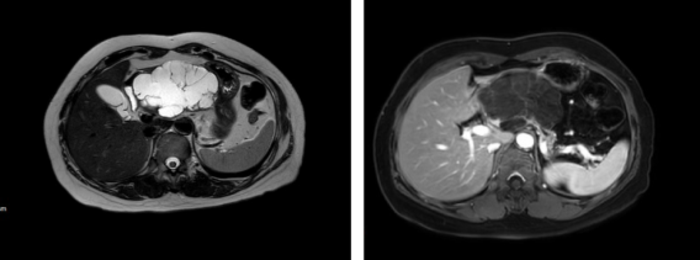
胰母细胞瘤,是一类罕见的胰腺外分泌恶性肿瘤,占所有胰腺外分泌恶性肿瘤<1%,多见于婴儿和儿童,但也会出现在成人中,男女比例接近。病变可以发生在胰腺各个部位,通常为实性肿块,约30%的胰母细胞瘤会分泌AFP。组织学上,胰母细胞瘤由可能混杂腺泡、导管、胰岛细胞的原始小多角形或梭形细胞组成,免疫染色可查见由腺泡、导管或内分泌标志物。原始细胞中可见特征性“鳞状”小体。成人胰母细胞瘤似乎较儿童差,局限性肿瘤手术切除为首选。胰母细胞瘤在CT扫描下显示为一巨大的边界清楚的分叶状肿瘤,可伴有钙化。(下图为一例成人胰母细胞瘤病例,需要注意肿瘤少量表达SSTR2A,故68Ga-DOTATATE PETMRI显示DOTATATE摄取增高,易与神经内分泌肿瘤混淆)
主要就是以上肿瘤的鉴别,如有不清楚的就在线问诊我吧 :)
上一篇:性前一起看成人片有四大好处
下一篇:法国的同性恋有聚集的地方,主要是在市中心的夏德莱和市政厅旁的马莱区,每天夜幕降临
最近更新科技资讯
- 22年过去了,《透明人》依然是尺度最大的科幻电影,没有之一
- 人类基因编辑技术及其伦理问题
- 不吹不黑,五阿哥版的《嫌疑人》能过及格线
- 论Lacan心理公众号的“双标”特质
- 猎罪图鉴:犯罪实录 女性伦理
- 清入关的第一位皇帝是谁,清朝入关后有几位皇帝?
- 描写露台的优美句子
- 谭德晶:论迎春悲剧的叙事艺术
- 中秋节的好词好句
- 《三夫》:一女侍三夫,尺度最大的华语片要来了
- 赛博朋克的未来,在这里
- 文件1091/721/2A:反概念武器实体的一封信件
- 尤战生:哥伦比亚大学点点滴滴
- 韩国最具独特魅力的男演员(安在旭主演的电视剧有哪些)
- 乃至造句
- 请保护好我们的医生,他们太难了
- GCLL06-土木工程的伦理问题-以湖南凤凰县沱江大桥大坍塌事故为例
- 黄金宝典:九年级道德与法治核心考点必背篇
- 【我心中的孔子】伟大的孔子 思想的泰山
- CAMKII-δ9拮抗剂及其用途
- 选粹 | 郑玉双:法教义学如何应对科技挑战?——以自动驾驶汽车为例
- 苍井空37岁宛若少女,携子送祝福遭热讽,下架所有视频母爱无私
- 日韩新加坡怎么对待影视剧中的裸露镜头
- 中西方文化中的颜色词
- 土豪家的美女摸乳师——关于电影《美人邦》