手机访问:wap.265xx.com睿米特约|专访百色市人民医院李忠华团队:率先开展急危重症新生儿颅脑出血的机器人辅
神外前沿讯,2022年1月,百色市人民医院多学科协作完成桂西首例新生儿颅脑机器人辅助手术。该新生儿头围34cm,脑容量小,脑出血已经形成脑疝风险,随时危及患儿生命。
手术对精度要求相对较高,但截至目前,对新生儿进行机器人辅助手术在国内外实属罕见,也缺乏相关数据及经验。百色市人民医院神经外科主任李忠华教授团队采取机器人定位下颅内血肿穿刺外引流术+侧脑室穿刺外引流术。手术进行顺利,随着颅内血肿的清除,患儿生命体征趋于稳定,并于术后一月顺利康复出院。
患者出院之后,直接参与本次手术的百色市人民医院神经外科李忠华教授、黄礼德医生,详细介绍了本次手术的诸多技术细节和所积累的宝贵经验。
要点摘录-百色市人民医院神经外科李忠华、黄礼德:
目前科室的机器人辅助脑出血手术病例大概650例左右,机器人辅助手术大约占据了神经外科去年1/3的手术量。科室在2021年完成了近420例机器人辅助手术
本例急危重症新生儿颅脑出血病例,我们选择机器人定位穿刺及术中医生双手持续固定头部就是减少手术路径的偏移,保障手术成功,术后的效果也是比较理想。
睿米神经外科手术机器人所推荐的12类手术,我们完成了7类,还有5类,我们打算逐步全部开展起来。
专家访谈
新生儿小脑出血
神外前沿:首先请问新生儿出现小脑出血,其手术的必要性在哪里?
李忠华:这例新生儿脑出血,伴有急性梗阻性脑积水,而且后颅窝的血肿量又比较大,随时可能会出现脑疝。在这种情况下,第一,手术非常必要;第二,手术要争分夺秒,尽可能在出现枕骨大孔疝之前完成手术。
神外前沿:本例的病因是什么?这新生儿为什么会出现脑出血呢?
李忠华:这新生儿是自发性的颅内出血,考虑与新生儿黄疸有关。
自发的颅内出血大多是血管畸形、颅内动脉瘤等引起,像这种黄疸或维生素k缺乏出现的自发性出血,需要手术干预的确实不多见。
神外前沿:制定手术方案的时候,预期到可能产生的风险在哪里呢?
李忠华:我想主要是这几方面,第一,对于神经外科医生,穿孔引流或者穿刺引流,手术术式难度其实不大,这手术最大的难度在于麻醉,在于麻醉科团队的工作。
第二,虽然说手术风险不高,面对新生儿医生心里还是很紧张,对医生来说是很大的挑战,包括新生儿的颅骨很薄无法头架固定,在钻颅骨时头部易移位造成靶点及手术路径偏移,考虑新生儿颅骨未完全闭合,存在自然腔隙骨缝,手术路径我们选择从骨缝处入颅,避免钻颅骨引起头部移动造成手术路径移位,手术医师在机器人定位下切开入颅点皮肤,电凝针烫破硬膜,使用活检针抽吸血肿,抽吸后放置引流管,术中动作轻柔,减少人为操作造成手术路径移位,所以这些对手术医生心理负担比较大。为此本例病例我们选择机器人定位穿刺及术中医生双手持续固定头部就是减少手术路径的偏移,保障手术成功,术后的效果也是比较理想。
第三,相对成年人来讲,新生儿生理病理机制的变化,可能很难像成年人自如的进行调节,毕竟有很多脏器、器官发育不完善,这是一些潜在的风险。
手术过程,成年人可以用头钉来固定头颅,而这新生儿颅骨太薄,不可能用头钉来固定头颅。整个手术过程中,为了固定头颅,医生只能跪在地上,用双手来扶持固定新生儿的头颅。所以,这台手术的精准度高,对手术医生要求会更高。
机器人辅助精准手术
神外前沿:机器人怎么来辅助和实现新生儿从枕后穿刺体位?其注册精准是怎么实现的呢?
黄礼德:本病例是出生5天的新生儿,小脑出血伴有急性梗阻脑积水。首先,从机器人辅助手术来讲,头部固定确实很困难,包括传统头架和塑形枕也无法完成;其次,从手术上来讲,两侧小脑出血,以右侧血肿为主,这个手术我们主要采用仰卧位,头偏左侧,然后在头部下面垫个头圈,选择右侧枕部穿刺血肿,为了避免头部移位影响手术精度,术中医生一直双手固定头部。
神外前沿:您谈到机器人注册不方便头钉固定,请问通过什么方式来注册呢?
黄礼德:睿米机器人有专用的 Marker标志物,我们贴了5个Marker,然后仰卧位,头部下面垫个头圈减少头部移动,头偏左侧,完成注册。
神外前沿:这例新生儿手术对精度要求更高,手术机器人操作过程中能实现这精度吗?
黄礼德:本病例我们做了两个手术计划,也就是两个穿刺路径,其中一个是穿刺血肿,另一个是引脑脊液。
术后我们做了验证,第一个手术路径跟手术计划完全吻合;第二个手术路径稍有偏移,因为这新生儿头颅是术中医生双手固定,在穿刺过程会存在偏移的可能,不像成年人或者大龄的儿童能够头架固定头部。本例病例术中患者注册精度0.21mm,机械臂注册精度0.09mm,精度非常理想,完全可以满足我们手术需求,术后手术路径验证也是完全吻合。
神外前沿:日常工作中,脑出血穿刺用机器人辅助比较多,未来脑积水的置管是不是也有机器人应用的前景呢?
黄礼德:其实我们科室现在开展脑室腹腔分流,或者一般的脑室穿刺外引流,我们尽量用手术机器人定位,置管精准,减少穿刺次数,减少术后并发症的出现(比如引流管堵塞等);或者有些特殊部位的脑室出血,特别是三、四脑室血肿,机器人定位下引流管可以精准放到位置,术中可以解除急性脑积水,脑室的血肿溶解比较快,脑室系统脑脊液循环恢复快,后期出现脑积水的概率也会降低很多。
神外前沿:这新生儿度过急性期之后,脑积水是不是已经恢复正常了,不用做腹腔分流?
黄礼德:本例新生儿出院的时候是脑室系统稍大,术后我们反复性腰椎穿刺术,出院前颅内压力正常,目前没有脑积水。我们复查磁共振未见间质性水肿,但是该病例手术才两个月左右,后期还要进一步随访才行。
神外前沿:本例新生儿入院时非常严重,目前恢复状况怎么样?
黄礼德:本例新生儿出院的时候各方面指标恢复比较好,奶量、精神、反应、生命征等都正常,查体囟门平软。
神外前沿:在小儿脑出血治疗上,您觉得通过这个新生儿的治疗积累了哪些经验?
黄礼德:新生儿脑出血本身病例不多,文献上记录的病例也不多。像本病例出血量比较多,当时生命征不平稳,术前依赖呼吸机辅助呼吸。术中我们清除部分血肿,穿刺侧脑室外引流释放部分脑脊液,新生儿的生命征逐渐平稳好转。第二天早上我们去查房的时候,病人的生命征比入院和术前明显平稳。患儿急性颅内高压,我们治疗的原则就是迅速降低颅内压,减少病人损伤及并发症。我们选择机器人定位下手术,具有了精准定位、损伤小、时间短、安全可靠、并发症少,减少手术及麻醉风险。
神外前沿:本例新生儿出血量比较多,为什么要考虑微创,不考虑开颅呢?
黄礼德:新生儿出血和成年人还是有些区别,主要在麻醉和手术的风险上。
首先要结合新生儿发育或者生命征等因素,这个病例后颅窝的血肿,血量差不多有17毫升,按我们传统办法就是需要开颅,但是开颅对新生儿损伤很大,后期的恢复、并发症出现也不可控制,开颅手术的创伤明显大于微创手术,开颅的手术时间会比较久,增加手术风险。所以我们选择微创治疗。
神外前沿:其实我知道成年人可以有 CT、磁共振各种检查,能避开血管神经,像这么小的新生儿,在穿刺路径上有哪些方面的考虑呢?
黄礼德:也有考虑,但是这个病例年龄比较小,术前已经气管插管、呼吸机辅救呼吸,去完善增强CT很不安全;其实这个血肿就位于硬膜下,穿刺路径未经过脑组织,颅内的穿刺路径基本位于血肿腔内,所以增强CT暂时不考虑。
其实我们现在做成年人脑出血,如果出血量不多,能够适当等待手术时间,术前基本上完善磁共振(包含DTI等)、增强CT等辅助检查,这样可以减少手术的并发症及手术的副损伤。
不同出血量的应对策略
神外前沿:其实我们了解到贵科室做脑出血的机器人辅助手术,无论质量还是数量上都是很靠前的。目前您已经做了大概多少例脑出血机器人辅助手术,在不同的出血量上,您有什么样的策略?
黄礼德:目前机器人辅助脑出血手术病例大概650例左右,我们是地市级三甲医院,脑出血病例比较多。脑出血手术可以分成三类,量多、中等和少量的。
第一,出血量多的。有些病人进院就脑疝了,不愿意开颅,或者出血量比较多,需要迅速减轻颅内压,需放置多根引流管,我们策略就是把大血肿分为小块血肿或小区域血肿,然后针对每一个血肿区域放置一个引流管,每根管负责一个区域,这样能够迅速抽吸更多的血肿,快速减轻颅内压力。我们做了一些病例术后恢复还是比较好,避免了开颅手术的并发症或二次手术,减轻了病人负担。
第二,出血量中等的。如果出血量不多或中等的,完善术前的准备(增强CT,磁共振及DTI等),根据血肿情况放置一两根引流管。
第三,出血较少的,完善术前的准备(增强CT,磁共振及DTI等),血肿稳定后择期安排手术,抽吸过程要结合术中抽吸阻力的情况,也不一定完全抽吸出来。
需要注意的是,本病例出血量比较多,按传统来讲要开颅,现在我们做微创放管。首先迅速减轻颅内压,像这种出血量多的,我们还是争取能放探头监测颅内压,监测之下抽吸血肿;有些病人发病早,血肿比较硬,抽吸一部分之后可予适当生理盐水反复冲洗血肿腔,更容易溶解及崩解一部分血肿。
术中抽吸血量多,术后再出血的风险可能会增加,在颅内压监测之下,术后对病人的观察、评估病情、用药等有很大优势;如果真有再出血,颅内压能够提前警报,提醒及时复查CT及观察病情,甚至再行开颅手术。
神外前沿:出血量大的和较小的,在机器人辅助操作上有什么不同的要求吗?
黄礼德:目前手术机器人的精准度很高,但是考虑术中钻颅骨、头架等因素影响,均会有影响精度的可能,所以在多路径的设计时,要优先穿刺血肿较小、易出现偏移的靶点,减少术后手术路径的偏移。
神外前沿:除出血量外,出血部位是否也是评估不同手术策略的方式,比如基底节或重要的功能区的,有什么区别吗?
黄礼德:路径选择还是有区别,比如基底节或额叶出血,大部分经额叶穿刺,额叶血管、功能比较少,穿刺比较安全。特殊一些的,像这例新生儿,小脑出血、四脑室血肿或者脑干出血等后颅窝血肿,予枕部穿刺。
神外前沿:之前报道很多病例都是高龄患者脑出血的穿刺,因为高龄患者有脑萎缩等基础病,您认为新生儿是否有什么要求呢?
黄礼德:我认为,新生儿其实从手术来讲应该没有什么特别要求,只是说这病例特殊,手术中麻醉是关键;单纯从机器人辅助讲,这个病例除了年龄、发育问题,上不了头架限制了我们手术,增加手术难度和风险。其实,穿刺成年人或者老年人,要求差不多。从新生儿出血量来讲,如果量少,我们可以争取做DTI或者增强CT,手术会更加安全。
科室团队建设和发展
神外前沿:贵科室未来发展上您有哪些规划呢?
李忠华:虽然我们是地市级的三甲医院,但是我们引进睿米神经外科手术机器人算是比较早的单位之一。
百色是一座老城,地处广西、云南、贵州三省交界区,经济欠发达,覆盖的人口大约有600万。无论哪一种疾病,从发病率来看,病人数量都不少。原来大家可能会选择去广州、上海、北京或者华西医院,现在不用去那么远了。
首先,机器人辅助DBS手术在陶英群主任及邱吉庆主任的帮助下,我们已经能独立开展,相关团队建设也比较完善。
其次,机器人辅助的DBS治疗帕金森病和肌张力障碍,去年完成了16台手术,在广西区内是首屈一指,数量最多。
第三,机器人辅助脑出血手术,不论是出血量最大102毫升的血肿,还是出血量最少的内囊区5毫升的血肿,我们也都做了,中间的数量就更多了。目前我们做得比较全面,针对功能区出血的,我们可以做DTI及增强CT,可以明确避开血管;接下来要把脑出血的工作再细化,争取把工作做得更完美。
第四,SEEG主要针对药物难治性癫痫,我们也有这样的病人,但是目前电生理团队还缺一名协助做手术计划的医生,今年准备派一名医生专门学习电生理。
另外,睿米神经外科手术机器人脊髓的模块已经研发准备上市,我们也在积极准备争取把这个模块加进来,我本人也做一部分脊柱脊髓手术,未来脊柱脊髓手术也能够开展得更好。
睿米神经外科手术机器人所推荐的12类手术,我们完成了7类,还有5类,我们打算逐步全部开展起来。
我们医院有两个肿瘤科,马上也要建立一个院中院-肿瘤医院,肿瘤的内放疗我们也是在提上日程的。
神外前沿:贵科室每年手术量大概多少,各类手术分布情况如何?
李忠华:大致的统计,到2021年12月5日时,我们完成了600例机器人辅助手术,包含了2020年180多例,2021年一年完成了将近420例机器人辅助手术;介入治疗完成了有100多例手术;肿瘤大约是不到100例;DBS、三叉神经痛、球囊压迫,微血管减压,面肌痉挛等,我们可能做了不到100例。
总之,神经外科因为我们引进了睿米神经外科手术机器人,手术机器人大约占据了我们去年1/3的手术量。
该病例分享
1.病例资料
5天,男性患儿;因发现皮肤黄染3天,吮奶差半天入院。
查体:生命征平稳,心腹查体未见明显异常。两肺呼吸音粗未闻及啰音。上肢肌张力稍增高,下肢肌张力尚可。全身皮肤重度黄染。
入院后出现易激惹、呕吐,前囟饱满、压力稍高。
辅助检查:头部CT:两侧小脑半球出血并破入脑室,继发脑室积水。出血量约17ml。
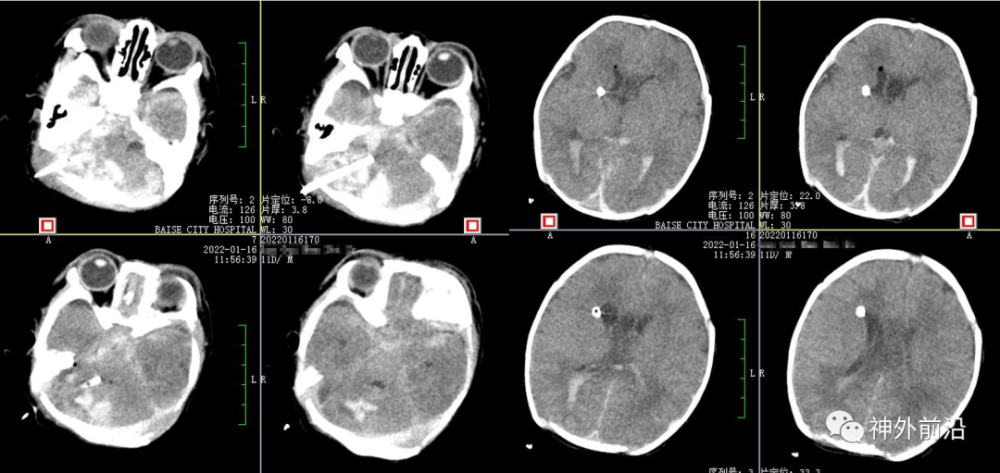
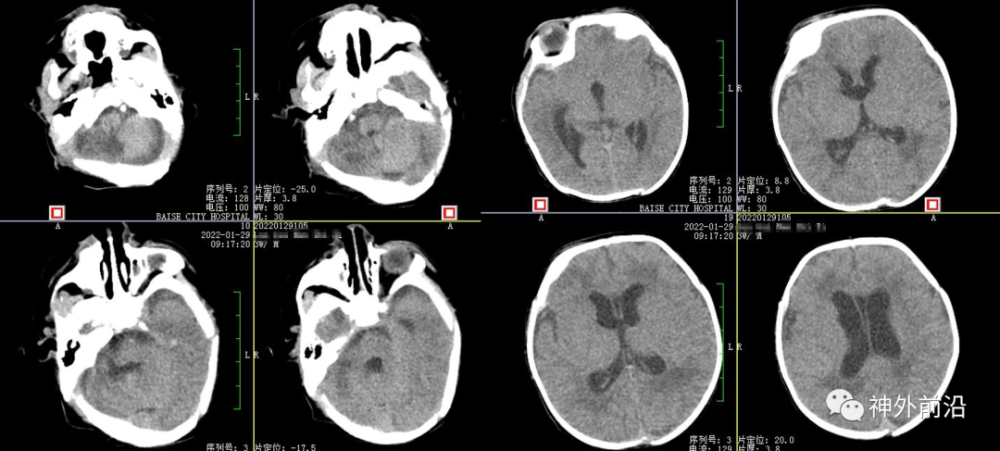
2.术前CT
3.手术准备及步骤
术前准备:通过CT检查,明确治疗靶点。术前由有资质的人员进行评估,常规检查,手术区备皮。
手术:手术需要在全身麻醉下进行,根据术前评估的条件使用机器人确定靶点、入颅点、穿刺路径等,机器人进行患者注册、机械臂注册、验证精度,切开头皮、电凝切开硬膜、止血,根据路径植入引流管。术后根据血肿情况予灌注尿激酶。
4.手术规划
5.手术验证及手术切口标记
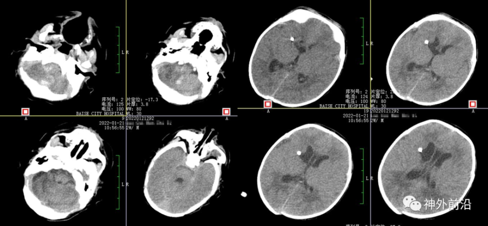
6.术后15小时复查CT,术中抽吸血肿
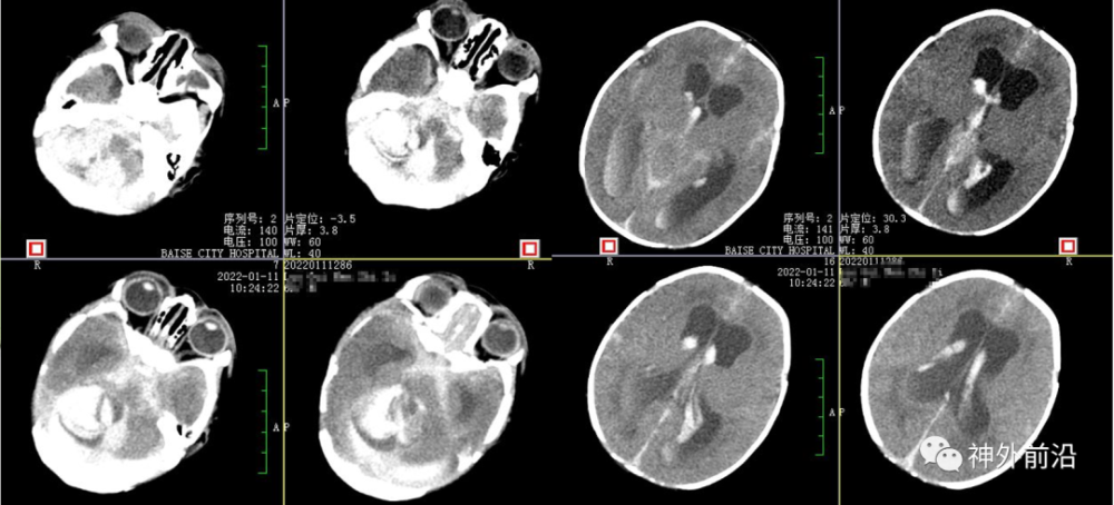
7.术后2天复查CT,血肿部分清除及退管
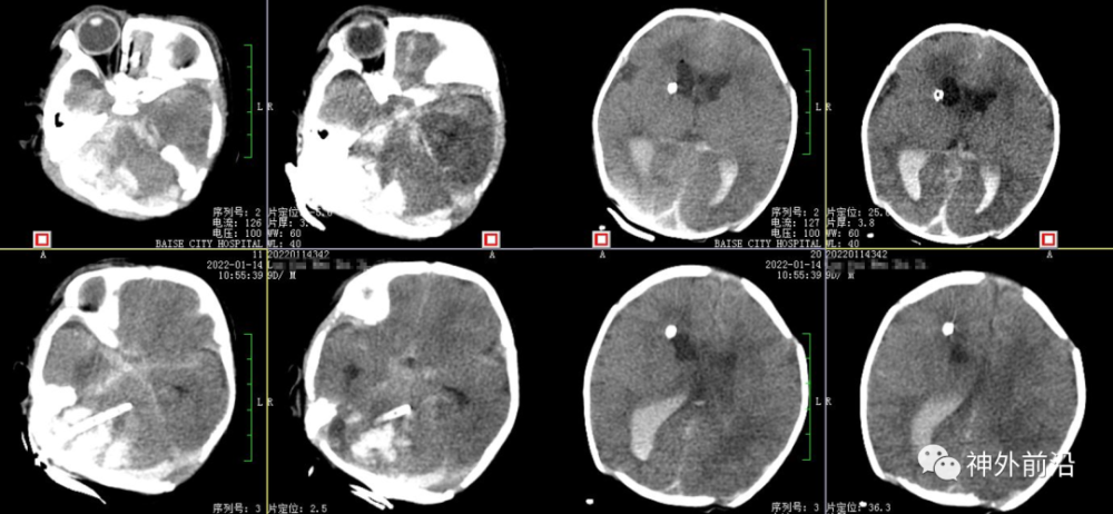
8.术后4天复查CT,血肿大部分清除及拔管
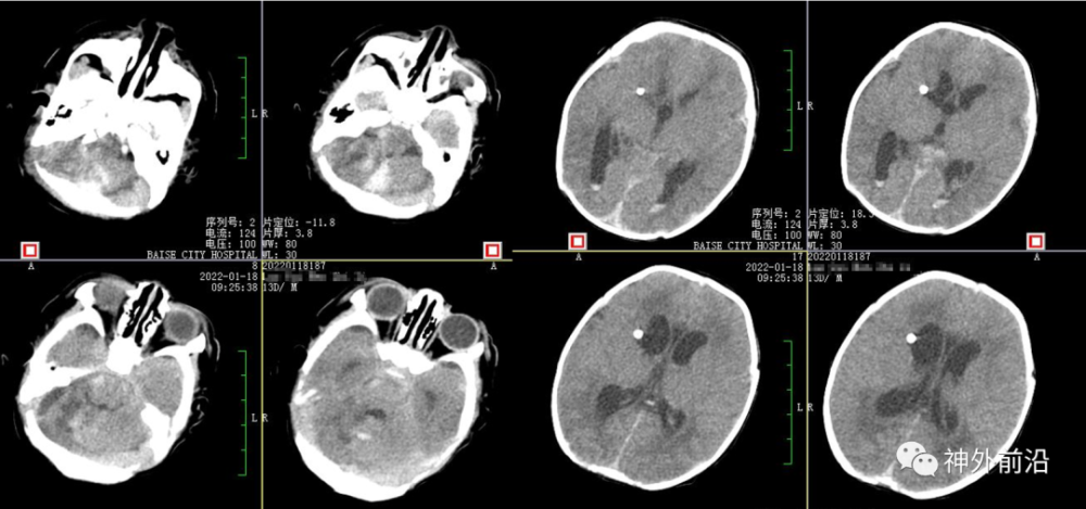
9.术后6天复查CT,血肿基本清除及夹闭侧脑室引流管
10.术后9天复查CT,拔除侧脑室引流管
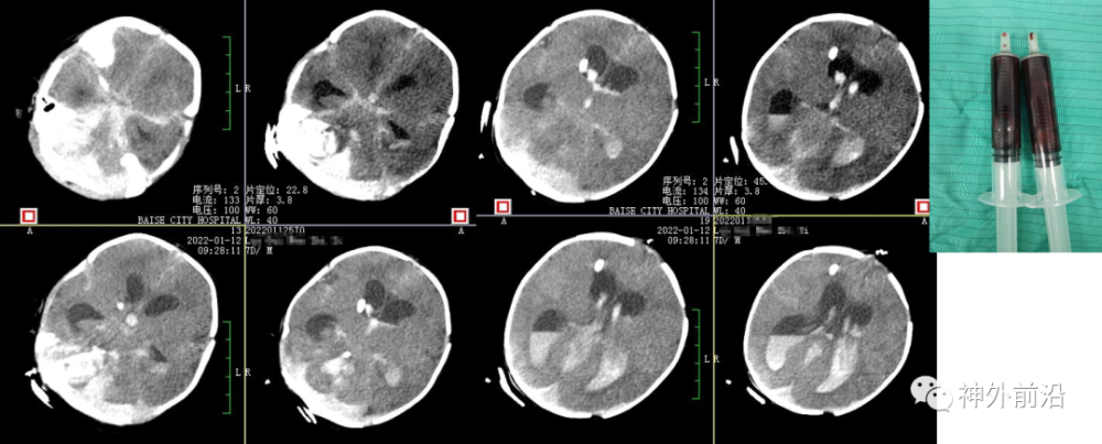
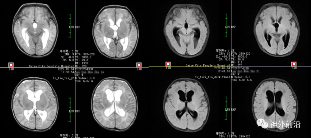
11.术后17天复查CT
12.术后23天MRI
13.拔管后反复行腰椎穿刺术了解颅内压力及释放脑脊液。
术后予维持生命征、抗感染、退黄、康复治疗等。
术后1月康复出院,出院时查体:生命征平稳,前囟平软,颈软、无抵抗。肢体肌张力正常。
神经外科手术团队成员合影
受访专家团队
李忠华,百色市人民医院脑科医院主任,住院医师规范化培训神经外科基地主任,主任医师,医学博士,博士研究生导师,教授。中国抗癌协会胶质瘤分会西南学组委员、广西抗癫痫协会第二届理事会理事,贵州省卒中学会介入分会常委、《神经外科机器人辅助DBS手术中国专家共识》编委、《中国实用临床医学》编委。从事神经外科工作20年,擅长显微神经外科手术,在广西区内率先开展“机器人辅助脑深部电刺激术”治疗帕金森氏病;“机器人辅助穿刺抽吸手术”治疗脑出血等手术。以第一作者或通讯作者发表在学术期刊的论文20余篇,4篇被SCI收录。获贵州卫健委课题一项。百色市科研课题一项。获得省级卫健委新技术应用二等奖两项,地厅级科技进步一、二等奖各一项。
黄礼德,百色市人民医院脑科医院神经外科机器人团队负责人,主治医师。曾到复旦大学附属华山医院,中国医科大学附属第一医院进修学习。擅长脑外伤,脑出血,脑肿瘤,脊髓肿瘤等神经外科常见病的诊治。特别擅长于神经外科手术机器人辅助立体定向治疗,在广西率先独立开展手术机器人定位下颅内血肿穿刺引流术、脑肿瘤活检术、脑脓肿穿刺引流术。独立及指导开展手术机器人400例。
支持机构
睿米特约 往期
睿米特约
上一篇:怎么预防黄疸
下一篇:打算省考的人,国考和省考要不要同时参加?
最近更新科技资讯
- 22年过去了,《透明人》依然是尺度最大的科幻电影,没有之一
- 人类基因编辑技术及其伦理问题
- 不吹不黑,五阿哥版的《嫌疑人》能过及格线
- 论Lacan心理公众号的“双标”特质
- 猎罪图鉴:犯罪实录 女性伦理
- 清入关的第一位皇帝是谁,清朝入关后有几位皇帝?
- 描写露台的优美句子
- 谭德晶:论迎春悲剧的叙事艺术
- 中秋节的好词好句
- 《三夫》:一女侍三夫,尺度最大的华语片要来了
- 赛博朋克的未来,在这里
- 文件1091/721/2A:反概念武器实体的一封信件
- 尤战生:哥伦比亚大学点点滴滴
- 韩国最具独特魅力的男演员(安在旭主演的电视剧有哪些)
- 乃至造句
- 请保护好我们的医生,他们太难了
- GCLL06-土木工程的伦理问题-以湖南凤凰县沱江大桥大坍塌事故为例
- 黄金宝典:九年级道德与法治核心考点必背篇
- 【我心中的孔子】伟大的孔子 思想的泰山
- CAMKII-δ9拮抗剂及其用途
- 选粹 | 郑玉双:法教义学如何应对科技挑战?——以自动驾驶汽车为例
- 苍井空37岁宛若少女,携子送祝福遭热讽,下架所有视频母爱无私
- 日韩新加坡怎么对待影视剧中的裸露镜头
- 中西方文化中的颜色词
- 土豪家的美女摸乳师——关于电影《美人邦》