手机访问:wap.265xx.com20多岁的成年人适不适合整牙?希望有经验的朋友分享一下?
第一次在知呼提问,这个问题一直困扰我的。我的牙齿稀疏而且咬合不齐,吃肉时特容易塞牙。由于家人和自己的疏忽,小时候心里从未有整牙的念头。我今年22了,女生,因为牙齿的问题,心里自卑,所以在拍照或交谈中从来不敢大笑露牙齿。现在我想要整牙,但不知道是否迟了,希望有相同经验的朋友们可以和我分享。谢谢啦
牙齿移动是生命体内都会存在的骨改建过程。因此牙齿矫正老少皆宜。但不同个体存在的问题不一样,开始矫正的时机也不尽相同。从儿童到老人,都有可能成为矫正的目标人群。您是否可以矫正,应该从专业的正畸医生那里寻求答案。
大一十一整的牙,还带牙套拍了写真,大二下就摘了。保持器阶段。
现在戴牙套很方便。而且时间短。
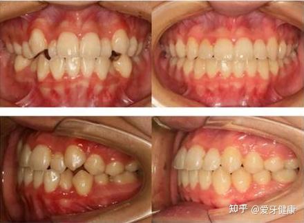
效果整牙等于整容。
从外而内不一样
共勉

虽然说戴牙套最好的年纪是7岁到青春期结束这段时间,不过20岁完全也不迟,除去最合适的那段年纪以外,最好的时间就是现在,牙齿矫正是没有年龄限制的,不管多大年纪都可以做,只要医生靠谱,能好好配合医生,做到良好复查配合,治疗结果可以做到一样,不受年龄影响。

牙齿矫正之前,补充一个的至关重要的事项,选择矫正医生一定要慎重。越是年纪大的患者,越要关注医生的品质和医术水平。专业性差的医生确实会给患者带来极大的伤害,牙齿松动、牙槽骨损伤、黑三角、牙根吸收不是危言耸听。



有的小伙伴挑医生只图便宜和离家近,甚至有的朋友色迷心窍根据医生的颜值去做选择。这都是不对的,挑选口腔医生首先要是注册的合格医生,在口腔问题上非法行医大概率就是踩坑。这里可以通过http://zgcx.nhc.gov.cn:9090/doctor卫健委官方查询是否是正规注册医生。
准备正畸的小伙伴,点击下面的小卡片,进入《全国口腔医院/医生系统查询系统》,收录了全国各地的优质门诊和医生,根据位置、预算等信息,免费咨询。
其次要着重关注医生的资质经验和医德,进行全面挑选。
1. 医生的学历: 博士>硕士>本科>专科 口腔医学在本科阶段是没有正畸学的,只有到了硕士阶段才会有正畸学分支,硕士以上学历才是正畸的科班出身,有系统学习过正畸的专业知识,且有了自己的矫正体系,可以优先选择硕士以上学历的医生,本科学历的医生也可以选,但是要经验比较丰富口碑比较好的那种。
2.医生的职称 :主任医师>副主任医师>主治医师>执业医师>执业助理医师 最好是主治医师职称以上,普通执业医师要工作经验非常丰富才行
3.医生的头衔 :比如某某口腔协会的委员,XX专业讲师、博导、教授,tweed中心教官、前公立三甲口腔医院科室主任等等,像某某协会会员、牙套认证医师基本上没什么用。

4.医生的案例牙齿矫正至少500个,质量看复杂牙齿的案例,牙齿矫正前后矫正对比图的效果,这些都可以在面诊的时候可以向医生提出查看,顺便可以看看是否有和自己差不多的案例,做一个对比,说不定就是你矫正后的样子



5.用户评价:通过某团、某评等第三方电商平台看看其用户的评价评分,或者下面的查询系统,咨询医生信息。《全国口腔医院/医生系统查询系统》,收录了全国各地的优质门诊和医生,免费咨询。
6.面诊的体验:主要是在面诊的时候看这个医生耐不耐心、态度好不好、对你的牙齿问题讲解专不专业,对你提的问题解答细不细致,还有你们沟通顺不顺畅等等。 我们可以多准备一些问题,把你们面诊该沟通的东西一次性聊透

如果开始沟通就不顺畅,那就不要选择了,选择更适合自己的,多去几家医院,多看几位医生,结合不同医生的诊治方案,多方面对比,也要对比医生所在医院服务、环境、价格这些,争取有个非常完美的矫正体验。
小伙伴没有太多时间去医院实地查找医生,那就点击下方小卡片,里面收录了全国医生/诊所医院的信息,根据你的实际情况(位置、预算等)免费筛选,帮你找到合适的医生人选,自己再做选择。准备矫正、种植牙的小伙伴可以通过下面这个查询系统搜索,里面全面地收录了全国各地正畸、种植牙技术排名靠前的医院和医生,还有具体的医生资质信息、过往详细案例作为参考,并提供报价对比,一站搞定各种问题,能提前帮助大家全面做功课!









上一篇:《搏击俱乐部》想表达的是什么?是仅仅为了讲述精神分裂的故事吗?里面的爱情有什么用
下一篇:名医讲堂| 88岁老人追忆激情燃烧的岁月!那些年,Word协和,很傲娇!
最近更新科技资讯
- 22年过去了,《透明人》依然是尺度最大的科幻电影,没有之一
- 人类基因编辑技术及其伦理问题
- 不吹不黑,五阿哥版的《嫌疑人》能过及格线
- 论Lacan心理公众号的“双标”特质
- 猎罪图鉴:犯罪实录 女性伦理
- 清入关的第一位皇帝是谁,清朝入关后有几位皇帝?
- 描写露台的优美句子
- 谭德晶:论迎春悲剧的叙事艺术
- 中秋节的好词好句
- 《三夫》:一女侍三夫,尺度最大的华语片要来了
- 赛博朋克的未来,在这里
- 文件1091/721/2A:反概念武器实体的一封信件
- 尤战生:哥伦比亚大学点点滴滴
- 韩国最具独特魅力的男演员(安在旭主演的电视剧有哪些)
- 乃至造句
- 请保护好我们的医生,他们太难了
- GCLL06-土木工程的伦理问题-以湖南凤凰县沱江大桥大坍塌事故为例
- 黄金宝典:九年级道德与法治核心考点必背篇
- 【我心中的孔子】伟大的孔子 思想的泰山
- CAMKII-δ9拮抗剂及其用途
- 选粹 | 郑玉双:法教义学如何应对科技挑战?——以自动驾驶汽车为例
- 苍井空37岁宛若少女,携子送祝福遭热讽,下架所有视频母爱无私
- 日韩新加坡怎么对待影视剧中的裸露镜头
- 中西方文化中的颜色词
- 土豪家的美女摸乳师——关于电影《美人邦》