
人体如果被铁线虫寄生了会怎样?
突然想到这个问题 好奇如果被寄生了的人 会不会和平常人不一样
从恐怖电影讲到寄生与精神控制。
本文全程高能预警。
一群几乎神智不清的男女,张大着嘴叫喊着口渴,如同丧失理智一般冲向任何视线所及的水源,甚至猛然一头扑向河里,继而溺水身亡……
而在他们漂浮河面的尸身之下,一丛黑色而细长的身影缠绕着,扭动着,从宿主的体腔内破体而出,游进水中……
幸好,这只是恐怖电影中的情节,这部电影,是 2012 年上映的一部韩国灾难片,名叫《铁线虫入侵》。虽然比起《汉江怪物》来,《铁线虫入侵》的场面并没有那么科幻,血腥程度更是远远比不上后来的《釜山行》。但是,它却更加真实,有代入感,因为这部片子涉及到一个很现实的问题:
寄生物会影响宿主的意志吗?
01
常年生活在城市里的人,可能并不太了解铁线虫(Gordius)究竟是一种怎样的生物,因为这玩意大都生活在乡野间的水域。它们和蛔虫一样,都同属于线虫纲,只是块头要大得多:虽然直径可能还不到一毫米,但是长度却有着 30 厘米到 1 米那么长……目前发现最大只的铁线虫,更是有着两米长的骇人身段。
完整暴露在外的铁线虫,外形很像一根长长的马鬃,因此在英文中又被称为「马鬃虫(horsehair worms)」。铁线虫的头部只有一张用来汲取营养的嘴,雄性的尾端是一个分叉的形状。和其他线虫纲生物区别最大的地方在于,铁线虫的外壳有一层坚硬的角质层包裹着,这样的外形能够让它们在成虫之后,在宿主体外生存。
坚固外壳给铁线虫带来的金刚不坏之身,甚至当宿主昆虫的身体被外力碾压死亡之后,内部的铁线虫依然能够得以存活。这大概也是铁线虫的得名由来吧。
铁线虫的生存策略简单而粗暴:生活在沼泽、池塘和溪流等水体中的它们,在雌雄交配后,雌虫会产出一大堆凝胶状的虫卵。卵孵化成幼虫之后,会聚集在一起,等待被它们的目标食用。是的,看似这些捕食铁线虫的都是凶猛的肉食性昆虫,比如螳螂、蚂蚱、蟋蟀等,然而在它们享用铁线虫的那一刻,实际上已经中了对方的圈套。
在宿主昆虫的体内,铁线虫会一动不动地紧贴在虫体消化道附近,通过吸收养分迅速成长发育。被寄生之后的昆虫虽然会被消耗掉大量的体内营养,但并不至于死去,只是它们体内大部分性腺发育都被破坏了,无法繁殖后代。
当生长到完全成熟体之后,铁线虫会做出一件不可思议的举动:它们如同意识控制一般,操纵着宿主的昆虫前往水源……当宿主在水中自行溺毙时,铁线虫如同打了鸡血一般,拼命地蠕动,最终从宿主体腔内破体而出,这一幕常常令人极为不适:
所以,宿主昆虫的死亡,也意味着铁线虫的寄生其实准确来说,应该是拟寄生,也就是会杀死宿主自身的一种寄生。
正是见到了这样震惊的一幕,给了韩国导演朴正宇以灵感,并拍摄出了灾难片《铁线虫入侵》。只不过在真实的世界里,虽然人类也存在极其罕见的,被铁线虫寄生的例子,但并不至于发生影片中那么可怕的结果。
这些被感染的病例,往往是在河边游泳嬉戏时,被幼虫体的铁线虫从尿路入侵,并寄生在人体的尿道中,因为成虫之后的机械性运动,导致下腹部剧烈疼痛、尿频、尿急、尿痛、血尿等症状。只不过,在驱虫之后病情就会自行减轻消失,并不会被操控到投河自尽,出现电影中那样令人绝望的一幕。
《铁线虫入侵》中,感染者纷纷自杀
对于人类这样的高等动物,铁线虫束手无策,可是低等的节肢动物就常常命丧它们之手。那么,铁线虫究竟是拥有怎样的操控能力,才能让宿主甘愿献出自己的生命,乖乖听从它们的命令投河自杀呢?
在解释这个复杂问题之前,我们先来看看其他一些寄生物是怎样操控并残害它们的宿主的。
02
2005 年时,宾夕法尼亚州立大学的生物学家大卫·休斯(David Hughes)教授在德国的莱茵河谷中一个叫梅塞尔坑(Messel Pit)的地方,发现了一片非常奇异的树叶化石。
这块距今 4800 万年前的古老树叶的叶片上,清晰地显示出数量极多,且排列整齐的小坑洞。这顿时引起了休斯教授的注意,在电子显微镜下,他发现这些小坑洞,都是一种古老蚂蚁的咬痕。
这片树叶上,一共有着 29 枚咬痕,这些咬痕分属于 7 只不同的蚂蚁。为何这些蚂蚁都会不约而同地大力咬住树叶呢?而且,并没有任何迹象显示,它们是在食用这些树叶,因为这些咬痕基本都是一次性的,换言之,咬住之后的蚂蚁就没有再动弹过。
那么,它们这样做的目的究竟是为何呢?
答案是,它们根本没有目的,因为已经身不由己了……根本不是蚂蚁们自己的意志决定了这样离奇的行为。原来这些古老的蚂蚁,都被一种更加古老原始的生物寄生了。这种生物有个异常拗口的名字,叫做「偏侧蛇虫草菌(Ophiocordyceps unilateralis)」。
偏侧蛇虫草菌至今依然存在,它们寄生在如今一种叫做莱氏屈背蚁(Camponotus leonardi)的蚂蚁身上,这种蚂蚁因为长期生活在树丛中,因此还有一个更有名的别名「木匠蚁(carpenter ants)」。
透过电子显微镜,休斯的团队发现被寄生后的木匠蚁的身体内部充斥着大量的偏侧蛇虫草菌,这些真菌导致蚂蚁肌肉萎缩,肌肉纤维分离,并分泌出一些化学物质,影响到它们的中枢神经系统。
我们都知道,工蚁是一种拥有超强执行力的蚁类,它们很少会偏离自己移动路线。被寄生后的蚂蚁,却经常会展现出迷路的迹象,它们茫然无措地随意走动,甚至偏离整个群体。同时,它们行走模式也迥异于原本的姿态,这种凌乱的步伐令人联想到了被感染之后的丧尸,因此这些被寄生后的蚂蚁,也被称为「丧尸蚂蚁(Zombie ant)」。
更重要的是,木匠蚁大都生活在树木的树冠上,而被寄生之后的丧尸蚂蚁,却常常更愿意向树下移动,去到那些被繁茂树叶遮盖住的树荫下。
显而易见的是,树荫下比树冠上潮湿阴冷得多,是更加适合真菌繁殖的绝佳场所。丧尸蚂蚁们这样的举动,正是体内寄生的真菌驱使的。
这还不算完。当丧尸蚂蚁们来到最适合真菌繁殖的环境后(根据统计,这样的地点一般都在朝北的森林,距离地表大约 25cm,湿度 94%-95%,温度 20-30℃),会开始不约而同地爬上树叶,并用下颚全力咬住叶片。
更夸张的一幕还在后面,当丧尸蚂蚁咬定了叶片之后,真菌会迅速破坏蚂蚁下颚的肌肉纤维,并将其中产生能量的线粒体全部破坏殆尽,这样一来,完全肌无力的可怜蚂蚁就再也无法控制自己的下颚,只能被迫咬死在树叶上一动不动。
丧尸蚂蚁:凉了,凉了……
这种怪异的行为模式,被称为「死亡之咬」。
在此之后,真菌会开始在蚂蚁体内的软组织间不断增殖,很快便杀死宿主们,当大量的菌丝在死去的蚂蚁尸体内繁殖后,最终会顶破蚂蚁身体的外骨骼,形成可怕的寄生景象(如下图)。破体而出之后,蚂蚁尸身上的偏侧蛇虫草菌会在这片树叶上释放出孢子,继续繁殖后代。整个过程可以持续四到十天。
值得一提的是,这样的灵感也被「顽皮狗」团队的游戏设计师所汲取,并以此为基础创造出了著名游戏《美国末日》(The Last of US)中被真菌寄生的丧尸怪物(当年眠眠也是熬夜通关这个神作)。
这玩意还会发出「哒哒」的声音
03
等等,这还没有完。
休斯的研究团队很快发现了另一个颇为奇怪的现象:虽然在树叶上有很多被寄生的丧尸蚂蚁的尸体,但并没有大量繁殖出偏侧蛇虫草菌。这个比例竟然仅有 6.5% 左右,也就是只有很少的一小撮丧尸蚂蚁身上,成功地长出了真菌。
这究竟是怎么回事?按理说,真菌的这个繁殖生存模式是非常完美的,繁殖的场所各方面条件也非常适合,为何最终孢子的产生率却如此之低呢?
只剩下头部还死咬着树叶的丧尸蚂蚁
经过一番研究,休斯终于在偏侧蛇虫草菌的身上找到了答案:这些寄生在蚂蚁身上的真菌,居然自身也被另一种寄生物寄生了……
这种诡异却又真实存在的现象,被称为「超寄生(hyperparasite)」。原来为了对抗偏侧蛇虫草菌的摧残,木匠蚁也找到了自己的生存策略,那就是在身体内部也寄生着另一类寄生物(据说也是一种真菌)。当蚂蚁们被偏侧蛇虫草菌寄生之后,这种神奇的寄生物也会寄生到真菌的体内,并在死亡之咬发生后,杀灭偏侧蛇虫草菌繁殖出的孢子。
不可思议的超寄生现象
如此一来,偏侧蛇虫草菌能够成功繁殖后代的几率就被大大降低,同时木匠蚁的群体也就免遭真菌大面积扩散的危险。
这简直是微观世界版本的一物降一物啊……
不过既然说到这种真菌坑真菌的寄生,就不能不提昆虫坑昆虫的寄生了。对此七星瓢虫最有发言权,虽然样子萌蠢,但是七星瓢虫的自我防护能力并不低,大多数情况下仅仅靠着外形就足以吓退敌人。
正常的七星瓢虫(萌萌哒)
然而在面对茧蜂(braconid)的时候,七星瓢虫便毫无反抗能力了。茧蜂是一种非常善于寄生的昆虫,全世界一万多种茧蜂,都是寄生性物种。大部分的茧蜂都是益虫,因为它们寄生的对象大都是菜粉蝶、番茄天蛾等害虫。唯有寄生七星瓢虫的瓢虫茧蜂是例外。在发现七星瓢虫后,茧蜂会将自己超长的产卵器插入瓢虫的身体,每插入一次,都会在其中留下一到数个虫卵。
七星瓢虫体内的虫卵很快就可以孵化为幼虫,随后幼虫会在瓢虫的下腹割开一道口子,并在它们的身体下方吐丝结茧。
丧……丧尸七星瓢虫
是的,此时的七星瓢虫已经完全沦为一只丧尸瓢虫,只不过此时它们还并未死亡,而存活着的唯一意义,就是成为茧蜂幼虫的保镖:当有外敌试图靠近时,丧尸瓢虫还会拼命抽搐自己的腿部试图驱赶对方。
寄生在毛虫体内的茧蜂幼虫也是类似,它们会以毛虫的身体组织为食,发育成熟快要成蛹之前,就会破开毛虫的身体,并在它的身体表面结茧。与丧尸瓢虫相似的场景同样发生着:在它们结茧孵化的期间,丧尸毛虫会不吃不喝地守着身上的虫茧,保护着这些寄生物的安全。
这已经是能找到的最不瘆人的一张图了……
其实除了昆虫之外,饱受寄生之苦的还有其他生物,比如软体动物类的蜗牛。
模样同样蠢萌的琥珀蜗牛,被一种叫做双盘吸虫(Leucochloridium paradoxum)的东西寄生之后,同样会沦为「丧尸蜗牛」。此时它最大的特点,就是极度肿胀的双眼,并且呈现出绿色的环节状态,从外形上看简直如同两只绚丽多彩的毛虫。
此时蜗牛的双眼中,已经充满了双盘吸虫的幼虫,它们不断蠕动,并命令丧尸蜗牛一反常态地爬到植物的高处,甚至暴露在光亮的环境中。这样做的目的只有一个,就是吸引鸟类的注意。当丧尸蜗牛被捕食之后,它们就可以转而寄生在鸟类的身体内,等待繁殖成熟之后,再一次循环它们的寄生行为。
04
不得不说,寄生是一种极其古老的生存策略,与共生不同的是,寄生是一种生物生存在另一种生物的体内或体表,并从后者摄取养分以维持生活,寄生物对于宿主而言,基本上都是一场灾难。
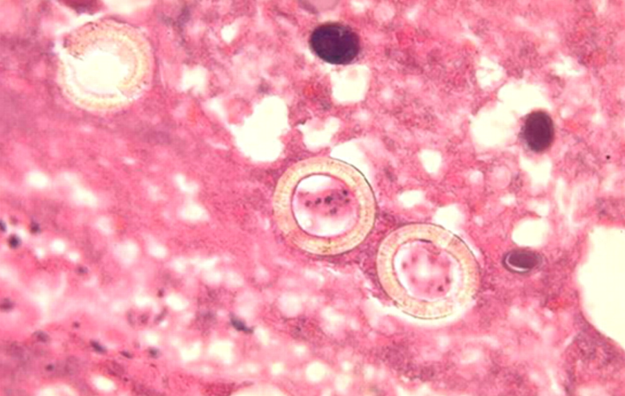
寄生物在宿主体内发育的繁殖,会引起一系列的损伤:比如破坏细胞、压迫组织、堵塞腔道、毒性和变应原性作用等。而且寄生物还会在三个方面对宿主造成严重的危害,首先就是夺取宿主的营养:比如人体小肠内的蛔虫,就会吸收消化或者半消化的食物;钩虫和血吸虫更是会直接汲取人体的血液,引起宿主营养不良以及贫血。
铁线虫的亲戚——蛔虫
所以知道小孩子为什么要定期吃打虫药了吧……幼儿的免疫能力原本就弱,体内的寄生虫往往能肆无忌惮地吸收营养,眠眠小时候有个同学,肚子里的蛔虫肥硕得那叫一个可怕(不要问我怎么知道的……)。
第二种危害,是寄生物制造的机械性损伤。如果寄生物的数量很多,或者体型比较大时,它们聚集在一起后,会对宿主的组织器官造成损害和压迫作用。比如猪囊尾蚴会寄生在人的脑部以及眼部,造成压迫脑组织,引发癫痫、视力下降甚至是失明。蛔虫的幼虫在肺内移行时,也会穿破肺泡壁的毛细血管,引起肺部出血。
寄生于宿主脑部的猪囊尾蚴
更不用说前面提到的铁线虫,如此巨大的块头,在人体尿道内游动,会造成巨大的痛苦……
第三种危害,
使用 App 查看完整内容目前,该付费内容的完整版仅支持在 App 中查看
??App 内查看
上一篇:男人有些话,其实是“陷阱”,女人可别当真
下一篇:如何吸引求职者?
最近更新影视资讯
- 韵府群玉
- 老年临终关怀护理集锦9篇
- 如何评价剧场版动画《和谐(harmony/ハーモニー)》原作:伊藤计划 ?
- 智人战胜尼人的决定性因素 是神灵崇拜与艺术品 在3万7千年前智人击败了远比自己强
- 沈阳参考消息(2017年1月11日)
- 密集架区密集架书库图书馆负一楼期刊阅览区中外文期刊图书馆一楼图书借阅区(A-H
- 费维光:脾胃病17方
- 土耳其身为伊斯兰国家,为什么允许“风俗产业”合法化?
- 高中教师教学反思
- 三观尽毁!90后公务员出轨50岁女上司,聊天言语暧昧,妻子怒举报
- 22应用心理学考研347 首师360有调剂院校吗?
- 铃木凉美女士,你仍期待同时收获怜爱与尊敬吗?
- 团建别墅 | 确认过眼神,是能疯一起的人!Boss,今年年会我们泡私家温
- 《归来》观后感
- 翻译伦理的重要性和译者荣辱观建设研究
- 高二语文期末考试测试题及答案
- 国医大师名单!在北京看中医该找谁,这下全知道!
- 这些年爱过的同人文(BG)
- 荷兰深陷风俗业?日本都要甘拜下风,为何能稳坐世界顶尖位置!
- 戴安娜25年前私密录像首次解密:自述性生活,全英国都被炸懵逼了
- 原创上官婉儿为什么必须死,她做的这件事太无耻,李隆基忍无可忍
- 「医药速读社」Paxlovid临床失败 礼来斥巨资引进Kv1.3抑制剂
- 她是韩国性感女神,靠出演“三级片”走红,今41岁韵味不减当年!
- 电影市场有望点燃 好莱坞大片排队上映
- 评荐《传染病(Contagion)》