
复合125I粒子植入技术联合TACE治疗肝癌合并门静脉癌栓
文章来源:《介入放射学杂志》,2021,30:680-686
作者:王万胜, 王 晨, 沈 健, 任葆胜, 印 于, 杨 俊, 唐浩桓, 黄 鹏, 朱晓黎, 倪才方
门静脉侵犯是肝细胞癌(HCC)重要的生物学行为之一,也是HCC患者预后不佳的独立因素;12.5%~39.7%患者在诊断时即有门静脉癌栓(PVTT)形成[1- 3]。治疗HCC合并PVTT的方法有TACE、外放疗、靶向药物及免疫检查点抑制剂治疗等,其中125I粒子血管内近程放疗显示出较确切的PVTT抑制效果[4- 20]。
在125I粒子支架、粒子条联合支架、粒子条及粒子螺旋系统等血管内近程放疗技术治疗门静脉主干癌栓(MPVTT)的相关研究中,125I粒子辐射范围均仅覆盖主干癌栓,而不包括肿瘤侧分支癌栓。随着门静脉主干内粒子辐射剂量的衰减,肿瘤侧分支癌栓可继续向主干内延伸,最终导致主干癌栓进展[13- 17],若对主干癌栓及肿瘤侧分支癌栓同时行血管内近程放疗,可能进一步提高MPVTT疗效。
先前研究表明125I粒子螺旋系统可自行固定于门静脉主干内起到对MPVTT抑制作用,但对分支癌栓则无治疗效果[13,21]。Huang等[11]研究则证实分支癌栓内粒子植入可有效抑制分支癌栓,但对MPVTT抑制效果不佳。因此,对于MPVTT的治疗,这两种不同的125I粒子植入技术之间具有潜在的互补作用;当联合TACE时,可能会进一步改善HCC合并程氏Ⅲ型PVTT患者的预后。然而,目前尚无此种联合治疗模式的相关报道。为此,本研究拟评估复合125I粒子植入技术(125I粒子螺旋系统序贯肿瘤同侧分支癌栓粒子置入术)联合TACE治疗HCC合并Ⅲ型PVTT的安全性及有效性。
1 材料与方法
1.1 临床资料
自2017年1月至2020年5月共24例HCC合并PVTT患者被纳入本研究。所有患者接受复合125I粒子植入技术(125I粒子螺旋系统序贯肿瘤同侧分支癌栓粒子植入术)联合TACE治疗,具体步骤为:先行门静脉主干内125I粒子螺旋系统植入术,随后同期行TACE治疗;7~10 d后继行肿瘤同侧分支癌栓内125I粒子植入。患者基线特征见表1。纳入标准为:临床或病理诊断为HCC;PVTT 程氏分型Ⅲ型(癌栓累及到门静脉主干,尚未达到肠系膜上静脉)[22];年龄18~75岁;Child- Pugh分级A或B;ECOG评分≤2分。排除标准为:合并肝外转移;肿瘤体积占全肝70%及以上者;弥漫性高流量肝内动脉门静脉瘘;难治性腹水;肝性脑病;总胆红素>51 μmol/L;合并其他恶性肿瘤;合并严重的心、肺、肾、脑等重要脏器疾患;本研究过程中使用过系统治疗者。肝癌临床诊断基于国家卫健委颁布的原发性肝癌诊疗规范(2019年版)[23]。增强CT或MRI上表现为从肝内门静脉分支内延伸至门静脉主干低密度或低信号充盈缺损可临床诊断为MPVTT[24]。本研究获医院伦理委员会审查通过,所有患者签署知情同意书。
1.2 方法
1.2.1 门静脉主干内粒子螺旋系统植入术 125I粒子(宁波君安药业科技有限公司)型号为6711,直径0.8 mm,长度4.5 mm,半衰期为59.6 d,释放35.5 keV γ射线及27.4 keV、31.4 keV X射线,组织半价层17 mm。125I粒子螺旋系统:螺旋形套管作为粒子螺旋系统的组件之一,由普通4 F血管造影导管经定型加工而成,专利名为“门静脉自固定式放射性粒子套管(专利号ZL201621449026.5)”,定制于浙江巴泰医学科技有限公司。螺旋形套管(螺旋直径15 mm,螺距15 mm)与连续植入其内的多颗125I粒子(活度为0.5~0.6 mCi),共同构成“125I粒子螺旋系统”(图1),螺旋形套管两端用火封口。
与先前研究相比,本研究中的粒子螺旋系统增加了新的组分,即“隔离子”[13],该组分用于调节粒子螺旋系统的辐射剂量。隔离子由直径为0.8 mm(等于粒子直径)长段塑料丝(定制于浙江巴泰医学科技有限公司)根据需要由术者剪制而成。本研究所用的粒子螺旋系统中,每个粒子与每个隔离子相互间隔排列,且隔离子的长度设定为4.5 mm(等于粒子长度),因此每个粒子螺旋系统所需的粒子数(N/2)与隔离子数(N/2)之和等于按先前研究中公式[13]计算出的粒子总数(N)。
超声引导下,经皮经肝穿刺肿瘤对侧肝脏门静脉二级分支,引入长55 cm的4 F导管鞘(Cook公司)至门静脉主干,经导管鞘送导管至肠系膜上静脉或脾静脉行门静脉造影,明确MPVTT的部位及长度。调整导管鞘头端至癌栓远端门静脉,继经导管鞘将粒子螺旋系统推送至癌栓部位,再固定扩张管并后撤导管鞘释放粒子螺旋系统,使粒子螺旋系统横跨于主干癌栓的近远端。最后用弹簧圈封堵肝内穿刺道。术后无需针对门静脉主干内植入的粒子螺旋系统进行抗凝治疗[13]。
1.2.2 TACE治疗 TACE治疗于粒子螺旋系统植入术后即刻进行。经右侧股动脉穿刺置入导管鞘,应用5 F RH导管(Cook公司)选择进入肝动脉或其他可能的异位供血动脉。造影明确肿瘤供血动脉之后,将2.8 F微导管(Renegade;Boston公司)送入肿瘤供血动脉或肝段动脉,继经微导管注入碘油混悬液(超液态碘化油, 480 mg I/mL;Guerbet公司),碘油5~15 mL,吡柔比星20~40 mg,并应用明胶海绵颗粒加强栓塞(350~1 000 μm;杭州艾力康医药科技有限公司)。
1.2.3 肿瘤侧分支癌栓内粒子植入术
本中心的粒子植入的术前三维放射治疗计划系统(TPS)计划和术中引导均是基于CT进行的,粒子植入不便与DSA引导下的TACE治疗及粒子螺旋系统植入术同期进行。因此,参照了Huang等[11]的研究,将肿瘤侧分支癌栓内粒子植入术延期至TACE治疗之后7~10 d进行,此时患者肝功能基本恢复至TACE治疗之前的水平。术前行TPS(FtzyPlan1.3.118, 北京飞天兆业科技有限公司)计划以确定植入所需粒子(活度为0.6~0.8 mCi)的数目、位置及路径,并沿着肿瘤侧分支癌栓纵轴方向设计穿刺路径。粒子植入的靶区为肿瘤侧一级与二级门静脉分支内癌栓,处方剂量设定为100 Gy。CT引导下,按照预先设计的路径经皮经肝将18 G穿刺针置入肿瘤侧分支癌栓内,使用粒子专用植入枪进行粒子植入。最后用明胶海绵颗粒封堵肝内穿刺道。
1.2.4 TPS剂量验证及术后随访 应用上述TPS系统进行粒子植入术后的放射剂量验证。勾画门静脉主干及分支癌栓的轮廓及范围,确定粒子位置及数目,设置粒子活度及处方剂量,生成剂量体积直方图(DVH),计算出90%靶区体积剂量(D90)。术后随访间隔时间为6~8周,并进行相关实验室及胸腹部增强CT检查。由两名15年以上工作经验的放射科医师根据mRESIST标准分别评价术后MPVTT及肝内病变客观反应率(ORR)与疾病控制率(DCR)[25]。所有不良反应根据美国国家癌症研究所CTCAE 5.0进行分级评估。
1.3 统计学处理
分类变量以频数表示,连续性变量以均数±标准差表示。总生存期定义为从125I粒子螺旋系统植入到患者死亡或最后随访的时间。应用Kaplan- Meier进行生存分析。双侧P<0.05认为差异具有显著性意义。SPSS软件19.0用于本研究中所有统计分析。
2 结果
2.1 复合125I粒子植入技术情况
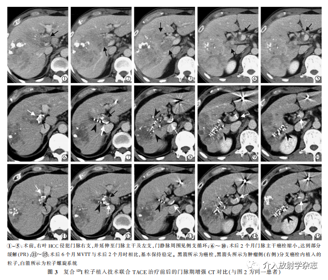
每例患者门静脉主干内各植入1枚粒子螺旋系统,24例患者共植入24枚粒子螺旋系统;粒子螺旋系统植入门静脉后呈螺旋状自行固定于主干癌栓旁,其长度覆盖主干癌栓近远端(图2);主干癌栓接受的平均D90为(40.2±3.6) Gy。肿瘤侧分支癌栓内粒子植入后,125I粒子位于分支癌栓内,并沿着分支癌栓的纵轴方向排列(图2⑤⑥,图3);分支癌栓接受的平均D90为(84.5±7.1) Gy。
2.2 TACE治疗情况
随访过程中,如果肿瘤出现残留或复发,则再次行TACE治疗;如果患者出现肝功能Child-Pugh分级C级,或ECOG评分>2分,则不再TACE治疗,而仅对症支持治疗。本研究期间,TACE平均次数分别为(2.9±1.7)次。
2.3 并发症
所有患者均未出现腹腔大出血、急性门脉血栓形成、放射性肝炎、放射性胃肠炎、急性肝功能衰竭、胆脂瘤、肝脓肿等3级以上严重并发症。TACE术后3~7 d内,两组大多数患者出现不同程度的栓塞后综合征(上腹疼痛、恶心、呕吐或发热)及肝功能异常,均为1~2级,对症治疗后缓解。
2.4 肿瘤治疗反应及总生存期
本研究随访时间为1.4~34.2个月。MPVTT的 ORR和DCR分别为54.2%(13例部分缓解)和87.5%(13例部分缓解,8例稳定);肝内病变ORR和DCR分别为29.2%(7例部分缓解)和37.5%(7例部分缓解、2例稳定)(图3)。中位生存期为(9.5±1.4)个月(95%CI,6.7~12.3个月)。
3 讨论
近年来,随着对HCC认识的深入及微导管技术的发展,HCC合并MPVTT患者在无金属支架开通门静脉主干的情况下,TACE治疗仍被证实是安全可行的[11,14- 17,26- 27]。其中,TACE联合125I粒子螺旋系统治疗此类患者的安全性及可行性已由先前的研究予以证实[13]。125I粒子螺旋系统呈螺旋状立体结构,可自行固定于门静脉主干内起到对MPVTT近程放疗作用;由于粒子螺旋系统并不具有类似支架的血管开通作用,因此门静脉主干基本保持该系统植入前状态[13]。TACE可用于此类患者,其安全性:首先,基于微导管技术的超选择性TACE技术的广泛应用,最大程度上避免了对正常肝组织动脉血供的阻断;其次,当癌栓导致门静脉主干狭窄不严重时,肿瘤对侧半肝的门静脉血供受到的影响程度不大;再次,癌栓导致的门静脉主干狭窄至闭塞是一个渐进过程,在此过程中大多数患者门静脉周围可逐步建立起侧支循环,从而在一定程度上保证了门静脉主干闭塞患者肝脏的门静脉血供。然而,对HCC合并MPVTT患者行TACE治疗时,仍应根据门静脉主干狭窄的程度、侧支循环开放程度及肝内病变具体情况,进行精准而适度的栓塞,以避免过度栓塞而可能导致的急性肝功能衰竭[26- 27]。本组患者均未出现因TACE而导致的急性肝功能衰竭。
TACE治疗虽然有助于控制肝内病灶,但对MPVTT的治疗有效率却很低,因此HCC合并程氏Ⅲ型PVTT患者往往死于癌栓进展而致的各种并发症[4- 5,11,14,16]。MPVTT形成的主要方式:肝内肿瘤首先侵入门静脉小分支,并以此作为基底沿门静脉系统生长,并逐步延伸至一级分支及门静脉主干,最终形成MPVTT[22,24- 25]。因此,对于MPVTT的治疗,不仅需针对主干内癌栓,而且需同时治疗向门静脉主干内不断延伸的分支癌栓,方能达到最大程度的MPVTT抑制效果。然而,目前报道的所有治疗MPVTT的125I粒子血管内近程放疗技术,均未将主干癌栓及分支癌栓同时设定为靶目标[13-17,28]。其中,粒子条支架或粒子支架置入术的靶目标仅为主干癌栓;在这两种模式下,由于主干癌栓受到支架压迫,因而难以评估其癌栓的治疗反应,但支架的通畅性可间接反映其主干癌栓的进展情况;随着支架旁粒子活度的衰减,分支癌栓会继续向主干内生长延伸,最终导致部分患者出现支架狭窄或闭塞[15- 17,28]。粒子植入术的靶目标仅为分支癌栓,其对MPVTT抑制效果不佳[11]。粒子条植入术或粒子螺旋系统植入术也仅将主干癌栓作为靶目标;前者MPVTT治疗的ORR为20.9%,后者MPVTT治疗的 ORR及DCR分别为42.3%及84.6%[13- 14]。本研究则在125I粒子螺旋系统治疗主干癌栓研究基础上作了进一步探索,应用125I粒子螺旋系统序贯肿瘤同侧分支癌栓粒子植入术治疗MPVTT,首次将主干癌栓及分支癌栓同时作为近程放疗的靶目标,其治疗MPVTT的ORR及DCR分别为54.2%及87.5%,高于粒子条或粒子螺旋系统植入术单一的主干癌栓近程放疗。此外,本研究患者的中位生存期为9.5个月,亦高于既往文献中行单独TACE或TACE联合单纯支架者[14,16]。然而,由于本研究样本量较小且为单中心研究,因此上述结论尚有待大样本随机对照研究进行验证。
值得注意的是,为探索MPVTT治疗所需的最低放射剂量,本研究在粒子螺旋系统中加入了新组分隔离子以降低粒子螺旋系统的剂量,结果表明粒子螺旋系统在粒子数量减少一半的情况下,联合肿瘤同侧分支癌栓内粒子植入术亦可取得较佳的MPVTT疗效。因此,本研究为MPVTT粒子近程放疗剂量学的深入研究提供了部分实践基础。
初步临床研究结果表明,复合125I粒子植入技术联合TACE治疗HCC合并Ⅲ型PVTT是安全可行的,该模式有望进一步改善此类患者预后。
[参 考文 献](略)
(收稿日期:2020-09- 04)
(本文编辑:俞瑞纲)
最近更新生活资讯
- 反转再反转,这部科幻末世灾难片真的爽
- 快捷指令sky电影捷径库
- 2021《自然》年度十大人物:塑造科学,造福社会
- 千里单骑救萝莉却被捕,“正义使者”成了谁的牺牲品?
- 浪漫爱情励志人生 最震撼人心的十部日剧(图)
- 短篇小说(家庭伦理)
- 推动农业绿色低碳循环发展 推动农业绿色发展、协调发展
- 资料:成奎安电影作品《灯草和尚》(1992)
- 稻盛和夫《活法》1
- 合肥市第六中学2019-2020学年下学期2019 级高一年级线上线下教学衔接学
- 全网的电视剧,电影和动漫无偿观看(每年的都有哦)
- 理想国
- 刺激!梅州首部限制级伦理微电影《幻镜》网络首映!
- 男人为何迷恋女人胸部?
- 陆小曼与林徽因:都是富养的女儿,差别在哪里?
- 问题已被解决?
- 看了多少烂片,才找出这92部经典!
- 金高银:怎么从拿8个电影奖的怪物新人沦为了被众嘲的“资源咖”?
- 猎天下第2部:河阴之变
- 封神演义读后感100字(五篇)
- 又一部岛国神作,堪称校园版《权力的游戏》!
- 【全面解读】2022年以后,再无“国产”BCBA?
- 鬼文化(商代的帝王文化))
- 豆瓣9.2分年度第一佳片,每一秒都是夏日初恋的味道
- 社会的重器:性侵犯罪信息统一查询平台,还校园一片蓝天