手机访问:wap.265xx.com【协和医学杂志】脑淀粉样血管病与阿尔茨海默病 18F-FDG PET/CT代谢改
作者:贾琛皓1,吴美其1,郭瑞杰1,倪俊2,崔瑞雪1
单位:中国医学科学院北京协和医院1核医学科2神经科
通信作者:崔瑞雪
基金项目:国家重点研发计划(2018YFC1315200);中国医学科学院医学与健康科技创新工程(2018- I2M-3-001)
文章来源:协和医学杂志 2022,13(2):263-269.
脑淀粉样血管病(CAA)是临床常见的年龄相关性脑小血管病,以反复出现多部位脑叶自发性出血和/或认知功能下降为主要临床表现,其病理基础为β淀粉样蛋白(Aβ)沉积于皮质和软脑膜小血管壁[1-4]。
目前CAA的诊断依据主要基于修订版Boston标准[5],其将CAA诊断水平分为 确诊(definite)、病理支持的很可能(probable with supporting pathology)、很可能(probable) 和 可能(possible) 4个级别,实现了临床水平的CAA诊断。
对于很可能CAA的诊断,主要依据临床资料与头颅MRI显示脑叶皮层或皮层下出血。尽管该诊断标准在尸检病例中具有较高的诊断特异度(约90%),但对脑出血人群的诊断灵敏度较低(约40%)[5]。
18F-AV45 PET/CT可探测到人体内沉积的Aβ,既往研究中对CAA具有较高的诊断灵敏度(约90%)[6-9],但其他认知功能障碍性疾病如阿尔茨海默病(AD)患者亦存在脑组织Aβ沉积,以致其诊断的特异性减低[9]。
除具有相似的病理特征外,以认知功能障碍为主要改变的CAA在临床表现方面亦易与AD混淆,且二者在同一病例中可同时存在[2]。因此,相似的临床表现和交叉重叠的病理特征,使得临床实践中CAA与AD鉴别诊断的难度增大。
18F- FDG PET/CT可反映脑组织糖代谢情况,是应用最广泛的脑功能显像方法,在AD、帕金森综合征等多种神经变性疾病中均呈特征性代谢减低模式[10-13]。目前,CAA患者18F-FDG PET/CT显像特征相关研究罕有报道[14]。
本文旨在分析CAA患者18F-FDG PET/CT脑显像的代谢特点和代谢异常区域,并与AD患者比较,评估18F-FDG PET/CT在CAA与AD鉴别诊断中的应用价值,筛选可用于二者鉴别诊断的脑代谢参数。
Med J PUMCH 2022,13(2):263-269.
??点击阅读原文
资料与方法
回顾性纳入2020年12月至2021年6月北京协和医院符合修订 Boston标准的很可能CAA患者以及年龄与其相近的AD患者。随机纳入同期行18F-FDG PET/CT检查且认知功能正常的人群为对照。对3组18F-FDG PET/CT图像进行视觉分析和定量分析。
结果
2.1
一般临床资料
共入选符合纳入和排除标准的10例很可能CAA患者(CAA组)、10例AD患者(AD组),以及11例同期行18F-FDG PET/CT检查、认知功能正常的对照人群(对照组)。
其中CAA组男性4例、女性6例,平均年龄(69±11)岁,MMSE评分为(25±7)分,以认知功能减退为主要表现者7例、以脑叶出血起病者3例;AD组男性2例、女性8例,平均年龄(69±11)岁,MMSE评分为(21±5)分;对照组男性6例、女性5例,平均年龄(70±10)岁,MMSE评分为(29±1)分。
3组年龄、性别无统计学差异(P均>0.05),CAA组、AD组MMSE评分无统计学差异(P>0.05),且均低于对照组(P均<0.05)。
2.2
视觉分析结果
与对照组比较,AD组典型表现为双侧基本对称的颞顶叶代谢减低,以颞叶内侧、后扣带回代谢减低最为显著(图1A~1D)。CAA组皮层代谢减低区呈无特定规律分布,代谢减低或缺损区与出血区域相关(图1E~1H)。
图1 75岁女性AD患者,进行性记忆力下降4年余,伴精神、行为异常,MMSE评分19分,18F-FDG PET/CT示后扣带回、双侧颞叶内侧代谢对称性减低(A、B,箭头),18F-AV45 PET/CT示大脑皮质Aβ弥漫沉积(C),头颅SWI未发现皮层或皮层下明确微出血灶(D);58岁男性很可能CAA患者,进行性反应力、记忆力下降5年余,双下肢乏力、行走变慢3年余,MMSE评分29分,18F-FDG PET/CT示后扣带回代谢保留、双侧颞叶内侧代谢略低(E、F,箭头),余皮层呈无规律、不均匀、不对称多处代谢减低,18F-AV45 PET/CT示大脑皮质Aβ弥漫沉积(G),头颅SWI示双侧大脑半球皮层及皮层下多发微出血灶(H)
AD:阿尔茨海默病;CAA:脑淀粉样血管病;18F-FDG:18F-脱氧葡萄糖;PET/CT:正电子发射断层显像/计算机体层成像;MMSE:简易精神状态检查量表;SWI:磁敏感加权成像
2.3
基于体素的脑代谢图像定量分析
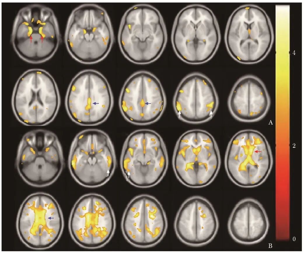
以P<0.01为显著性差异水平。相较对照组,AD组后扣带回、海马旁回、顶叶、颞叶内侧的代谢显著减低;CAA组广泛白质区以及尾状核头、胼胝体、前扣带回、颞叶外侧皮层等处代谢显著减低(图2)。
图2 AD和很可能CAA患者基于体素的脑代谢改变图像
A. AD患者颞叶内侧(红箭头)、后扣带回(蓝箭头)和顶叶背外侧皮层(白箭头)代谢减低;B.很可能CAA患者广泛白质区、尾状核头(红箭头)、胼胝体(蓝箭头)、前扣带回(蓝箭头)、颞叶外侧皮层(白箭头)代谢减低
AD、CAA:同图1
2.4
O/PC鉴别诊断AD与很可能CAA的效能
CAA组O/PC SUVr明显低于AD组(0.91±0.05比1.07±0.08,P<0.001)。ROC曲线分析显示(图3),O/PC SUVr鉴别很可能CAA、AD的曲线下面积(AUC)为0.98(95% CI:0.93~1.00),最佳临界值为0.96,灵敏度为100%,特异度为90%。
图3 O/PC SUVr鉴别AD与很可能CAA的ROC曲线图
AD、CAA:同图1;O/PC:枕叶/后扣带回;SUVr:标准摄取值比值;ROC:操作者工作特征
结论
CAA与AD患者的18F-FDG PET/CT显像呈明显不同的代谢降低图型;O/PC SUVr 或可作为二者鉴别诊断的敏感指标。
讨论
精确诊断是对CAA患者进行精准干预的前提,亦是改善其预后的关键。从发病机制方面看,CAA出现认知功能障碍的原因既涉及血管性机制,也与Aβ异常沉积相关。
CAA患者既可表现为血管性认知功能障碍的临床特征,即部分性认知缺失,病情呈阶梯状发展,认知障碍的发展和患者预后取决于血管病变的严重程度;也可呈类似于AD的渐进性隐匿性发展,以致其早期症状与AD难以区分。
从病理方面看,CAA与AD均可表现为Aβ异常聚集,AD患者脑脊液中异常的Aβ或TAU蛋白生物标志物亦可在CAA患者中发现[19-20]。既往研究中,约1/4的AD患者在尸检时发现中重度CAA,约1/2的CAA患者符合AD的诊断标准[19,21-22]。因此,临床需对以认知功能减退为临床表现的CAA与AD进行精准鉴别[1]。
本研究基于18F-FDG PET/CT图像比较了很可能CAA和AD患者的脑代谢特征,发现虽然二者均呈代谢降低模式,但前者呈无规律性改变,以广泛白质区以及尾状核头、胼胝体、前扣带回、颞叶外侧皮层等处代谢显著减低。后者呈双侧基本对称性颞顶叶代谢减低,以后扣带回、海马旁回、顶叶、颞叶内侧的代谢显著减低。
对脑区定量分析发现,O/PC SUVr鉴别很可能CAA、AD具有较高的AUC(0.98)、灵敏度(100%)和特异度(90%),有望作为重要的影像学标志物辅助CAA的诊断。
神经影像和图像分析技术的快速发展为AD的研究提供了有力工具,特别是多种Aβ与Tau蛋白正电子示踪剂的应用,为AD的诊断、鉴别诊断、疾病分期以及疗效评定均产生了重大促进作用。
常规Aβ PET/CT显像(如11C-PIB、18F-AV45 PET/CT)有助于AD的早期诊断,但在AD与CAA的鉴别中优势不突出。既往多项研究比较了AD与CAA患者常规Aβ PET/CT显像基于像素或脑区的摄取差异,均未提取具有鉴别意义的摄取参数[8-9]。
一项2015年开展的Aβ PET/CT显像研究利用早期动态摄取参数代替组织灌注,发现O/PC SUVr可有效鉴别CAA与AD[23]。但Aβ PET/CT显像为非临床常规检查,尤其在基层医院普及度低、可及性差,且动态显像的获取与分析复杂繁琐,临床应用可行性降低。
18F-FDG PET显像呈现的脑糖代谢在多数情况下与组织灌注存在平行关系,与18F-AV45 PET/CT相比,18F-FDG PET/CT的应用更加广泛,通过对代谢分布情况的分析可帮助诊断认知功能障碍类型和评估疾病严重程度[24]。
目前,基于18F-FDG PET/CT静态脑显像对CAA、AD进行诊断和鉴别诊断已有阳性结果报道[14,16]。
Bergeret等[14]纳入14例以认知功能减退为主要症状且经修订版Boston标准诊断为很可能CAA的患者,将皮层分为13个感兴趣区进行脑区分析并与认知功能正常者进行比较,发现其后部皮层脑区(含上顶叶、后顶叶、初级视觉中心、外侧枕叶、外侧颞叶、楔前叶、后扣带回)代谢显著减低,部分前部皮层代谢亦具有减低趋势,而小脑未见代谢减低[14];后部皮层/前部皮层代谢比值对CAA患者的诊断具有辅助作用。
该项研究结果与既往研究认为CAA患者病理结果示后部皮层具有更多的Aβ沉积相符[20,25]。基于上述研究,Bergeret团队进一步探究了CAA与AD患者的18F-FDG PET/CT图像代谢差异[16],得出CAA患者的18F-FDG PET/CT图像O/PC SUVr显著低于AD患者的结论。但上述研究未排除CAA与AD相互重叠的现象。
本研究在尽量排除CAA与AD同时存在的情况下对上述研究结果进行了验证。排除CAA与AD同时存在采取的措施:
(1)AD患者的18F-FDG PET/CT代谢特点均具有AD代谢网络特征性,且头颅磁敏感加权成像均未显示脑叶出血或微出血或皮质表面铁沉积,可排除明显合并CAA的患者;
(2)多数以认知功能减退为主要表现的CAA患者(5/7)进行了脑脊液AD相关生物标志物检测,结果均为阴性,排除了AD的存在。
本研究视觉分析和基于体素的脑代谢图像分析显示,AD组以颞叶内侧、后扣带回代谢减低最为显著,呈对称性改变。CAA组皮层代谢减低与出血区域相关,代谢降低区主要累及广泛白质区以及尾状核头、胼胝体、前扣带回、颞叶外侧皮层。
CAA组代谢减低脑区分布与Bergeret等[1]研究结果不完全一致,主要原因为纳入的患者存在差异,本研究除认知功能减退为主要表现的CAA患者外(n=7),同时入组了少数以脑叶出血起病者(n=3),该类患者的认知障碍更接近于有特定区域相关认知缺失的血管性痴呆,发生出血的脑区表现为较大范围的代谢减低区,与经典皮层/皮层下微出血不同。
与既往研究结果一致,本研究亦发现很可能CAA患者的O/PC SUVr较AD患者显著减低,其对二者进行鉴别诊断的AUC为0.98,灵敏度高达100%,特异度高达90%,提示O/PC SUVr有望成为CAA与AD鉴别诊断的重要影像学参数。
本研究局限性:
(1)由于为回顾性研究,存在一定的信息偏倚,如头颅MRI检查扫描仪与磁场强度(1.5T/3T)存在异质性,对微出血的检测效能可能不一致,但CAA与AD组患者中使用3T扫描或1.5T扫描的患者分布结构相似;
(2)CAA患者的临床表型存在差异且缺乏病理学资料,一定程度上影响了结果的稳健性;
(3)临床特征、治疗信息等资料缺失,可能存在混杂因素。
综上,CAA与AD患者18F-FDG PET/CT脑代谢减低模式具有明显差异,O/PC SUVr 或可作为二者鉴别诊断的敏感指标。在Aβ PET/CT阳性的情况下,如CAA患者具有AD的特征性代谢图型表现,提示二者可能共存。未来需进行大样本前瞻性研究,并对CAA脑出血、认知障碍或CAA相关炎症患者的功能显像特征进行深入研究。
本文编辑:董哲
参考文献
[1]Boulouis G, Charidimou A, Greenberg SM. Sporadic Cerebral Amyloid Angiopathy: Pathophysiology, Neuroimag-ing Features, and Clinical Implications[J]. Semin Neurol, 2016, 36: 233-243.
[2]Charidimou A, Boulouis G, Gurol ME, et al. Emerging concepts in sporadic cerebral amyloid angiopathy[J]. Brain, 2017, 140: 1829-1850.
[3]Akers C, Acosta LMY, Considine C, et al. Atypical Clinical Manifestations of Cerebral Amyloid Angiopathy[J]. Curr Neurol Neurosci Rep, 2019, 19: 64.
[4]Linn J, Halpin A, Demaerel P, et al. Prevalence of superficial siderosis in patients with cerebral amyloid angiopathy[J]. Neurology, 2010, 74: 1346-1350.
[5]Greenberg SM, Charidimou A. Diagnosis of Cerebral Amy-loid Angiopathy: Evolution of the Boston Criteria[J]. Stroke, 2018, 49: 491-497.
[6]Charidimou A, Farid K, Baron JC. Amyloid-PET in sporadic cerebral amyloid angiopathy: A diagnostic accuracy meta-analysis[J]. Neurology, 2017, 89: 1490-1498.
[7]Charidimou A, Farid K, Tsai HH, et al. Amyloid-PET burden and regional distribution in cerebral amyloid angiopathy: a systematic review and meta-analysis of biomarker performance[J]. J Neurol Neurosurg Psychiatry, 2018, 89: 410-417.
[8]Farid K, Charidimou A, Baron JC. Amyloid positron emis-sion tomography in sporadic cerebral amyloid angiopathy: A systematic critical update[J]. Neuroimage Clin, 2017, 15: 247-263.
[9]Planton M, Saint-Aubert L, Raposo N, et al. Florbetapir Regional Distribution in Cerebral Amyloid Angiopathy and Alzheimer’s Disease: A PET Study[J]. J Alzheimers Dis, 2020, 73: 1607-1614.
[10]Mosconi L, Tsui WH, Herholz K, et al. Multicenter standardized 18F-FDG PET diagnosis of mild cognitive impair-ment, Alzheimer’s disease, and other dementias[J]. J Nucl Med, 2008, 49: 390-398.
[11]Smailagic N, Vacante M, Hyde C, et al. 18F-FDG PET for the early diagnosis of Alzheimer’s disease dementia and other dementias in people with mild cognitive impairment (MCI)[J]. Cochrane Database Syst Rev, 2015, 1: Cd010632.
[12]Kantarci K, Boeve BF, Przybelski SA, et al. FDG PET metabolic signatures distinguishing prodromal DLB and prod-romal AD[J]. Neuroimage Clin, 2021, 31: 102754.
[13]Arbizu J, Festari C, Altomare D, et al. Clinical utility of FDG-PET for the clinical diagnosis in MCI[J]. Eur J Nucl Med Mol Imaging, 2018, 45: 1497-1508.
[14]Bergeret S, Queneau M, Rodallec M, et al. Brain Glucose Metabolism in Cerebral Amyloid Angiopathy: An FDG-PET Study[J]. Stroke, 2021, 52: 1478-1482.
[15]Dubois B, Feldman HH, Jacova C, et al. Advancing research diagnostic criteria for Alzheimer’s disease: the IWG-2 criteria[J]. Lancet Neurol, 2014, 13: 614-629.
[16]Bergeret S, Queneau M, Rodallec M, et al. [(18) F]FDG PET may differentiate cerebral amyloid angiopathy from Alzheimer’s disease[J]. Eur J Neurol, 2021, 28: 1511-1519.
[17]Scheltens P, De Strooper B, Kivipelto M, et al. Alzheimer’s disease[J]. Lancet, 2021, 397: 1577-1590.
[18]Gatti L, Tinelli F, Scelzo E, et al. Understanding the Pathophysiology of Cerebral Amyloid Angiopathy[J]. Int J Mol Sci, 2020, 21:3435.
[19]Viswanathan A, Greenberg SM. Cerebral amyloid angiopathy in the elderly[J]. Ann Neurol, 2011, 70: 871-880.
[20]Vinters HV, Gilbert JJ. Cerebral amyloid angiopathy: incidence and complications in the aging brain. Ⅱ. The distribution of amyloid vascular changes[J]. Stroke, 1983, 14: 924-928.
[21]Keage HA, Carare RO, Friedland RP, et al. Population studies of sporadic cerebral amyloid angiopathy and dementia: a systematic review[J]. BMC Neurol, 2009, 9: 3.
[22]Samuraki M, Matsunari I, Yoshita M, et al. Cerebral Amyloid Angiopathy-Related Microbleeds Correlate with Glucose Metabolism and Brain Volume in Alzheimer’s Disease[J]. J Alzheimers Dis, 2015, 48: 517-528.
[23]Farid K, Hong YT, Aigbirhio FI, et al. Early-Phase 11C-PiB PET in Amyloid Angiopathy-Related Symptomatic Cerebral Hemorrhage: Potential Diagnostic Value?[J]. PLoS One, 2015, 10: e0139926.
[24]Frisoni GB, Boccardi M, Barkhof F, et al. Strategic roadmap for an early diagnosis of Alzheimer’s disease based on biomarkers[J]. Lancet Neurol, 2017, 16: 661-676.
[25]Tomonaga M. Cerebral amyloid angiopathy in the elderly[J]. J Am Geriatr Soc, 1981, 29: 151-157.
作者贡献
贾琛皓、吴美其负责研究设计、数据分析、论文撰写与修订;郭瑞杰负责影像资料收集;倪俊负责临床资料收集、数据分析;崔瑞雪负责指导研究设计、数据审核及论文审校。
第一作者
北京协和医院 核医学科
贾琛皓
北京协和医院核医学科2019级硕士研究生,主要从事PET/CT脑功能显像方面的研究,以第一作者发表SCI或中文核心期刊论文共3篇。
北京协和医院 核医学科
吴美其
北京协和医学院医学博士,北京协和医院核医学科临床博士后,主要从事分子影像诊断方面的研究,以第一作者发表SCI或中文核心期刊论文共9篇。
通信作者
北京协和医院 核医学科
崔瑞雪 主任医师
核医学科副主任,主任医师,硕士生导师。专业研究方向为PET/CT脑功能显像。致力于AD,PD等各种神经变性病的分子影像研究。主持和参与多项国家级研究项目。历任多届中华医学会核医学分会及多个专业委员会委员或兼秘书。
编辑丨刘洋 赵娜
审校丨李娜 李玉乐 董哲
监制丨吴文铭
版权声明:
协和医学杂志倡导尊重和保护知识产权。欢迎转载、引用,但需取得本平台授权。如您对文章内容版权存疑,请发送邮件medj@pumch.cn,我们会与您及时沟通处理。本站内容及图片仅供参考、学习使用,不为盈利且不作为诊断、医疗根据。
吧v
上一篇:匆匆那年经典语录完整版
下一篇:北方网2011年04月23日新闻汇总
最近更新生活资讯
- 反转再反转,这部科幻末世灾难片真的爽
- 快捷指令sky电影捷径库
- 2021《自然》年度十大人物:塑造科学,造福社会
- 千里单骑救萝莉却被捕,“正义使者”成了谁的牺牲品?
- 浪漫爱情励志人生 最震撼人心的十部日剧(图)
- 短篇小说(家庭伦理)
- 推动农业绿色低碳循环发展 推动农业绿色发展、协调发展
- 资料:成奎安电影作品《灯草和尚》(1992)
- 稻盛和夫《活法》1
- 合肥市第六中学2019-2020学年下学期2019 级高一年级线上线下教学衔接学
- 全网的电视剧,电影和动漫无偿观看(每年的都有哦)
- 理想国
- 刺激!梅州首部限制级伦理微电影《幻镜》网络首映!
- 男人为何迷恋女人胸部?
- 陆小曼与林徽因:都是富养的女儿,差别在哪里?
- 问题已被解决?
- 看了多少烂片,才找出这92部经典!
- 金高银:怎么从拿8个电影奖的怪物新人沦为了被众嘲的“资源咖”?
- 猎天下第2部:河阴之变
- 封神演义读后感100字(五篇)
- 又一部岛国神作,堪称校园版《权力的游戏》!
- 【全面解读】2022年以后,再无“国产”BCBA?
- 鬼文化(商代的帝王文化))
- 豆瓣9.2分年度第一佳片,每一秒都是夏日初恋的味道
- 社会的重器:性侵犯罪信息统一查询平台,还校园一片蓝天