手机访问:wap.265xx.com癫痫外科手术系列病例六“海绵状血管瘤引起的癫痫手术治疗”
中国人民解放军总医院(北京301医院) 功能神经外科 崔志强
病例资料
患者女,20岁,
间断性意识丧失伴抽搐2年余
2年前无明显诱因突发意识丧失,四肢抽搐,持续2分钟,伴小便失禁,醒后不能回忆发作过程,当地医院诊断为癫痫,口服药物治疗,效果不明显,以后平均每个月均有发作。发作前患者无任何先兆。
近6个月来发作频繁,每周均有发作,有时表现为头晕,意识丧失,无肢体抽搐,持续几十秒;有时表现为肢体抽搐。口服多种药物,卡马西平,每天600毫克;丙戊酸钠缓释片,每天1000毫克;拉莫三嗪,每天100毫克。
查体:无阳性体征。
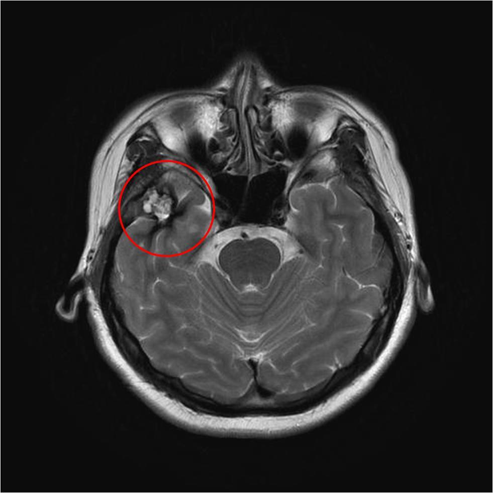
头部磁共振,右侧颞极病变,考虑海绵状血管瘤。
脑电图:背景,漫波,脑区性,右颞部;间歇放电为右颞区,棘慢波。

诊断:继发性癫痫,右侧颞叶海绵状血管瘤
综合分析:患者诊断明确,发作形式和脑电图均支持右侧颞区,考虑导致癫痫发作的直接因素为右颞叶的海绵状血管瘤,这种血管瘤的主要临床表现为癫痫发作,可以手术切除,估计术后痊愈的可能性非常大。但术中需要扩大切除血管瘤周边的含铁血黄素,也是导致癫痫发作的主要脑组织。术中可以用皮层脑电检测,定位皮层放电。

结果:患者行颞叶海绵状血管瘤切除术,及部分瘤周含铁血黄素沉着脑组织切除,术后口服卡马西平,每天400毫克,术后无发作,6个月后停抗癫痫药物,目前已经随访2年余,无癫痫发作。
海绵状血管瘤基本知识
海绵状血管瘤是由众多薄壁血管组成的海绵状异常血管团,外观呈紫红色,并非真性肿瘤,按组织学分类属于脑血管畸形,这些畸形血管紧密相贴,血管间没有或极少有脑实质组织。
海绵状血管瘤可见于各个年龄,多见于20~50岁。男女发病率相似,有报道男性病例多为30岁以下,女性病例多为30~60岁。海绵状血管瘤多为单发和散发,也可多发,后者占6%~33%,多有家族史。
海绵状血管瘤的病因至今尚不清楚,可能与遗传、环境污染或者外伤等因素有关。可大致分为先天性和后天性两种。
1.先天性:患者若为婴儿或者有家族史,考虑先天性来源的假说。根据近年的研究表明,海绵状血管瘤为常染色体显性遗传性疾病。
2.后天性:一般认为下列因素可诱发海绵状血管瘤的发生,如病毒感染、外伤、手术、出血后血管性反应、放射治疗等。
典型症状表现如下:
1.癫痫:海绵状血管瘤位于海马区域、额颞顶叶新皮层,伴钙化或严重含铁血黄素沉着者易发生癫痫。一般认为癫痫发作与病灶压迫或出血导致病变周围脑组织胶质增生、钙化、含铁血黄素沉着,对周边神经元产生机械性或化学性刺激有关。
2.出血:与脑表的海绵状血管瘤比较,脑深部血管瘤更容易出血,从而引起相应的症状,如头痛、昏迷、癫痫、神经功能缺失等。
3.局灶性神经功能障碍:位于中颅窝的病灶,可侵犯海绵窦、下丘脑、垂体,视神经等,而出现头痛、动眼神经麻痹、外展神经麻痹、三叉神经麻痹、视力减退、眼球突出等颅神经损害症状。位于脑干基底节区的病灶出血可引起偏瘫、昏迷。
其他症状
部分颅内海绵状血管瘤患者可以无明显临床症状,仅有轻度的头痛,一般体检时可以发现。约一半的无症状患者可以在半年到两年后发展为有症状的海绵状血管瘤。
海绵状血管瘤的主要并发症为瘤体的出血,反复出血可以表现为头痛、癫痫发作、颅神经功能损害、昏迷、偏瘫等。邻近脑室的血管瘤破裂出血到脑室,含铁血黄素沉着,可以引起脑脊液吸收障碍,出现脑积水。
诊断依据,主要根据患者的病史、典型的临床表现和CT、MRI、脑血管造影等辅助检查,诊断并不困难。

治疗方法如下:
偶然发现,病灶较小且无症状的患者,可以观察。对有症状、反复出血或病灶较大者,癫痫药物控制不理想者,病灶位于非功能区者,首选外科手术切除。患者病灶位于脑深部或功能区不适合切除,或切除后有残余者,可以选择放射治疗。
(一)手术治疗
1.治疗意义:手术切除病灶是治疗海绵状血管瘤的首选方法。切除病变可以消除出血的风险,也可以控制癫痫发作,解除较大病变对神经的压迫作用。
2.适应症及禁忌症:(1)适应症:病灶反复出血、癫痫发作和产生了神经系统的压迫症状,局可以考虑手术切除。(2)禁忌症:病灶位于重要功能区,或脑干基底节区较深部位时,手术风险大,可以考虑放射外科治疗。
3.优缺点:对于表浅的海绵状血管瘤,手术难度不大,一般不会有较大风险。脑深部的海绵状血管瘤,手术难度大,有偏瘫的手术风险。对于中颅窝巨大海绵状血管瘤,出血风险大,一旦大出血,可能要终止手术,病灶不能全切。
4.手术注意事项脑内表浅海绵状血管瘤手术除了切除病灶外,还有切除周边含铁血黄素,避免术后仍有癫痫发作。较深的海绵状血管瘤,如脑干基底节区,单纯切除病变,保留周边的含铁血黄素,避免术后出现严重的功能缺失。对于颅底的海绵状血管瘤,尤其是位于中颅窝者,由于局部结构复杂,出血的风险极高,往往术中出血多,难以全切时不可勉强进行。
(二)放射治疗
对于位于重要功能区手术切除比较困难者、位于非重功能区而患者不同意手术的者、切除手术后病变有残余者,均可考虑放射治疗。但疗效不十分明确。
保守治疗
对于偶然发现的、无症状的海绵状血管瘤应进行临床观察、定期随访。建议每隔半年复查一次MRI。如果病变稳定,则以后每年复查一次。
参考资料:
[1]鱼博浪,王斐,孙亲利等.鞍旁海绵状血管瘤的CT和MRI诊断.临床放射学杂志,2007,26:117-120.
[2]王明荣,周纯武.中华医学百科全书 肿瘤学 出版者:上海协和医科大学出版社,2017.
崔志强主任简介

门诊时间地点:中国人民解放军总医院(301医院)门诊大楼7层神经外科诊室。周一上午,周三下午。癫痫患者可以直接到崔志强主任门诊加号。
主任医师,研究生导师,中国人民解放军总医院第一医学中心 神经外科三病区主任,功能神经外科主任、学科带头人。
擅长:
癫痫的治疗,如儿童癫痫、颞叶癫痫、外伤性癫痫、功能区癫痫、皮层发育不良等的切除性手术、应用神经调控技术(电刺激,如迷走神经电刺激,脑起搏器电刺激,皮层电刺激等)治疗难治性癫痫。
参与《实用神经外科》、《立体定向和功能神经外科手术学》、《癫痫外科学》、《癫痫外科手册》、《301临床诊疗技术标》的编写,承担国家及省部级课题6项,在国内外著名期刊发表论文50余篇。
学术任职:
世界立体定向和功能神经外科学会(WSSFN)会员
中国抗癫痫协会委员
中国医师协会神经调控专业委员会委员
最近更新生活资讯
- 反转再反转,这部科幻末世灾难片真的爽
- 快捷指令sky电影捷径库
- 2021《自然》年度十大人物:塑造科学,造福社会
- 千里单骑救萝莉却被捕,“正义使者”成了谁的牺牲品?
- 浪漫爱情励志人生 最震撼人心的十部日剧(图)
- 短篇小说(家庭伦理)
- 推动农业绿色低碳循环发展 推动农业绿色发展、协调发展
- 资料:成奎安电影作品《灯草和尚》(1992)
- 稻盛和夫《活法》1
- 合肥市第六中学2019-2020学年下学期2019 级高一年级线上线下教学衔接学
- 全网的电视剧,电影和动漫无偿观看(每年的都有哦)
- 理想国
- 刺激!梅州首部限制级伦理微电影《幻镜》网络首映!
- 男人为何迷恋女人胸部?
- 陆小曼与林徽因:都是富养的女儿,差别在哪里?
- 问题已被解决?
- 看了多少烂片,才找出这92部经典!
- 金高银:怎么从拿8个电影奖的怪物新人沦为了被众嘲的“资源咖”?
- 猎天下第2部:河阴之变
- 封神演义读后感100字(五篇)
- 又一部岛国神作,堪称校园版《权力的游戏》!
- 【全面解读】2022年以后,再无“国产”BCBA?
- 鬼文化(商代的帝王文化))
- 豆瓣9.2分年度第一佳片,每一秒都是夏日初恋的味道
- 社会的重器:性侵犯罪信息统一查询平台,还校园一片蓝天