手机访问:wap.265xx.com晨起不刷牙就吃早餐,对身体有健康?为什么?那有坏处吗?
【粉丝来信】在一个小城镇里,住着一位年过七旬的老人,名叫王明(化名)。他是一个寡居的老人,平日里独自度日,生活过得相当单调。直到有一天,他意外地结识了一位56岁的女子,她名叫李雯。李雯是一个活泼开朗的女性,与王明相处得很愉快。
随着时间的推移,王明和李雯的感情逐渐升温。王明有一个习惯,每天早晨起床后不刷牙,直接吃早餐。有一天,他偶然听说不刷牙直接吃早餐可以保持口气清新的说法,于是他开始尝试这个方法,坚持了半个月。
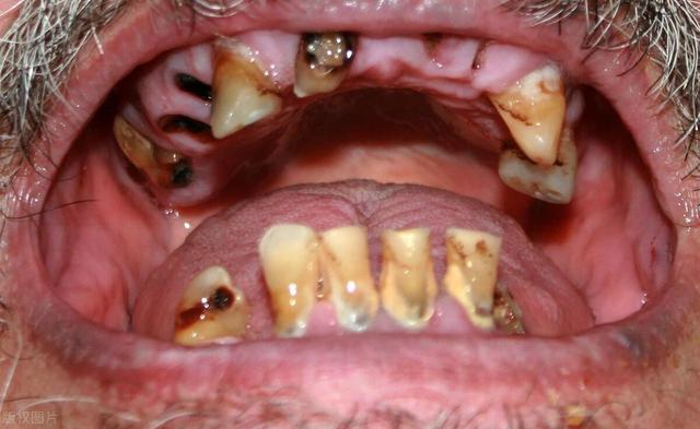
半个月后的一天早晨,王明邀请李雯一起共进早餐。当王明开口与李雯交谈时,一股难闻的气味扑鼻而来,瞬间将李雯熏晕过去。这一幕让王明感到非常尴尬和惊讶,他完全没有意识到自己已经有半个月没有刷牙了。
李雯醒来后,虽然尽力表现得坦然,但王明能感受到她的尴尬和不适。他深感自己的行为是多么的不体贴和不合适。意识到这个问题的严重性,王明决定改变自己的习惯,并且主动向李雯道歉。原来老人听错了,是吃完早餐再刷牙,不是直接不刷牙。
从那以后,王明每天早晨都保持刷牙的习惯,并且更加注重口腔健康。他意识到口气清新不仅是为了他自己的健康,也是为了他与李雯之间的关系。他通过定期刷牙和维护口腔卫生,确保口气清新,为他们的相处带来更加舒适和愉快的体验。
一、口腔与肠胃健康的关联
口腔健康对整体健康的影响
口腔健康是维持整体健康的重要组成部分。牙齿、牙龈、舌头和口腔黏膜的健康状况直接影响食物的摄取、消化和吸收过程。如果口腔存在问题,如蛀牙、牙龈疾病或口腔溃疡,可能导致疼痛、口臭、食欲减退以及摄取营养不足,从而对整体健康产生负面影响。
口腔与肠胃的密切关系
口腔和肠胃是消化系统中紧密相连的部分,它们之间有着密切的相互作用。良好的口腔健康有助于促进充分的食物咀嚼和细化,使其更易于消化和吸收。同时,消化过程中的酶和唾液中的抗菌成分也可以对食物中的细菌起到一定的抑制作用。
牙菌斑和牙周疾病的危害
牙菌斑是一种无色黏性细菌聚集物,容易附着在牙齿表面并形成牙结石。牙菌斑中的细菌产生酸性代谢产物,破坏牙釉质,导致蛀牙的形成。同时,牙菌斑也是引发牙龈疾病的主要原因之一。当牙菌斑长时间存在于牙龈周围,细菌的毒性产物会引发牙龈炎症,出现红肿、出血和牙龈退缩等症状。如果不及时治疗,牙龈疾病可能会进展为牙周炎和牙周病,进而损害牙齿的支持结构,导致牙齿松动甚至脱落。
二、晨起不刷牙的益处
食物的咀嚼与唾液的分泌
晨起不刷牙就直接进食可以促进食物的充分咀嚼。咀嚼是消化过程的一步,通过将食物细化成小颗粒,有利于消化酶的作用和养分的吸收。食物在口腔中咀嚼时,唾液会被刺激分泌。唾液中含有消化酶和抗菌成分,有助于消化食物中的淀粉、脂肪和蛋白质,并对口腔中的细菌产生抑制作用,维护口腔健康。
食物中的益生菌和肠道菌群的影响
某些食物中含有益生菌,这些益生菌可以通过口腔进入肠道,与肠道菌群相互作用。肠道菌群的平衡对于维持肠道健康和整体健康至关重要。益生菌的摄入可以增加有益菌的数量,抑制有害菌的生长,维护肠道菌群的稳定性。因此,晨起不刷牙直接进食可以更好地保留口腔中的益生菌,有助于促进肠道健康。
健康的胃肠道功能
晨起不刷牙直接进食可以刺激消化系统的活动,有助于促进健康的胃肠道功能。咀嚼食物和唾液的分泌可以引起神经和激素反应,促使胃酸和消化酶的分泌增加,从而提高胃肠道的消化能力。食物在口腔中的初步消化过程也可以减轻胃肠道的负担,使消化过程更加顺利。健康的胃肠道功能有助于充分吸收营养物质,维持肠道蠕动的正常节奏,并预防胃肠道问题的发生。
三、口腔卫生的维护
正确的刷牙技巧和频率
保持良好的口腔卫生需要掌握正确的刷牙技巧和频率。正确的刷牙技巧包括选择合适的牙刷,使用正确的刷头和刷法,涂抹适量的牙膏,注意刷洗每一颗牙齿的各个表面,并轻柔地刷洗牙龈线与牙齿交界处。
使用含氟牙膏的重要性
氟化物是预防蛀牙的关键成分之一,因此使用含氟牙膏是口腔卫生的重要措施之一。氟化物可以促进牙齿的再矿化过程,修复早期蛀牙损伤,阻止蛀牙的进一步发展。选择适量的含氟牙膏,并正确使用,可以显著降低蛀牙的风险。
牙线和漱口水的辅助作用
刷牙虽然重要,但仅靠刷牙难以彻底清洁牙齿间的缝隙和牙龈线。使用牙线和漱口水可以补充刷牙的不足,全面维护口腔健康。
最近更新生活资讯
- 反转再反转,这部科幻末世灾难片真的爽
- 快捷指令sky电影捷径库
- 2021《自然》年度十大人物:塑造科学,造福社会
- 千里单骑救萝莉却被捕,“正义使者”成了谁的牺牲品?
- 浪漫爱情励志人生 最震撼人心的十部日剧(图)
- 短篇小说(家庭伦理)
- 推动农业绿色低碳循环发展 推动农业绿色发展、协调发展
- 资料:成奎安电影作品《灯草和尚》(1992)
- 稻盛和夫《活法》1
- 合肥市第六中学2019-2020学年下学期2019 级高一年级线上线下教学衔接学
- 全网的电视剧,电影和动漫无偿观看(每年的都有哦)
- 理想国
- 刺激!梅州首部限制级伦理微电影《幻镜》网络首映!
- 男人为何迷恋女人胸部?
- 陆小曼与林徽因:都是富养的女儿,差别在哪里?
- 问题已被解决?
- 看了多少烂片,才找出这92部经典!
- 金高银:怎么从拿8个电影奖的怪物新人沦为了被众嘲的“资源咖”?
- 猎天下第2部:河阴之变
- 封神演义读后感100字(五篇)
- 又一部岛国神作,堪称校园版《权力的游戏》!
- 【全面解读】2022年以后,再无“国产”BCBA?
- 鬼文化(商代的帝王文化))
- 豆瓣9.2分年度第一佳片,每一秒都是夏日初恋的味道
- 社会的重器:性侵犯罪信息统一查询平台,还校园一片蓝天