
一例血常规竟然“隐藏”了 3 个致命信号,患者入院 3 天死亡!
作者:陈婉君
单位:广州医科大学附属第一医院检验科
血细胞形态学检查是血常规检验的重要内容,对相关临床疾病的诊断、鉴别诊断、治疗预后均有重要价值,有时候还能对疾病的诊断起到「一锤定音」的作用。近年来,随着全自动智能血细胞形态阅片仪的投入使用,有效地提高了形态学复核的工作效率和工作质量,但人工镜检同样重要。本文讲述了一例非常特殊的患者,其外周血形态包含了丰富的临床信息,值得我们细细品味……
01
案例经过
患者,男,55 岁,因「咳嗽、咳痰 2 月,加重 1 月」入院。患者 2 月前无明显诱因出现咳嗽,呈阵发性连声咳,咳黄色浓痰,活动后出现气促,伴有恶心、行动困难、乏力,无胸痛、胸闷,无腹痛、腹泻,未引起重视。1 月前患者受凉后咳嗽、咳痰加重,性质同前,平躺时即出现气促,伴有乏力、行动困难,伴有恶心,无发热,无盗汗,无咯血,无腹痛、腹泻,无头痛。
2023-2-14 于外院门诊药物治疗,治疗过程不详,未见明显好转。为求进一步诊治收入我院。
患者血常规如下:
图 1
由于患者血常规结果触犯了多条实验室的复检规则,其中血小板计数 17×10^9/L,已达危急值。在岗老师立即推片复检,经确认,镜下血小板计数与仪器结果相符,遂立即将危急值发出。
由于患者贫血合并血小板严重降低,在岗老师随即意识到患者的病情并不简单,遂查阅了患者其他的检验结果。患者血传播八项结果显示梅毒抗体阳性,HIV 上送确证实验室,这提示患者很可能是艾滋病患者。
结合患者的临床症状,在岗老师马上想到马尔尼菲篮状菌感染的可能,严重的马尔尼菲篮状菌感染极有可能在外周血便可发现病原体。抱着「试一试」的态度,我们仔细地浏览了全片。功夫不负有心人,最终,在血片上找到了疑似「真凶」!
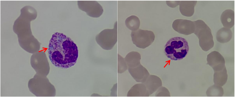
经多名形态学经验丰富的老师观察确认,镜下箭头所指的中性粒细胞吞噬的病原体高度怀疑「马尔尼菲篮状菌」(图 2)。
图 2
我们立即与临床医师联系,告知医师患者外周血检出高度疑似「马尔尼菲篮状菌」的病原体,建议临床立即抽血做血培养鉴定。
考虑到病原菌的密度很低(全片仅发现一个),且存在于中性粒细胞里面,我们将全血标本进行 3500 rpm 离心 10 min,离心取白膜层再次推片镜检,镜下看到了更为清晰典型的孢子结构(图 3-4)。
图 3-4
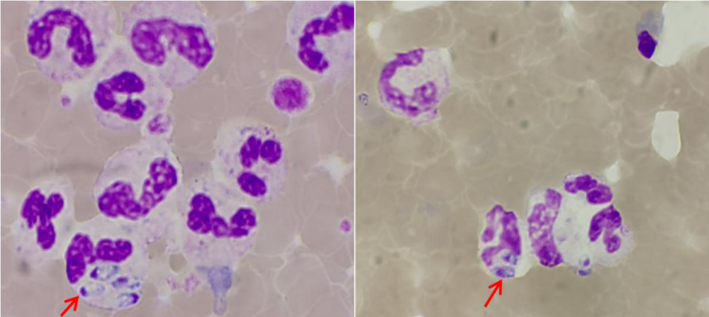
下午时分,在岗的老师们继续仔细地复片,惊喜地发现极少量中性粒细胞胞浆内还存在一种蓝绿色的「包涵体」(图 5-6)。与在该病人血片中发现的杜勒小体(图 7-8)不同,这种绿色小体边界较清晰,颜色呈蓝绿色,较杜勒小体深。
图 5-6 蓝绿色的「包涵体」
图 7-8 杜勒小体
据文献报道,绿色小体常与急性肝衰竭相关,提示病情极其危重,甚至预示濒临死亡,因此又被称为「死亡小体」。很多学者建议把该小体作为形态学危急值报告给临床医生。有趣的是,该患者当天的肝功结果显示(图 9)转氨酶未见异常。然而,我们不敢掉以轻心,将这「形态学危急值」反馈给了临床医生,临床医生也表示该患者病情变化迅速且危重。
图 9
遗憾的是,虽经全力救治,患者在入院后第三天突发昏迷,家属拒绝一切有创诊疗措施,患者最终抢救无效,宣布死亡。
02
案例分析
该患者以「咳嗽、咳痰」入院,血常规提示贫血、血小板重度减少,且出现有核红细胞,触犯了实验室的复检规则,于是我们按要求进行了镜检,镜下血小板计数与仪器结果相符,遂先将血小板的危急值发出。
但并未止步于此,而是综合分析了病人的临床表现及其他实验室检查,立马想到了艾滋病合并马尔尼菲篮状菌感染的可能。
马尔尼菲篮状菌是温度依赖性双相条件致病性真菌,免疫缺陷人群对该菌易感,引起的马尔尼菲篮状菌病常播散累及多个器官,其中,肺最易受累,引起咳嗽、咳痰、呼吸困难等症状。外周血中该菌的典型形态为:菌体大小 2-8 μm,呈圆形、椭圆形或腊肠形。早期核小,呈紫色或紫蓝色,偏于一侧,浆一侧染色很浅近似白色,整个菌体似「斗鸡眼」。中期菌体呈长椭圆形,中间可见一无色横膈将菌体分成两部分,黄道连教授形象地称之为「一河两岸、斗鸡眼」。
遗憾的是,该患者最终没有血培养的鉴定结果,但根据外周血的典型形态,加之患者合并 HIV 感染,仍可进行初步诊断。随后我们继续深挖,又相继发现了杜勒小体和绿色小体。
杜勒小体是中性粒细胞因毒性变化而保留的局部嗜碱性区域,呈圆形、梨形或云雾状,界限不清,是胞质局部不成熟即核质发育不平衡的表现,常见于严重感染。
而绿色小体非常罕见,来源尚未明确,大多数推测都与肝病相关,并认为是中性粒细胞和单核细胞吞噬了肝细胞损伤的产物,为胆汁相关物质或溶酶体降解产物,但也有一些病例并无明显肝损伤或转氨酶升高,比如本例患者,提示其他器官组织损伤也可导致绿色小体形成。但可以肯定的是,绿色小体的出现是病情恶化、预后极差的标志,需要引起检验人员的关注并及时提醒临床医生密切关注患者病情变化。但由于绿色小体罕见,我们对它的认识非常有限,尚需积累更多的临床案例挖掘其更多的价值。
03
总结
血常规作为检验科最基础的检测项目,其重要性不言而喻。而血细胞形态学检查是血常规检验的重要内容,对疾病的诊断、治疗效果监测、预后判断发挥着不可替代的作用。
正所谓「百闻不如一见」,在日常工作中,我们应该重视血细胞形态学的检查,严格执行实验室建立的复检规则,多看、多想、多总结,争取炼就一双「火眼金睛」!
首发:丁香园检验时间
题图来源:图虫创意
参考文献:
1.?Le Thuy,Kinh Nguyen Van,Cuc Ngo T K et al. A Trial of Itraconazole or Amphotericin B for HIV-Associated Talaromycosis.[J] .N Engl J Med, 2017, 376: 2329-2340.
2.?Wu Meng Yin,Gong Hui Zi,Hu Kui Ru et al. Effect of syphilis infection on HIV acquisition: a systematic review and meta-analysis.[J] .Sex Transm Infect, 2021, 97: 525-533.
3.?Harris V N,Malysz J,Smith M D,Green neutrophilic inclusions in liver disease.[J] .J Clin Pathol, 2009, 62: 853-4.
4.?Jazaerly Tarek,Gabali Ali M,Green neutrophilic inclusions could be a sign of impending death![J] .Blood, 2014, 123: 614.
5.?Welder Daniel,Chen Weina,Green-blue inclusions in neutrophils and monocytes: a critical finding.[J] .Int J Hematol, 2022, 115: 149-150.
上一篇:《终结者2, 审判日》, 经典科幻巨作的再次呈现
下一篇:原创刘亦菲被霸凌风波再升级!再登热搜、多方表态、更多过往被扒
最近更新热点资讯
- 谷歌AI聊天记录让网友San值狂掉:研究员走火入魔认为它已具备人格,被罚带薪休假
- 豆瓣9.4,姐弟恋、三人行,这部大尺度太厉害
- Genes, Intelligence, Racial Hygiene, Gen
- 【土耳其电影】《冬眠》电影评价: 宛如一部回归伯格曼风格的道德剧
- 陌生人社会伦理问题研究
- 理论研究|前海实践的价值理性和工具理性
- 澳门刑事证据禁止规则
- 综艺普及剧本杀和密室逃脱助力线下实体店爆发式增长
- 日本小伙和五个小姐姐同居?看完我酸了!
- 第一学期高一语文考试期中试卷
- 高中必考的物理公式有哪些
- 这部大尺度的申奥片,却讲述了不lun恋...
- 心理语言学论文精品(七篇)
- 《贵妃还乡》 超清
- 专论 | 郭丹彤、陈嘉琪:古代埃及书信中的玛阿特观念
- 微专业招生 | 数字文化传播微专业列车即将发车,沿途课程抢先看!
- 生态安全的重要性汇总十篇
- 原创因“18禁”电影登舆论顶峰,万千少女一场春梦:这一生,足够了
- 章鱼头
- 读书心得体会
- 考研考北京大学医学部或者协和是一种怎样的难度?
- 央媒评女主播编造“夜宿故宫”:让肇事者付出代价,理所应当
- 库欣病患者求医记(流水账)
- 《太平公主》④ | 地位越高,越要装傻
- 爱体检 安卓版 v2.5