
亚急性甲状腺炎诊治要点,看这篇就够了!
亚急性甲状腺炎最早于 1904 年,被瑞士学者 de Quervain 从病理上将与其他甲状腺炎区分出来,它有很多称谓:de Quervain 甲状腺炎、肉芽肿性甲状腺炎、巨细胞性甲状腺炎、假结核性甲状腺炎、游走性甲状腺炎、爬行性甲状腺炎等等。多见于中、青年女性,夏季高发,它是一种自限性甲状腺炎症性疾病。
#1
病因
亚急性甲状腺炎的病因未明,多数患者于上呼吸道感染后发病,常认为与柯萨奇病毒、EB 病毒、流感病毒和腮腺炎病毒感染有关,也可发生于非病毒感染 (如 Q 热或疟疾等) 之后。
#2
诊断要点
1. 有上呼吸道感染前驱症状,急性起病
轻症:甲状腺仅略增大,疼痛和压痛轻微,不发热,全身症状轻,临床上无甲亢或甲减表现。
重症:甲状腺增大伴压痛明显、持续高热、全身症状较重。
2. 甲状腺部位的疼痛或压痛是最为特征性的临床表现
疼痛的范围不一,可先从一叶开始,以后扩大或转移到另一叶或始终限于一叶 ——「爬行性甲状腺炎」;常向颌下、耳后或颈部等处放射,咀嚼和吞咽时疼痛加重;病变腺体肿大,坚硬、压痛明显;少数患者首先表现为无痛性硬结。
3. 破坏性甲状腺组织损伤临床典型病例可分三期:
(1) 早期:甲亢阶段,患者体重减轻、怕热、心动过速等,甲亢期 T3/T4 升高;
(2) 中期:过渡期和甲减阶段,患者在甲状腺激素合成功能尚未恢复之前进入功能减退阶段,出现水肿、怕冷、便秘等症状;
(3) 恢复期甲状腺功能恢复阶段:多数病人 (数周至数月) 恢复正常功能,仅少数成为永久性甲减。整个病程约 6 ~ 12 个月。有些病例反复加重, 持续数月至 2 年不等?
亚甲炎不同病期的甲功表现
注: 升高; 明显升高; 下降; 明显下降
4. 疾病早期ESR(> 40 mm/h,可达 100 mm/h)增快是突出特征,但 ESR 不增快也不能除外本病.
5. 亚甲炎典型的多普勒超声提示
1 型:腺体内散在片状低回声区,或类似无回声区,形态不规则,边界欠清晰,无包膜或声韵,后方无增强效应,也无衰减,其余甲状腺组织回声正常。(见下图)
图源:患者友情提供
2 型:整个甲状腺腺体回声减少,偶尔可见小片高回声组织镶嵌分布其中,呈「孤岛样」改变,这是少数未被侵袭的正常组织。(见下图)
二维灰阶段纵断面显像,病灶累及广泛,仅见少量正常组织,甲状腺形态饱满。
图源:甲状腺疾病超声诊断图谱
6. 甲状腺摄碘率常
图源:患者友情提供
7. 甲状腺核素扫描:可见图像残缺或显影不均匀,一叶肿大者常见无功能结节或一叶残缺。
检查结论:甲状腺显影不良,提示腺体核素摄取功能受损,符合「甲状腺炎」影像。
图源:患者友情提供
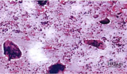
8. 甲状腺活检:滤泡破坏和炎症细胞浸润伴肉芽肿形成是本病的病理特征。
低倍镜下标本中的多核巨细胞、周围包绕大量炎症细胞碎片(涂片,HE 染色)
图片来源:甲状腺疾病超声诊断图谱
诊断标准:
急性起病,发热等全身症状;
甲状腺疼痛、肿大且质硬;
ESR 增快;
血清甲状腺激素浓度升高与甲状腺摄碘率降低双向分离;
TRAb 或 TSAb 阴性。
#3
鉴别诊断
1. 甲状腺囊肿或腺瘤样结节急性出血:常在用力活动后骤然出现甲状腺疼痛,甲状腺局部有波动感,无全身症状,血沉和甲功基本正常,超声包块内有液性暗区。
2. 甲状腺肿瘤:当肿瘤发生出血坏死或压迫神经时出现局部疼痛,可行 B 超或 MRI 检查。必要时甲状腺穿刺有助于鉴别。
3. 急性化脓性甲状腺炎:是甲状腺的非特异性感染,多发左叶,属全身性脓毒血症在甲状腺的一种局部表现。
诊断主要依据:(1)全身败血症症状,伴有高热、寒战、白细胞总数及中性粒细胞增高;(2)原有颈部化脓感染,随即出现甲状腺肿大、疼痛、压痛;(3)血培养为阳性;(4)甲功、TPOAb 及摄碘率正常;(5)细针穿刺细胞学检查见:脓细胞、坏死细胞及组织碎屑。(6)抗生素治疗有效。
4. 亚急性淋巴细胞性甲状腺炎:包括无痛性甲状腺肿和产后甲状腺炎(PPT)。本病可能与自身免疫有关,不伴甲状腺的疼痛或压痛,但可反复发作;无病毒感染前驱的症状,很少有病毒抗体滴度改变,血沉大多正常,甲状腺活检示淋巴细胞性甲状腺炎表现。
5. 桥本甲状腺炎:少数病例可以有甲状腺疼痛、触痛,活动期 ESR 可轻度升高,并可出现短暂甲状腺毒症和摄碘率降低;但是无全身症状,血清 TgAb、TPOAb 滴度增高。
6. 弥漫性毒性甲状腺肿(Graves 病):有甲状腺毒症的临床表现;可出现眼球突出和其他浸润性眼征、胫前黏液性水肿;甲状腺弥漫性肿大(触诊和 B 超证实),少数病例可以无甲状腺肿大。
Graves 病患者超声显示:腺体内部血流信号丰富如「火海样」;血清 TSH 浓度降低,甲状腺激素浓度升高;甲状腺 TSH 受体抗体(TRAb 或 TSAb)阳性。I131摄取率增高,摄取高峰前移。
7. 伪甲亢(外源性甲状腺激素摄入过多所致甲亢):如果怀疑服用过多甲状腺激素引起的甲状腺毒症时,常可找到过多使用甲状腺激素的病史,并可通过测定血中甲状腺球蛋白(Tg)进一步鉴别,外源甲状腺激素引起的甲状腺毒症 Tg 水平很低或测不出,而甲状腺炎时 Tg 水平明显升高。
8. 碘致甲亢或者甲亢时摄碘率被外源性碘化物抑制,出现血清 T4、T3 升高,I131摄取率降低, 需要与亚急性甲状腺炎鉴别。根据病程、全身症状、甲状腺疼痛,甲亢时 T3/T4 比值及 ESR 等方面可以鉴别。
9. Riedel’s 甲状腺炎:为一种罕见的慢性甲状腺炎,其病变以纤维炎症过程、甲状腺实质和周围组织被破坏与侵袭为特征。甲功、TPOAb、血沉通常正常,摄碘率正常或低。
#4
治疗
一般治疗
由于高血清 T3、T4 水平,有时可伴有高代谢症状,促进三大营养物质代谢,加速氧化,容易发生低血糖反应,因此应进食高热量、高蛋白、富于糖类、含 B 族维生素食物,禁服食含碘高的食物。
应让患者保证充足的睡眠,避免过劳,才能有效调整神经内分泌系统,促使甲状腺激素正常分泌。休息的环境要安静,室温稍低。
药物治疗
轻症:
乙酰水杨酸 1 ~ 3 g/日,分次口服
非甾体消炎药 如吲哚美辛 75 ~ 150 mg/日,分次口服
COX-2 抑制剂如依托考昔,120 mg/日,1 次/日(止痛和抗炎效果佳)
重症亚甲炎激素的应用:
重症亚甲炎患者应用糖皮质激素剂量不足、过快减量、过早停药导致病情反复。
指南推荐:泼尼松(强的松)20 ~ 40 mg/日,维持 1 ~ 2 周后逐渐减量(临床经验分享:标准体重范围内人群,泼尼松 30 mg/日,分 2 ~ 3 次/日口服,维持 1 ~ 2 周症状缓解开始减量,每周减量 5 mg)。总疗程不少于 6 ~ 8 周,不能「见好就收」。
为避免糖皮质激素撤药后病情反复,可在糖皮质激素减量至小剂量后同时加用非甾体类抗炎药?
停药或减量过程中出现反复者,仍可使用糖皮质激素?再次给予糖皮质激素剂量等同初始剂量(例如:初始剂量 30 mg/日,停药或减量过程中出现反复后仍可给予糖皮质激素 30 mg/日)同样可获得较好效果。
在应用糖皮质激素后放射性碘摄取率持续降低?提示炎症反应继续?应延长使用糖皮质激素。难治性病例和长期反复发作病例可采用手术切除病灶。但一般不需要手术治疗。
注意:糖皮质激素仅改善甲状腺毒症症状,不能预防持久甲减的发生。应用之前要询问患者有无结核、高血压、糖尿病、消化性溃疡、骨质疏松症等疾病。使用时可酌情采取如下措施:低钠高钾高蛋白饮食;补充钙剂和维生素 D;可加服预防消化性溃疡及出血等不良反应的药物。
糖皮质激素减量、撤药的指标:待体温正常、颈部疼痛消失、甲状腺触诊恢复正常、ESR、CRP 恢复正常,以及超声征象提示低回声数目和范围变化作为糖皮质激素减量和撤停的指标。有条件可行吸碘率提示正常,炎症完全消退,此时停药较少复发。
甲状腺毒症阶段的治疗:
亚甲炎早期因甲状腺组织遭受破坏,大量甲状腺激素释放入血,导致甲状腺毒症,从而引起机体高代谢,非甲状腺激素过量生成,故不建议应用抗甲状腺药物。应用 β 受体阻滞剂控制心率,可适当高热量饮食,补充维生素 C。
甲减阶段的治疗:
甲减(约 25%)症状明显者给予 L-T4,一般在使用后 6 个月停用,因为绝大多数甲减可逐渐恢复。永久性甲减者(约 5%),须终生用使用 L-T4。
本文仅供医疗卫生等专业人士参考
策划 | 戴冬君
题图 | 站酷海洛
参考文献:
1. 廖二元主编《内分泌代谢病》. 人民卫生出版社 第 3 版 (上册 497-499)
2. 中华医学会内分泌学分会《中国甲状腺疾病诊治指南》中华内科杂 2008 年 9 月第 47 卷第 9 期
3. 邬宏恂 包建东《甲状腺疾病超声诊断图谱》甲状腺炎症
4. 童南伟 邢小平《内科学 内分泌分册》 人民卫生出版社
上一篇:奥密克戎仍然可以防得住,动态清零需提升手段,政策迭代也需考虑
下一篇:超级变异新冠毒株曝光,全球恐慌,国内已有感染,张文宏这样说...
最近更新热点资讯
- 谷歌AI聊天记录让网友San值狂掉:研究员走火入魔认为它已具备人格,被罚带薪休假
- 豆瓣9.4,姐弟恋、三人行,这部大尺度太厉害
- Genes, Intelligence, Racial Hygiene, Gen
- 【土耳其电影】《冬眠》电影评价: 宛如一部回归伯格曼风格的道德剧
- 陌生人社会伦理问题研究
- 理论研究|前海实践的价值理性和工具理性
- 澳门刑事证据禁止规则
- 综艺普及剧本杀和密室逃脱助力线下实体店爆发式增长
- 日本小伙和五个小姐姐同居?看完我酸了!
- 第一学期高一语文考试期中试卷
- 高中必考的物理公式有哪些
- 这部大尺度的申奥片,却讲述了不lun恋...
- 心理语言学论文精品(七篇)
- 《贵妃还乡》 超清
- 专论 | 郭丹彤、陈嘉琪:古代埃及书信中的玛阿特观念
- 微专业招生 | 数字文化传播微专业列车即将发车,沿途课程抢先看!
- 生态安全的重要性汇总十篇
- 原创因“18禁”电影登舆论顶峰,万千少女一场春梦:这一生,足够了
- 章鱼头
- 读书心得体会
- 考研考北京大学医学部或者协和是一种怎样的难度?
- 央媒评女主播编造“夜宿故宫”:让肇事者付出代价,理所应当
- 库欣病患者求医记(流水账)
- 《太平公主》④ | 地位越高,越要装傻
- 爱体检 安卓版 v2.5