
PCCM疑难病例讨论(41):中日医院——究竟谁才是真正致病菌?
编前语
由于新冠疫情而停播一年,深受大家喜爱的「PCCM疑难病例讨论」直播重磅归来,2021年3月29日(周一)晚7点将开播第一期:中日医院——究竟谁才是真正的致病菌?王辰院士、翟振国教授、赵红梅教授、侯刚教授、陈文慧教授、钟定荣教授等呼吸、病理多领域专家将亲自参加本场顶级病例讨论。
此次开讲的「PCCM疑难病例讨论」的直播讲座将于隔周的周一晚七点至九点直播(课程安排见文末),在直播间,我们继续设置了互动答题环节,欢迎大家在线上与名院名家实时参与讨论,期待大家的积极参与。
直播时间:3月29日19:00~21:00
参会专家:王辰、翟振国、赵红梅、侯刚、陈文慧、谢万木、钟定荣、舒晓明、刘敏、鲁炳怀、孔旭东
主讲:王夏珍
主持:崔晓敬
识别下方二维码
进入《呼吸界》直播间
特别鸣谢:瀚晖制药有限公司
病例简介
女性,71岁,退休,2021-2-9入院。
主诉:间断发热、咳嗽、咳痰1月余。
现病史:1月余前(2020年12月底)无明显诱出现间断发热,体温最高达38.9℃,伴咳嗽,咳黄白粘痰,伴乏力,无胸痛、咯血、呼吸困难,无口干、眼干、皮疹、关节痛等不适。
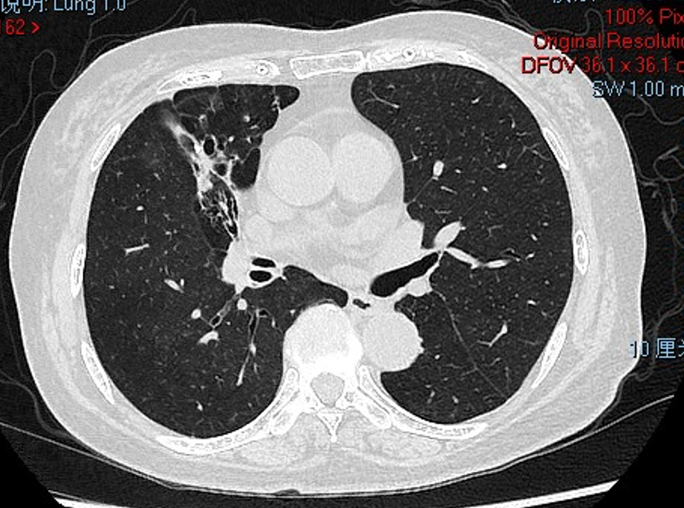
2021-1-11入住我院风湿免疫科,行胸部CT示双肺多发磨玻璃影、支气管扩张,血常规示三系减低,CRP、ESR轻微升高,PCT正常,考虑肺部感染,给予头孢他啶 2g q8h、更昔洛韦 250mg q12h、复方磺胺甲噁唑 2片 tid治疗14天,抗感染治疗3天后体温恢复正常,复查胸部CT示双肺多发磨玻璃影吸收。2021-1-29风湿科出院,出院前复查白细胞、淋巴细胞总数、肝肾功能、电解质、免疫球蛋白:均恢复正常。
2021-2-8痰分枝杆菌液体培养及鉴定为偶发分枝杆菌(报阳时间7天)。为进一步诊治,由门诊收入我科。
患者自发病以来,食欲下降,精神可,乏力,大小便正常,体重较前无明显变化。
既往史:
高血压病病史30余年,最高血压140-150/70-80mmHg,平素间断口服马来酸左氨氯地平降压治疗,目前血压维持于120-130/50-70mmHg;
支气管扩张病史20余年,偶有咳嗽、痰中带血;
类风湿关节炎病史4年余,目前口服醋酸泼尼松片 5mg、硫酸羟氯奎 200mg bid,无晨僵、关节痛及关节红肿。
个人史:无吸烟、饮酒史。
婚育史:29岁结婚,育有1女,女儿及配偶体健。
家庭史:父母逝世。父亲死因不详,母亲因心肌梗死、脑梗死去世,否认家族性遗传病史。
查体:
体温36.4℃,呼吸20次/分,脉搏86次/分,血压156/78mmHg,双肺呼吸音粗,右肺可闻及少量湿罗音,心腹查体未见异常,双下肢无水肿。
辅助检查:
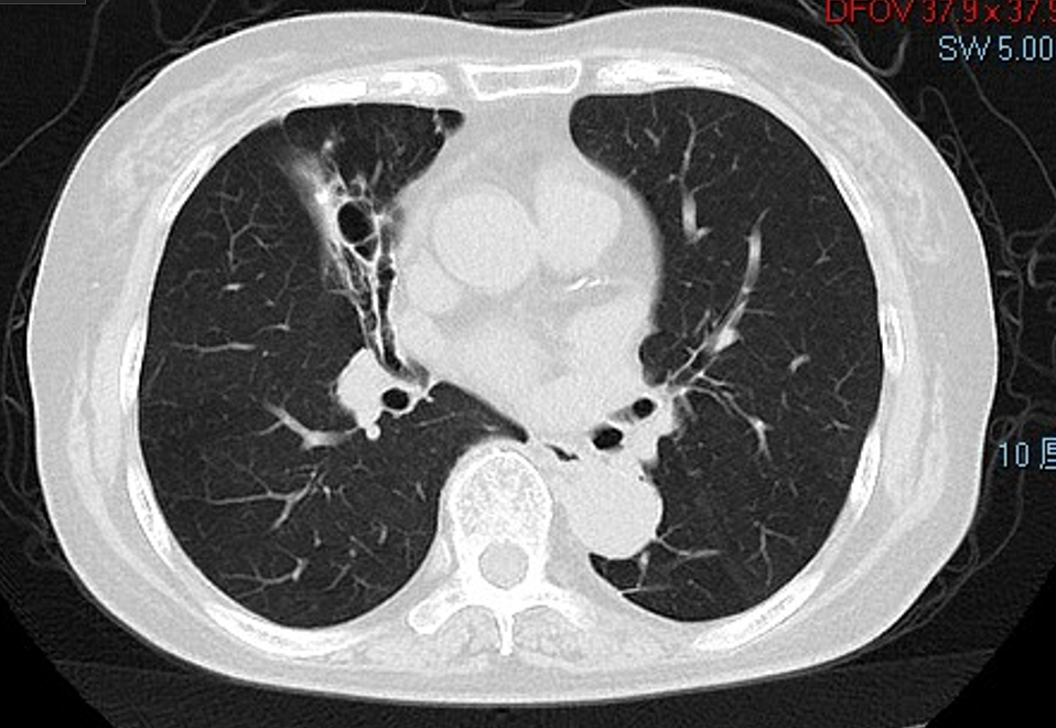
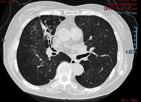
胸部CT(2021-1-13)
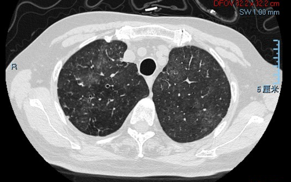
胸部CT(2021-1-25)
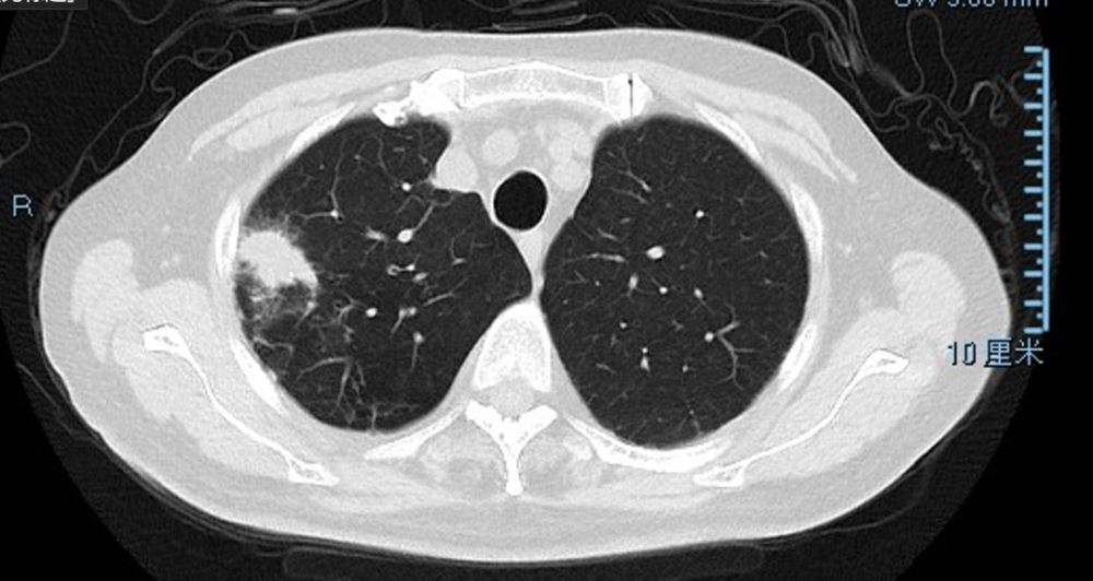
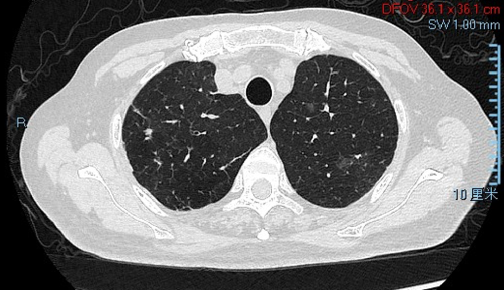
胸部CT(2021-2-23)
入院诊断
肺偶发分枝杆菌病?
支气管扩张症
类风湿关节炎
高血压病1级(高危组)
参会专家介绍
王辰
呼吸病学与危重症医学专家。主任医师,教授,中国工程院院士。中国工程院副院长,中国医学科学院北京协和医学院院校长。国家呼吸临床研究中心主任,国家呼吸医学中心主任,中日医院呼吸中心主任。
翟振国
医学博士,主任医师,教授,博士生导师,中日医院呼吸中心、肺栓塞与肺血管病学组学术带头人,中国医师协会呼吸医师分会肺栓塞与肺血管病工作委员会主任委员,中华医学会呼吸病学分会肺栓塞与肺血管病学组副组长,国际肺血管病研究院(PVRI)委员兼秘书,美国胸科医师学会(ACCP)资深委员,中国呼吸医学教育学院学术委员会常务委员、肺血管疾病分委会主任,海峡两岸医药卫生交流协会呼吸病学专业委员会常务委员,Clinical Respiratory Journal副主编,中华老年心脑血管病杂志编委,第十四届中国优秀呼吸医师,入选卫生部有突出贡献的中青年专家。擅长呼吸系统常见、疑难与危重症、肺血管病的诊断与治疗。尤其对肺栓塞、慢性血栓栓塞性肺动脉高压、其他肺动脉高压有系统研究。
赵红梅
中日医院呼吸与危重症医学科五部副主任,主任医师,教授;中国残疾人康复协会肺康复专业委员会主任委员;中国康复医学会呼吸康复专业委员会副主任委员;中国康复医学会吞咽障碍专业委员会副主任委员;中国医学装备协会呼吸病学装备技术委员会常务委员;中国医师协会康复医师分会呼吸康复专业委员会主任委员;中国医师协会呼吸医师分会呼吸相关职业发展工作委员会副主任委员;中国医学装备协会呼吸病学装备技术委员会呼吸危重症学组组长;中华医学会康复医学分会心肺康复专业学组委员;中国医师协会呼吸医师分会重症医学工作委员会委员;中国老年医学会呼吸病学分会委员。
侯刚
中日友好医院呼吸与危重症医学科 主任医师,博士研究生导师,中华医学会呼吸病学分会青年委员会 副主任委员;中华医学会呼吸病学分会介入呼吸病学学组 副组长;中国医师协会呼吸医师分会介入呼吸病学工作委员会 委员;中国医师协会内镜医师分会呼吸内镜专委会 委员;中国慢性阻塞性肺疾病联盟。
陈文慧
副主任医师,中日友好医院肺移植科副主任。国家卫健委肺移植专业质控中心副主任委员、中国医师协会呼吸医师分会肺癌工作委员会委员、中国抗癌协会整合肿瘤学分会委员会委员、围手术期学组副组长、中华医学会呼吸危重症学组委员等。
谢万木
医学博士,主任医师,任职于国家呼吸医学中心-中日医院呼吸与危重症医学科。中华医学会呼吸病学分会肺栓塞与肺血管病学组委员,中国生理学会血栓与止血委员会委员,《中华医学杂志》审稿专家。曾于2010年到美国贝勒医学院学习,2016年于美国加州大学圣地亚哥医学中心学习。个人总结临床经验与笔记30余万字,在呼吸系统疑难杂症的诊治方面具有较丰富经验,尤其擅长肺血管疾病、间质性肺疾病、肺部感染等,多次被评为中日医院优秀医师。
钟定荣
中日友好医院病理科主任,主任医师,教授,博士;北京协和医学院博士研究生导师北京肿瘤病理精准诊断研究会 会长,国家远程医疗与互联网医学中心病理诊断专家委员会主任委员、肺癌专家委员会副主任委员,北京医学会病理学分会常委兼淋巴造组负责人,中国医促会网络病理学会常务委员兼秘书长,北京精鉴病理发展基金会理事兼副秘书长,中华医学会病理学分会第十一届委员会软组织学组委员,多家医学杂志的审稿专家,目前发表病理相关文章100余篇,参编各类病理相关书籍9本。
舒晓明
中日友好医院副主任医师,副教授,中国医师协会风湿免疫科医师分会青年委员会秘书长;中国康复医学会风湿免疫康复专业委员会委员;北京市医学会风湿病分会青年委员;获得“第六届北京市优秀医师”;主持国家自然基金,科技部国际合作项目及北京市首都发展医学基金、亚太风湿病学会研究基金等多项科研项目,第一作者或通信作者发表SCI论文10余篇,科研成果获得北京市科技进步奖三等奖一项。
刘敏
影像医学与核医学博士,中日友好医院放射科副主任,主任医师,北京大学医学部/中国医学科学院/首都医科大学副教授,硕士研究生导师;中华医学会放射学分会心胸专业委员;中国医师协会呼吸医师分会呼吸放射委员会秘书,放射医师分会心胸专业委员会委员;北京医学会放射学分会委员;中国医学装备协会磁共振成像装备与技术专业委员会心胸学组委员;中国医疗保健国际交流促进会心血管磁共振分会委员;中国医疗保健国际交流促进会临床微生物与感染分会委员。从事胸部疾病影像诊断工作;主要从事肺血管病及肺源性心脏病、肺间质病、肺部感染疾病影像研究。
鲁炳怀
中日医院,呼吸与危重症医学科,临床微生物与感染实验室。主任医师,医学博士,北大医学部教授与硕士研究生导师。社会兼职:中华医学会检验分会微生物学组委员,中国医促会临床微生物与感染分会常委。研究方向:临床微生物与感染病原学诊断,耐药机制。主持多项国家级与省部级科研项目。发表SCI收录专业文章近30篇。
孔旭东
中日友好医院 主管药师,抗感染临床药师,信息药师,药事会秘书,抗菌药物管理小组秘书,卫健委临床药师基地带教师资,美国MTM认证药师及培训师资,耶鲁纽黑文医院访问学者,中国医疗保健国际交流促进会临床微生物与感染分会青年委员,中国研究型医院学会药物评价专业委员会青年委员。
主持人介绍
崔晓敬
医学博士,中日友好医院呼吸中心呼吸与危重症医学科主治医师,2018年通过呼吸与危重症专科医师考核 。北京防痨协会临床分会委员,中国防痨协会中西医结合分会委员,全国结核综合质控专家委员会委员。
主讲人介绍
王夏珍
医学硕士,2014年毕业于哈尔滨医科大学,2014年于长治市人民医院参加工作于今,2020年参加呼吸与危重症医学专科医师规范化培训,中日友好医院PCCM 第1年学员。
直播日程
* 具体情况请以当日为准
本文完
直播导演:刘迪;排版:Jerry
关注我们
上一篇:四川大学2022年普通招考博士研究生报名温馨提示
下一篇:四川省“最强的”四所大学,最后一所闻名全国,考上就有铁饭碗
最近更新素质教育
- 信用信息赋能,助力社会信用体系建设
- 今天距第二届全国博士后创新创业大赛总决赛还有10天!
- 北京自学考试和成教有什么不同?
- 道县:开展2023年基础教育业务工作培训
- 融入智能技术 赋能创新人才培养
- 怎么知道自己是不是脊柱侧弯?一个方法教你判断!
- 让长三角市民共享,上海城市业余联赛市面越做越大
- 华容县实验小学:最美莫过夕阳红 最浓不过敬老情
- 原创恭喜!王楚钦代替樊振东世界排名来到第一位,双方积分差仅有15分
- 自考会计专业有哪些课程?
- 播出预告丨上海市天山初级中学:不一样的学习评价
- 杭州亚残运会火炬传递圆满成功 “桂冠”画出现代版“富春山居图”
- 自考学士学位英语什么时候报名
- 日本学校要求的托福分数
- 证明差“老师”能教出好“学生”?江苏博士最新研究成果,引发国际关注!
- 让共同发展繁荣之路越走越宽广
- 原创拒绝恩比德!尼克斯目标清晰!锡伯杜点名要他,三分王成球队答案
- 喜庆乔迁五周年,共度九九重阳节
- 蚂蚁庄园今日答案最新:味精加热太久真的会致癌吗
- 2024年辽宁省普通高考报名即将开始
- 粤港澳大湾区第三届职业技能大赛将于10月23
- 难忘那次5天5夜的长途机动,还有那个同车的义务兵驾驶员
- “周五课堂”来了新老师
- 在学生中走俏的萝卜刀引发争议,消保委提醒:警惕其暴力暗示
- 校园圈丨让学生走出家门做历史作业,结果出人意料